Chiari Malformation Types 1 4
Rp

Chiari Malformation Types 1 4

3140 × 1783 px November 14, 2024 Peter Rp

Chiari Malformation Types 1 4 is a high-quality image in the Rp collection, available at 3140 × 1783 pixels resolution — ideal for both digital and print use.

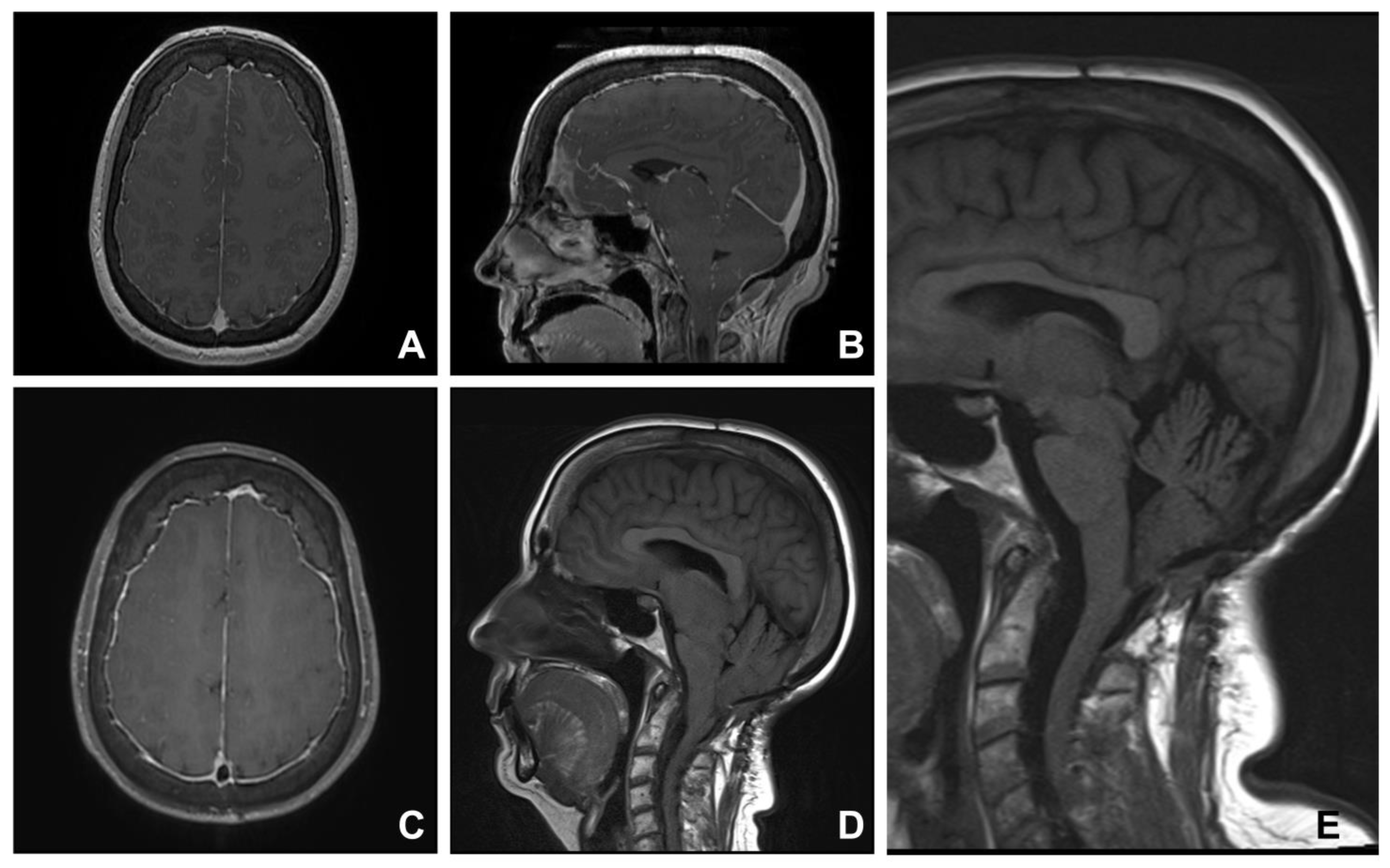
Understand the implications of cerebral tonsils low lying, a condition often linked to Chiari malformation. Discover the common symptoms, diagnostic MRI procedures, and modern treatment options for cerebellar descent. Learn how this structural brain anomaly affects your health and when to consult a neurologist for expert management of your neurological symptoms.

Image Details

TitleChiari Malformation Types 1 4
Dimensions3140 × 1783 px
CategoryRp
PublishedNovember 14, 2024
AuthorZeus
Downloads2,191
Views118

Read full article: Cerebral Tonsils Low Lying

// More Images