Rp

Chiari Malformation Type 2

Chiari Malformation Type 2

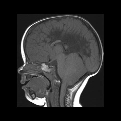
Chiari Malformation Type 2, often referred to as Arnold-Chiari malformation, is a complex structural defect in the brain that occurs during fetal development. Unlike other forms of Chiari malformation, Type 2 is almost exclusively associated with spina bifida, specifically myelomeningocele. This condition involves the cerebellum and brainstem extending into the foramen magnum—the opening at the base of the skull—which can block the normal flow of cerebrospinal fluid (CSF) and cause significant neurological complications. Understanding the complexities of this condition is crucial for patients, caregivers, and medical professionals alike to ensure timely intervention and proper management of symptoms.

What is Chiari Malformation Type 2?

At its core, Chiari Malformation Type 2 involves a structural abnormality where brain tissue extends into the spinal canal. Because this occurs during embryonic development, it is considered a congenital condition. While Type 1 involves the cerebellum extending into the foramen magnum, Type 2 is more severe, involving both the cerebellum and parts of the brainstem. This physical displacement often obstructs the passage of cerebrospinal fluid, potentially leading to a buildup of fluid in the brain (hydrocephalus) or the spinal cord (syringomyelia).

Key Symptoms and Clinical Presentations

The symptoms associated with Chiari Malformation Type 2 can vary widely depending on the age of the patient and the severity of the obstruction. Because it is typically diagnosed in infants alongside spina bifida, symptoms often manifest early in life. Common indicators include:

  • Difficulty swallowing or excessive gagging: Often caused by brainstem compression.
  • Weakness in the arms: Resulting from nerve involvement in the neck or upper spine.
  • Respiratory issues: Such as apnea or irregular breathing patterns.
  • Stridor: A high-pitched, wheezing sound caused by disrupted airflow.
  • Rapid eye movements: Specifically downward-beating nystagmus.

It is important to note that many infants diagnosed with this condition will also require treatment for associated hydrocephalus, which may present as a rapidly enlarging head size, bulging fontanelle, or extreme irritability.

Differences Between Chiari Malformation Types

To better understand the severity and clinical implications, it helps to compare the primary types of Chiari malformations found in medical literature.

Type Primary Characteristics Associated Conditions
Type 1 Cerebellar tonsils extend into spinal canal Syringomyelia, scoliosis
Type 2 Cerebellum and brainstem displacement Myelomeningocele, hydrocephalus
Type 3 Severe herniation, brain tissue outside skull High mortality, severe disabilities

Diagnostic Approaches

Diagnosis for Chiari Malformation Type 2 is usually straightforward, as it is almost always detected via prenatal ultrasound or postnatal imaging shortly after birth in children with spina bifida. The standard tools for confirmation and ongoing monitoring include:

  • Magnetic Resonance Imaging (MRI): The gold standard for visualizing the brain and spinal cord, providing clear images of the extent of the herniation.
  • Computed Tomography (CT) Scans: Sometimes used to evaluate bone structure if MRI is not feasible or to check for hydrocephalus complications.
  • Neurological Evaluations: Assessments of reflexes, motor skills, and sensory perception to determine the functional impact of the malformation.

⚠️ Note: Regular follow-up imaging is essential for children diagnosed with this condition, as their anatomy changes during growth, and the pressure within the central nervous system may shift over time.

Treatment and Management Strategies

Treatment for Chiari Malformation Type 2 is highly individualized and depends on whether the patient is symptomatic. If the condition is asymptomatic, doctors may opt for a “watch and wait” approach, utilizing regular monitoring. However, when symptoms are present—especially those involving the brainstem—surgical intervention is often necessary.

Surgical Decompression

The most common procedure is a posterior fossa decompression. During this surgery, the neurosurgeon removes a small piece of bone at the back of the skull to create more space for the cerebellum. This reduces pressure on the brainstem and restores the normal flow of cerebrospinal fluid. In many cases, the dura mater (the tough membrane covering the brain) is also opened and enlarged with a patch graft to provide additional room.

Managing Hydrocephalus

Because hydrocephalus is a frequent companion to Chiari Malformation Type 2, surgeons often need to address fluid accumulation using a shunt system. A shunt is a flexible tube that diverts excess cerebrospinal fluid from the brain to another part of the body, usually the abdomen, where it can be safely absorbed.

💡 Note: While surgery successfully treats the obstruction, it does not "cure" the malformation. Patients often require long-term care from a multidisciplinary team, including neurologists, neurosurgeons, and physical therapists.

Living with the Condition

Living with Chiari Malformation Type 2 involves navigating life with a chronic condition that requires vigilance. Early intervention and multidisciplinary support play a pivotal role in outcomes. Physical and occupational therapy are frequently utilized to help children develop motor skills and manage any residual weakness or coordination issues. Parents and caregivers are encouraged to maintain detailed health journals, noting any changes in behavior, developmental milestones, or physical symptoms, as these can provide critical data for the clinical team during follow-up appointments.

Managing this condition is a lifelong journey that relies heavily on proactive medical oversight and a comprehensive support system. By understanding the underlying mechanics of the malformation and staying informed about the latest diagnostic and surgical techniques, families can significantly improve the quality of life for those affected. While the diagnosis carries inherent challenges, the advancements in neurosurgical care continue to provide better outcomes, allowing many individuals with this condition to lead active and fulfilling lives. Consistent monitoring, open communication with pediatric neurosurgeons, and a commitment to rehabilitative therapies remain the most effective strategies for long-term health and wellness.

Related Terms:

  • chiari malformation type 2 treatment
  • chiari malformation type 3
  • chiari malformation treatment
  • chiari malformation 1 vs 2
  • Chiari Malformation Type 4
  • Types of Chiari Malformation