Cleve

What Is Endodontics

What Is Endodontics

When you experience a persistent, throbbing toothache, it is often a sign that something is amiss deep within your tooth. Many people hear the word "root canal" and immediately feel a surge of anxiety, but understanding the field of dentistry responsible for these treatments can help demystify the process. So, what is endodontics exactly? At its core, endodontics is a specialized branch of dentistry that focuses on the study and treatment of the dental pulp—the soft tissue inside your teeth—and the tissues surrounding the roots of a tooth. While general dentists handle a wide array of oral health needs, an endodontist is essentially a "tooth surgeon" who has completed additional years of specialized training to save natural teeth that might otherwise require extraction.

The Core Focus of Endodontics

Endodontics stems from the Greek words "endo" (inside) and "odont" (tooth). Therefore, the literal definition is "inside the tooth." The primary goal of an endodontic specialist is to manage the health of the pulp, which contains nerves, blood vessels, and connective tissue. When this tissue becomes inflamed or infected—often due to deep decay, repeated dental procedures, or a traumatic injury—it causes significant pain and threatens the integrity of the tooth.

By specializing in the interior health of the tooth, these professionals utilize advanced technology, such as surgical microscopes and digital imaging, to perform intricate procedures. This high level of precision allows them to navigate the tiny, complex canals within the tooth roots to remove bacteria and restore function.

Common Endodontic Procedures

Most people associate endodontics primarily with root canal therapy, but the field encompasses several other treatments designed to preserve dental health. Here are the most common procedures performed by these specialists:

  • Root Canal Therapy: The standard procedure for removing infected pulp, cleaning the canal system, and sealing the tooth to prevent future infection.
  • Endodontic Retreatment: Sometimes, a previously treated tooth fails to heal or develops new problems months or years later. Retreatment involves reopening the tooth to address the complication.
  • Apicoectomy: If a standard root canal is not enough to clear an infection, this microsurgical procedure is performed to remove the very tip of the tooth's root.
  • Traumatic Injury Management: Specialists are often called upon to treat teeth that have been cracked, dislodged, or knocked out entirely due to accidents.

💡 Note: While all endodontists are dentists, less than three percent of dentists are endodontists. Choosing a specialist for complex cases often leads to higher success rates and greater long-term comfort.

Why Does the Dental Pulp Become Infected?

Understanding the "why" is just as important as understanding the "what." The pulp is well-protected by the hard outer layers of the tooth (enamel and dentin), but it is vulnerable to exposure. Common causes of pulp damage include:

Cause Description
Deep Decay Bacteria from untreated cavities reach the inner pulp chamber.
Cracked Teeth Structural damage creates pathways for bacteria to enter the tooth.
Trauma Impacts from sports or accidents can damage the pulp, even if the tooth looks fine.
Repeated Procedures Frequent dental work on the same tooth can eventually irritate the pulp.

The Benefits of Choosing Endodontic Treatment

You might wonder why you shouldn't just pull the tooth and be done with it. The answer lies in the value of your natural dentition. Keeping your natural teeth is almost always superior to replacing them with artificial alternatives like bridges or implants. Here is why endodontic care is a wise investment:

  • Efficient Chewing: Natural teeth provide the most natural biting and chewing experience.
  • Natural Appearance: Preserving the tooth structure ensures that your smile looks consistent.
  • Protection of Jawbone: Keeping the root intact helps maintain the stimulation and density of the surrounding jawbone.
  • Pain Relief: The primary purpose of most endodontic procedures is to eliminate the discomfort caused by infection or inflammation.

What to Expect During Your Appointment

If you have been referred to an endodontist, there is no reason to be nervous. Modern techniques and advanced anesthesia have made these treatments highly comfortable. During your visit, the specialist will first conduct a thorough examination using 3D imaging to visualize the internal structure of your tooth. They will discuss the diagnosis with you and walk you through every step of the procedure.

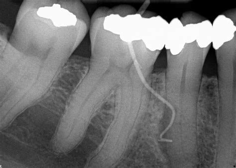
The actual root canal or surgery involves isolating the tooth, cleaning the canals, and filling them with a biocompatible material called gutta-percha. After the procedure, the tooth is usually capped with a crown or filling to restore it to its full functionality. Most patients find that they can return to their normal daily activities almost immediately.

💡 Note: Always follow your specialist's post-operative instructions carefully. While you may experience mild sensitivity for a few days, this is temporary and can typically be managed with over-the-counter pain relief.

Advancements in Endodontic Technology

The field has evolved significantly over the past two decades. Today’s practitioners use ultrasonic instruments that can gently clean the inside of a tooth without the vibration associated with older dental tools. Furthermore, the use of operating microscopes allows the specialist to see tiny, hidden canals that might be missed by the naked eye. These technological leaps ensure that the treatment is not only faster but significantly more effective at preventing the recurrence of infection. By focusing on the microscopic details of the tooth's anatomy, endodontists are successfully saving millions of teeth annually that would have otherwise been extracted.

Final Thoughts

When you ask what is endodontics, the answer is a vital component of modern, high-quality dental care. It is a field dedicated to the preservation of your natural smile through advanced, minimally invasive techniques. By addressing the root cause of tooth pain—the infection within the pulp—endodontists provide a pathway to comfort, functionality, and the long-term health of your teeth. If you are facing the possibility of a root canal or related procedure, remember that you are in the hands of a professional trained specifically to provide the best possible outcome for your dental health. Prioritizing this care ensures you can continue to eat, speak, and smile with confidence for years to come.

Related Terms:

  • what is endodontics dentistry
  • what is endodontics procedures
  • what is endodontic treatment
  • what is periodontics dentistry
  • what is endodontics definition
  • what is endodontics services