Cleve

Wisdom Tooth Infection Symptoms

Wisdom Tooth Infection Symptoms

Experiencing pain in the back of your mouth can be a distressing ordeal, often signaling that your third molars—commonly known as wisdom teeth—are causing trouble. Many people assume that discomfort in this area is simply part of the teething process, but it is critical to recognize the specific Wisdom Tooth Infection Symptoms before the situation escalates into a more serious dental emergency. When these teeth lack the space to erupt properly, they become impacted, creating a breeding ground for bacteria and trapped food particles, which almost inevitably leads to infection.

Recognizing the Signs: What to Look For

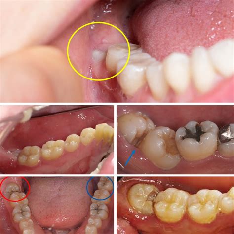
The human mouth is home to a vast microbiome, and when a wisdom tooth is only partially emerged, a flap of gum tissue—known as an operculum—often covers part of the tooth. Bacteria thrive under this flap, leading to a condition called pericoronitis. Identifying the Wisdom Tooth Infection Symptoms early on can be the difference between a simple antibiotic course and the need for more invasive oral surgery.

Here are the most common signs that indicate an infection is present:

  • Persistent Pain: A dull, throbbing ache located deep in the back of the jaw that may radiate to the ear or throat.
  • Swollen Gums: The tissue surrounding the tooth appears red, inflamed, and may feel tender to the touch.
  • Unpleasant Taste or Odor: A persistent bad taste in your mouth or noticeable halitosis (bad breath) caused by pus discharge from the infection site.
  • Difficulty Opening Your Mouth: Trismus, or jaw stiffness, which makes it painful or physically challenging to open your mouth wide.
  • Swollen Lymph Nodes: Tenderness or swelling in the lymph nodes under the jaw or in the neck area as the immune system fights the infection.
  • Fever: In advanced stages, a systemic fever may develop, indicating that the infection is spreading.

The Risks of Ignoring Symptoms

Procrastination is the enemy of oral health. If you recognize these Wisdom Tooth Infection Symptoms but decide to wait, you risk the development of a dental abscess. An abscess is a pocket of pus that can destroy the bone surrounding your teeth. In severe cases, the infection can spread into the bloodstream or the tissues of the face and neck, leading to Ludwig’s angina, a life-threatening condition that compromises your airway.

Severity Level Clinical Presentation Recommended Action
Mild Slight gum tenderness, mild bad breath Saltwater rinses and dental consultation
Moderate Visible swelling, throbbing pain, difficulty chewing Urgent dentist appointment for antibiotics
Severe High fever, facial swelling, difficulty breathing Emergency Room visit

Managing Symptoms While Waiting for Care

If you have identified Wisdom Tooth Infection Symptoms, you should call your dentist immediately. However, if you are unable to get an appointment for a few hours, there are ways to manage the discomfort temporarily. Remember that these steps do not cure the infection; they only provide palliative relief.

Follow these steps to soothe the area:

  • Saltwater Rinses: Mix half a teaspoon of salt in a glass of warm water. Gently swish it around your mouth to help dislodge debris and kill bacteria.
  • Cold Compress: Apply an ice pack to the outside of your cheek for 15 minutes on, 15 minutes off, to reduce inflammation.
  • Over-the-Counter Analgesics: Use anti-inflammatory medications like ibuprofen, provided they are safe for your medical history, to reduce pain and swelling.
  • Keep the Area Clean: Gently brush the area with a soft-bristled toothbrush to remove plaque, even if it is uncomfortable.

⚠️ Note: Avoid placing aspirin directly on the gums near the infected tooth, as this can cause a chemical burn on the soft tissue, leading to further pain and irritation.

Professional Treatment Options

When you finally arrive at the dentist, they will perform a clinical examination and likely take X-rays to assess the positioning of the wisdom teeth. The primary treatment for an infected wisdom tooth is usually its removal. While this may sound intimidating, it is a standard procedure that eliminates the source of the infection permanently.

If the infection is severe, your dentist may prioritize draining the abscess and prescribing a course of antibiotics to neutralize the bacteria before extracting the tooth. Do not stop taking your prescribed medication even if the Wisdom Tooth Infection Symptoms seem to disappear after a few days, as the bacteria may still be present in the underlying tissue.

Prevention and Long-term Oral Hygiene

Maintaining optimal oral health is the best defense against recurring issues. While you cannot always prevent wisdom teeth from becoming impacted, you can minimize the risk of infection by practicing impeccable hygiene. If your wisdom teeth have partially emerged, use a water flosser or an interdental brush to reach behind your back molars, where standard toothbrushes often fail. Regular check-ups are essential, as your dentist can often predict potential issues with your wisdom teeth long before they become symptomatic through regular dental imaging.

Understanding the body’s warning signs is essential for maintaining a healthy smile and preventing systemic health issues. By staying vigilant for the indicators discussed, you can address dental problems before they evolve into major medical crises. Always prioritize professional consultation over self-diagnosis when dealing with oral pain, as infections in the mouth are unpredictable and require specialized care to be treated safely and effectively. Staying proactive with your dental exams and responding swiftly to any abnormal changes in your gum health will ensure that your wisdom teeth do not compromise your overall well-being.

Related Terms:

  • can wisdom teeth cause sickness
  • wisdom tooth infection treatment
  • wisdom tooth extraction infection symptoms
  • wisdom tooth abscess
  • broken wisdom tooth infection symptoms
  • picture of infected wisdom tooth