Cleve

Branches Of Celiac Axis

Branches Of Celiac Axis

The human abdominal anatomy is a complex network of vessels, and understanding the branches of celiac axis—often referred to as the celiac trunk—is fundamental for medical students, radiologists, and surgeons alike. As the primary arterial supply for the foregut, the celiac trunk is a short, wide artery that originates from the abdominal aorta at the level of the T12 vertebrae. Its role in delivering oxygenated blood to vital organs, including the stomach, liver, spleen, and pancreas, cannot be overstated. By studying the branching patterns, clinicians can better diagnose vascular pathologies and navigate the abdominal cavity during surgical interventions.

Anatomical Overview of the Celiac Trunk

Medical anatomy visualization

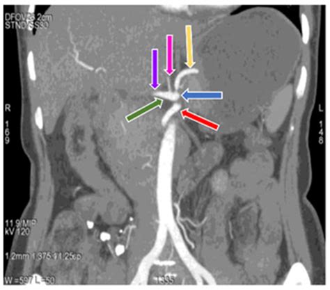
The celiac axis is the first major anterior branch of the abdominal aorta. It is remarkably short, typically measuring between 1 to 2 centimeters before it divides into its three primary vessels. The anatomical orientation of the branches of celiac axis follows a specific pattern that ensures the upper abdominal viscera receive continuous perfusion. Understanding this “tripod” configuration—known as the tripus Halleri—is essential for identifying the standard anatomy versus common anatomical variations that can complicate medical procedures.

The Three Primary Branches of Celiac Axis

The classic description of the celiac trunk involves a trifurcation into three distinct arteries. Each of these branches supplies specific organs, forming a collateral network that protects the foregut from ischemia. The primary branches are as follows:

  • Left Gastric Artery: Often considered the smallest of the three, it travels superiorly toward the esophagus and then descends along the lesser curvature of the stomach.
  • Common Hepatic Artery: This vessel travels to the right, serving as the gateway to the liver, gallbladder, and parts of the stomach and duodenum.
  • Splenic Artery: Typically the largest branch, it follows a tortuous path along the superior border of the pancreas toward the spleen.

Detailed Breakdown of the Branches

To master the branches of celiac axis, one must look deeper into the sub-branches that arise from these three main vessels. These secondary and tertiary branches form complex anastomoses that are vital for maintaining blood flow if one pathway becomes partially occluded.

1. The Left Gastric Artery

The left gastric artery gives off esophageal branches that supply the lower esophagus. Its primary clinical significance lies in its relationship with the lesser curvature of the stomach, where it anastomoses with the right gastric artery.

2. The Common Hepatic Artery

The common hepatic artery is unique due to its further division. It gives rise to the gastroduodenal artery and the proper hepatic artery. The latter then bifurcates into the left and right hepatic arteries, which enter the liver through the porta hepatis.

3. The Splenic Artery

Beyond its primary duty of perfusing the spleen, the splenic artery provides essential blood supply to the pancreas through several branches, including the dorsal pancreatic, greater pancreatic, and caudal pancreatic arteries. It also gives off the short gastric arteries and the left gastroepiploic artery.

Anatomical Variation and Significance

It is important to note that the “classic” trifurcation only occurs in about 70-80% of the population. Anatomical variations in the branches of celiac axis are common and must be accounted for during angiographic studies or surgical planning. For instance, the left gastric artery may occasionally arise directly from the aorta, or the splenic artery may originate from a superior mesenteric artery variation. Awareness of these anomalies prevents iatrogenic injury during abdominal surgery.

Primary Branch Key Structures Supplied
Left Gastric Artery Esophagus, lesser curvature of stomach
Common Hepatic Artery Liver, gallbladder, stomach, duodenum, pancreas
Splenic Artery Spleen, pancreas, greater curvature of stomach

💡 Note: While the classic anatomy describes a clean trifurcation, radiologists frequently encounter variations where one or more branches may arise independently from the aorta or the superior mesenteric artery.

Clinical Relevance in Modern Medicine

The branches of celiac axis are frequently evaluated using non-invasive imaging techniques such as CT angiography and Doppler ultrasound. Identifying the patency of these vessels is critical in conditions like Median Arcuate Ligament Syndrome (MALS), where the median arcuate ligament compresses the celiac trunk, causing chronic abdominal pain. Furthermore, in cases of gastrointestinal bleeding or tumor resection, surgeons rely on detailed knowledge of these branches to ligate specific vessels without compromising the perfusion of healthy tissues.

💡 Note: When reviewing diagnostic images, pay close attention to the takeoff angle of the celiac trunk, as sharp angulation can be an early indicator of vascular compression syndromes.

Surgical Considerations

During open or laparoscopic surgeries, the celiac axis serves as a primary landmark. Surgeons must be cautious of the surrounding celiac plexus, a dense network of nerves that can be inadvertently damaged if the vascular anatomy is not carefully dissected. Additionally, the proximity of the celiac trunk to the pancreas makes it a focal point in pancreatic surgeries, such as the Whipple procedure, where precise knowledge of the branches of celiac axis is required to ensure the liver and stomach remain adequately perfused after the resection of surrounding tissues.

Mastering the anatomy of the celiac trunk provides a robust foundation for understanding foregut blood supply. From the standard trifurcation pattern to the intricacies of the hepatic and splenic vascular networks, these vessels play an indispensable role in maintaining visceral health. As imaging technology continues to advance, the ability to recognize individual variations in these arterial pathways remains a vital skill for medical professionals. By maintaining a detailed perspective on these anatomical structures, practitioners can enhance diagnostic accuracy, minimize surgical complications, and ultimately improve patient outcomes in complex abdominal care.

Related Terms:

  • celiac branches anatomy
  • 3 branches of celiac trunk
  • celiac artery anatomy diagram
  • celiac artery branches anatomy
  • celiac trunk picture
  • celiac trunk anatomy branches