Cleve

What Is Cdh

What Is Cdh

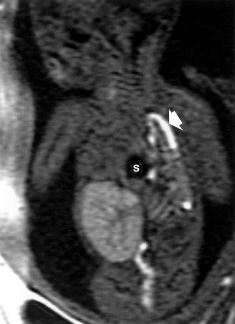
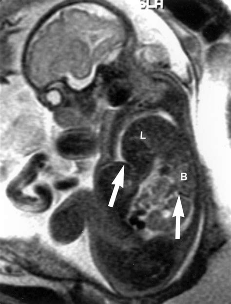
When expectant parents hear the term Congenital Diaphragmatic Hernia, it often triggers immediate confusion and anxiety. What is CDH, and how does it affect a developing fetus? At its core, Congenital Diaphragmatic Hernia (CDH) is a serious birth defect that occurs when the diaphragm—the thin, dome-shaped muscle that separates the chest cavity from the abdomen—fails to form correctly during fetal development. This failure leaves an abnormal opening, allowing abdominal organs such as the stomach, intestines, or liver to push upward into the chest cavity. Because these organs occupy space meant for the developing lungs, the lungs often fail to grow to their full size, leading to a condition known as pulmonary hypoplasia. Understanding this condition is the first step for parents navigating a complex medical journey.

Understanding the Mechanics of CDH

To fully grasp what is CDH, one must understand how it physically alters a newborn's anatomy. The diaphragm is essential for normal breathing. When a hole exists in this muscle, the vacuum pressure changes within the thoracic cavity. As the abdominal organs migrate into the chest, they compress the developing lungs, hindering the branching of the airways and the development of blood vessels.

The severity of CDH is largely determined by the timing of the defect during gestation and the specific organs that migrate into the chest. In many cases, the heart may also be pushed out of its normal position, which can further impact circulatory function at birth. This combination of underdeveloped lungs and potential circulatory strain is why babies born with CDH require specialized neonatal care immediately upon delivery.

Also read: Symptoms Of Bacteria Eating Flesh

Common Symptoms and Diagnostic Procedures

Because the issues caused by CDH are immediate upon the first breath, symptoms are usually noticed right in the delivery room. Parents and medical teams need to be aware of the clinical presentation to ensure rapid intervention. Key signs include:

  • Respiratory Distress: Rapid, labored breathing shortly after birth.
  • Cyanosis: A bluish tint to the skin caused by a lack of oxygen in the blood.
  • Abdominal Appearance: A noticeably flat or "scaphoid" abdomen because the organs have moved into the chest.
  • Heart Sound Abnormalities: Sounds that are shifted or difficult to hear in the normal anatomical positions.

In many modern medical settings, CDH is often identified before birth during routine prenatal ultrasounds. If an anomaly is suspected, doctors may utilize fetal MRI or advanced echocardiograms to assess the severity of lung development and heart positioning.

Feature Description
Anatomical Impact Abdominal organs migrate into the chest cavity.
Lung Impact Pulmonary hypoplasia (underdeveloped lungs).
Typical Discovery Prenatal ultrasound or immediate postnatal distress.
Key Treatment Surgical repair of the diaphragm and respiratory support.

⚠️ Note: Early detection via fetal ultrasound significantly improves outcomes, as it allows medical teams to prepare for a specialized delivery in a center with advanced neonatal intensive care capabilities.

Treatment Pathways and Surgical Intervention

Once the question of what is CDH is answered through diagnosis, the medical focus shifts immediately to stabilization. Treatment is generally a multi-stage process that prioritizes respiratory function before addressing the anatomy.

Initially, the focus is on "gentle ventilation." Medical teams avoid aggressive breathing machines that might further damage the sensitive, underdeveloped lungs. In severe cases, infants may be placed on ECMO (Extracorporeal Membrane Oxygenation), a life-support system that does the work of the heart and lungs, allowing the infant’s own systems to stabilize.

Once the infant is stable—often several days or weeks after birth—a pediatric surgeon performs a repair. The surgeon gently moves the displaced abdominal organs back into their proper place in the abdomen and closes the hole in the diaphragm. If the hole is small, it is stitched together; if the hole is large, a prosthetic patch may be used to create a solid barrier.

Managing Long-Term Health Outcomes

While the surgical repair closes the anatomical gap, survivors of CDH often require ongoing medical monitoring. Because the lungs were compressed during a critical growth period, some children may experience long-term respiratory challenges. Common follow-up areas include:

  • Pulmonology: Monitoring lung function and addressing potential chronic breathing issues.
  • Gastroenterology: Many CDH survivors deal with acid reflux, as the stomach may not sit in its original position perfectly.
  • Nutrition: Ensuring the child receives adequate calories for growth, as the body expends significant energy on breathing.
  • Developmental Care: Early intervention therapies to assist with any fine or gross motor skill delays.

The field of neonatology is advancing rapidly. Researchers are constantly looking into new therapies to encourage lung development in utero, potentially lessening the severity of the condition before the baby is even born. With these medical advancements, the prognosis for children born with CDH continues to improve significantly.

💡 Note: Every case of CDH is unique. A specialized multidisciplinary team, including neonatologists, pediatric surgeons, and respiratory therapists, is essential for creating a personalized care plan.

Understanding the Emotional Journey for Families

Navigating the reality of this diagnosis is undeniably taxing. Families often find that connecting with support groups or organizations dedicated to Congenital Diaphragmatic Hernia is incredibly beneficial. These networks provide a platform to share experiences, gain practical advice on hospital stays, and find solace in a community that truly understands the complexities of the condition. Mental health support for parents is equally important during this time to manage the stress and uncertainty that often accompany a high-risk diagnosis.

Ultimately, addressing what is CDH involves a deep look at both the medical complexities and the resilient nature of the families affected. While the journey involves significant surgical intervention and long-term care, current medical protocols offer a hopeful outlook for many infants. By focusing on early diagnosis, specialized care, and consistent follow-up, medical teams are able to provide these children with the best possible chance to thrive. Understanding the mechanics of the condition, from the initial failure of the diaphragm to form to the intricacies of postoperative care, empowers parents to advocate for their children and participate actively in their healing process.

Related Terms:

  • what is cdh medical
  • what causes cdh in babies
  • what is cdh disorder
  • cdh meaning medical
  • what is cdh hospital
  • what is cdh in newborns