Rp

Cerebral Tonsils Low Lying

Cerebral Tonsils Low Lying

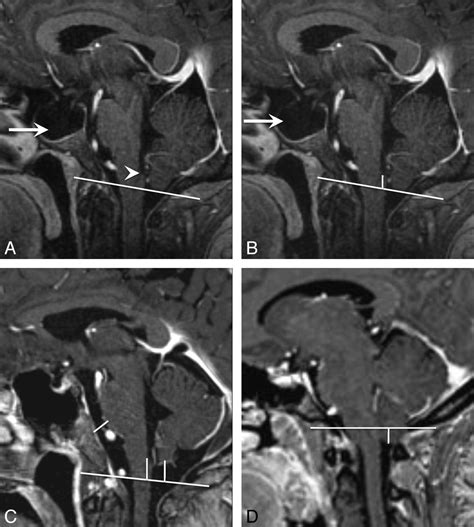
Receiving a radiology report that mentions cerebral tonsils low lying can be a source of significant anxiety. You may be wondering what these terms mean, whether they indicate a serious condition, or if you should be concerned about your neurological health. In medical imaging, particularly MRI scans, the cerebellar tonsils are structures located at the base of the brain, specifically at the lower part of the cerebellum. When these structures extend below the opening at the base of the skull—known as the foramen magnum—they are described as low-lying. Understanding this anatomical variation is the first step toward determining whether it is a harmless incidental finding or a sign of a condition requiring medical intervention, such as Chiari malformation.

Understanding the Anatomy of the Cerebellar Tonsils

The cerebellum is responsible for coordinating voluntary movements, balance, and posture. The cerebral tonsils low lying (more accurately referred to as cerebellar tonsils) are the two rounded projections at the very bottom of the cerebellum. In a typical anatomical arrangement, these tonsils sit safely above the foramen magnum, which is the large opening in the occipital bone of the skull where the spinal cord passes through to meet the brainstem.

When these tonsils descend into the foramen magnum, the condition is often scrutinized by neurologists and neurosurgeons. The severity is generally measured by the number of millimeters that the tonsils extend below the line of the foramen magnum. While the medical community has debated what constitutes a "pathological" descent, a displacement of 5 millimeters or more is commonly used as a clinical threshold for a diagnosis of Chiari I malformation, though clinical symptoms are often a more important factor than the measurement alone.

What Causes Low-Lying Tonsils?

The descent of the tonsils can result from several factors, ranging from developmental variations to physical pressure within the skull. Identifying the underlying cause is essential for proper management. Common factors include:

  • Congenital Factors: Many individuals are born with a skull base that is slightly smaller than average, which physically forces the cerebellum to shift downward because there is not enough room.
  • Increased Intracranial Pressure (ICP): Conditions that raise the pressure inside the brain can push the structures downward.
  • Cerebrospinal Fluid (CSF) Issues: Disruption in the flow of CSF can create pressure gradients that contribute to the tonsillar descent.
  • Connective Tissue Disorders: Conditions such as Ehlers-Danlos syndrome have been associated with a higher incidence of anatomical variations in the cranio-cervical junction.

Common Symptoms to Monitor

It is important to note that many people with cerebral tonsils low lying are completely asymptomatic. The finding is often discovered "incidentally" during an MRI performed for unrelated reasons, such as a sinus headache or a minor concussion. However, if the tonsils are compressing the brainstem or obstructing the flow of cerebrospinal fluid, patients may experience specific neurological symptoms.

Symptom Category Common Manifestations
Pain Occipital headaches, neck pain, and pain worsening with coughing or straining.
Sensory/Motor Numbness in hands, muscle weakness, or loss of fine motor skills.
Balance/Vision Dizziness, vertigo, blurred vision, or involuntary eye movements (nystagmus).
Neurological Difficulty swallowing, hoarseness, or sleep apnea symptoms.

⚠️ Note: If you experience sudden, severe headaches, weakness on one side of your body, or sudden changes in vision, seek medical attention immediately, as these may indicate acute neurological complications.

Diagnostic Procedures and Evaluation

If your doctor notes that your cerebral tonsils low lying appearance is clinically significant, they will likely move forward with a more comprehensive evaluation. An MRI of the brain and entire cervical spine is the gold standard for assessment. This allows the radiologist and neurologist to check for a syrinx—a fluid-filled cyst within the spinal cord—which can occur if the flow of spinal fluid is chronically blocked.

The evaluation process usually involves:

  • Neurological Examination: Testing your reflexes, strength, balance, and coordination to see if the physical findings on the scan correlate with any functional deficits.
  • Dynamic MRI: Sometimes, doctors will use special imaging techniques to observe the actual flow of cerebrospinal fluid around the foramen magnum while you are moving or during specific breathing maneuvers.
  • Symptom Tracking: Keeping a log of your "valsalva-induced" symptoms, which are symptoms that worsen when you sneeze, cough, strain, or laugh.

Management and Treatment Options

Management depends entirely on your symptom profile. For individuals who are asymptomatic, the standard approach is "watchful waiting." This usually involves periodic neurological exams and potentially follow-up imaging to ensure that the condition is not progressing or causing secondary complications.

For those who are symptomatic, surgical intervention may be discussed. The most common procedure is a posterior fossa decompression. The goal of this surgery is to create more space at the base of the skull, relieving the pressure on the cerebellar tonsils and restoring normal circulation of the cerebrospinal fluid. This procedure typically involves removing a small portion of the bone at the back of the skull and sometimes opening the covering of the cerebellum (the dura) to provide additional room.

💡 Note: Always consult with a neurosurgeon who specializes in Chiari malformations or disorders of the cranio-cervical junction if you are considering surgical options.

Living with the Diagnosis

If you have been diagnosed with low-lying tonsils, you might be worried about your physical activity. While most individuals can lead a normal life, some doctors may recommend avoiding activities that involve heavy straining or intense contact sports if there is documented evidence of significant crowding at the foramen magnum. It is essential to discuss your specific lifestyle and exercise routine with your healthcare provider to ensure that your activities are safe for your specific anatomy.

Focusing on neck posture, especially while working at a desk, can also be beneficial. Ergonomic adjustments can help reduce secondary neck strain, which can sometimes be exacerbated by the underlying structural variations. Ultimately, the presence of low-lying tonsils does not define your overall health, and many people live their entire lives without ever experiencing clinical issues related to this anatomical finding.

Also read: Best Face Mask Brands Plastic Surgery Recovery

Understanding that the medical term for cerebral tonsils low lying is a structural observation rather than an immediate disease process is key to managing your mental well-being. By staying informed, monitoring for any changes in your health, and maintaining regular communication with your neurologist, you can ensure that you are taking the right steps for your specific situation. While the diagnosis may sound intimidating, it is often a benign anatomical variant that requires nothing more than routine observation. Prioritizing clear communication with your medical team and keeping a proactive eye on your symptoms will provide you with the best path forward, ensuring you receive the appropriate level of care based on your individual needs rather than just a radiologic measurement.

Related Terms:

  • low cerebellar tonsils on mri
  • minimally low lying cerebellar tonsils
  • low lying cerebellar tonsils meaning
  • low lying cerebellar tonsils 3mm
  • low lying cerebellar tonsils surgery
  • 4mm cerebellar tonsillar ectopia