Cleve

What Is Cytopathology

What Is Cytopathology

The journey toward an accurate medical diagnosis often begins at the microscopic level, where the smallest cellular changes can reveal the most significant health insights. If you have ever wondered about the diagnostic process behind a biopsy or a routine screening, you might find yourself asking, What Is Cytopathology? At its core, cytopathology is a specialized branch of pathology that focuses on the examination of individual cells or small clusters of cells to determine the presence, nature, and cause of diseases. Unlike histopathology, which examines large tissue sections to observe the architectural structure of an organ, cytopathology zooms in on the cellular landscape, offering a fast, minimally invasive, and highly effective way to identify abnormalities, particularly in the early stages of malignancy.

The Fundamental Role of Cytopathology in Modern Medicine

Cytopathology serves as a cornerstone of preventive medicine. By analyzing samples collected from bodily fluids, scrapings, or fine-needle aspirations, pathologists can detect cellular anomalies long before they manifest as palpable masses or systemic symptoms. This practice is essential for both diagnostic accuracy and patient comfort, as many cytological procedures are far less traumatic than traditional surgical biopsies.

The primary objectives of this field include:

Also read: Face Lift Surgery Pictures Before After
  • Early Cancer Detection: Identifying precancerous or cancerous cells in screenings like the Pap smear.
  • Diagnosis of Infections: Detecting viral, bacterial, or fungal pathogens within fluid samples.
  • Inflammatory Assessment: Differentiating between benign inflammation and malignant growth.
  • Minimally Invasive Guidance: Providing rapid results via fine-needle aspiration (FNA) from thyroid, breast, or lymph node lesions.

Core Techniques and Sampling Methods

Understanding what is cytopathology requires a look at how samples are collected. The methods vary depending on the location of the suspected lesion and the nature of the patient’s clinical presentation. The versatility of these techniques makes cytopathology a favorite tool for clinicians seeking quick, reliable data.

Common sampling methods include:

  • Exfoliative Cytology: Cells are collected from surfaces where they naturally shed, such as the cervix (Pap test) or respiratory tract (sputum).
  • Interventional Cytology (Fine-Needle Aspiration): A thin, hollow needle is inserted into a lesion or mass to withdraw cellular material. This is frequently used for thyroid nodules and superficial lumps.
  • Body Cavity Fluids: Analysis of fluids like pleural fluid (around the lungs) or peritoneal fluid (in the abdomen) to check for the spread of cancer or infection.

⚠️ Note: Always consult with your primary healthcare provider to discuss why a cytopathology test has been ordered and what the specific sampling method entails for your unique health situation.

Comparing Diagnostic Approaches

To better grasp the landscape of laboratory diagnostics, it is helpful to compare cytopathology with other common methodologies. This table outlines the distinct focus of each approach:

Method Sample Type Primary Goal
Cytopathology Individual cells/small groups Early screening and rapid diagnosis
Histopathology Large tissue sections Study of tissue architecture/margins
Hematology Blood samples Analysis of blood cells/coagulation

The Process: From Collection to Diagnosis

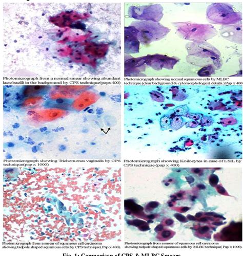
The path from a clinical setting to a finalized report involves several rigorous steps. Once the sample is collected, it undergoes fixation to preserve the cellular structure. Afterward, the lab technician prepares a slide, often using special stains like the Papanicolaou (Pap) stain or Giemsa stain to highlight internal structures of the cell, such as the nucleus and cytoplasm.

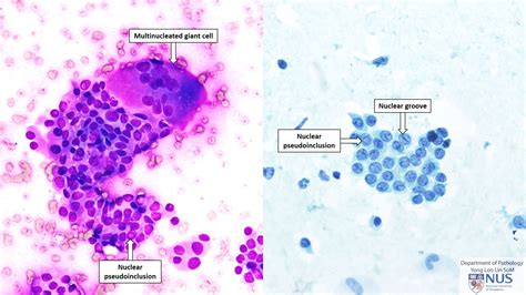
A trained cytopathologist then examines the slide under a microscope. They look for specific "morphological markers"—clues that tell them whether the cell is functioning normally, reacting to inflammation, or showing signs of neoplasia. These markers include changes in the size of the nucleus, irregularities in the nuclear membrane, or an increased ratio of nucleus-to-cytoplasm.

Why Precision Matters in Cytopathology

The importance of cytopathology cannot be overstated. Because this field often acts as the first line of defense, the skill of the cytopathologist is critical. High-quality samples lead to accurate diagnoses, which in turn dictate the patient’s treatment plan. Whether it is confirming a diagnosis of benign thyroiditis or identifying the presence of atypical cells in a bronchial brushing, the data provided by the laboratory team guides surgeons and oncologists in their decision-making process.

Advancements in the field, such as Liquid-Based Cytology (LBC), have further increased the sensitivity of these tests. By washing the sample into a specialized vial, laboratories can create a cleaner, more representative slide that is easier to analyze, significantly reducing the rate of unsatisfactory or inconclusive results.

Challenges and Future Directions

While highly effective, cytopathology does face challenges. A primary limitation is that it focuses on individual cells; therefore, it cannot always provide information about the "stroma" or the way cells interact with surrounding tissues, which is a key component in tumor staging. However, the field is evolving. Molecular testing, such as HPV testing in cervical screenings, is now frequently integrated with cytopathology to provide a more comprehensive risk assessment.

As we look toward the future, artificial intelligence (AI) is beginning to play a role in digitizing slides and flagging potential areas of concern for human pathologists. This synergy between human expertise and machine precision promises to make the diagnostic process faster and even more accurate than ever before.

In wrapping up this exploration, it becomes clear that cytopathology is much more than just a lab test. It is a vital link between the patient’s symptoms and the medical intervention required to restore their health. By studying the minute details of cellular life, medical professionals are empowered to catch diseases at their earliest, most treatable stages. Understanding the significance of these procedures helps demystify the medical process and underscores the importance of regular screenings. As science continues to bridge the gap between microscopic observations and clinical outcomes, the role of cytopathology remains essential in providing patients with the clarity and care they need for a healthier future.

Related Terms:

  • cytology vs cytopathology
  • what is cytology
  • what is cytology used for
  • what is cytopathology test
  • what is a cytological sample
  • what does cytopathology mean