Cleve

What Is Actinic Keratosis

What Is Actinic Keratosis

Understanding skin health often involves paying attention to small changes on your body, particularly those that appear after years of sun exposure. If you have ever noticed a rough, scaly patch of skin that seems to persist despite moisturizing, you might be asking yourself, What Is Actinic Keratosis? Often referred to as "solar keratoses," these skin lesions are essentially precancerous growths that appear on areas frequently exposed to ultraviolet (UV) light. While they are not inherently malignant at the moment of discovery, they serve as a critical warning sign that your skin has sustained cumulative sun damage, necessitating professional evaluation.

Recognizing the Symptoms of Actinic Keratosis

Close up of skin texture

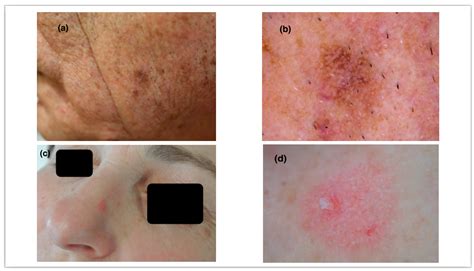
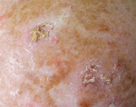
The appearance of actinic keratosis (AK) can vary, but there are distinct characteristics to look for during a self-exam. Because these lesions develop slowly, they are often easier to feel than to see. You might notice a patch that feels like sandpaper or a rough, dry crust on the skin surface. Common indicators include:

Also read: Lion Face Plastic Surgery
  • Texture: The skin feels gritty, rough, or scaly to the touch.
  • Color: Lesions may appear flesh-colored, brown, pink, or reddish.
  • Size: Most spots are small, often less than an inch in diameter.
  • Persistence: These spots do not heal; they may disappear temporarily, only to reappear later.
  • Location: They are most commonly found on the face, lips, ears, scalp, neck, backs of hands, and forearms.

⚠️ Note: If you notice a patch that grows rapidly, begins to bleed, or becomes painful, seek medical attention immediately, as these may be signs of squamous cell carcinoma.

The Connection Between Sun Exposure and Skin Damage

To fully grasp what is actinic keratosis, one must understand the role of UV radiation. The sun emits UVA and UVB rays, which penetrate the skin and damage the DNA within skin cells (keratinocytes). Over time, this cumulative damage disrupts the normal maturation process of these cells. Instead of shedding normally, the damaged cells cluster and form the rough, scaly lesions associated with AK.

Factors that increase your risk of developing these lesions include:

Risk Factor Description
Skin Type Individuals with fair skin, blue or green eyes, and light hair are at higher risk.
Age Risk increases with age, as skin damage accumulates over decades.
Geography Living in areas with intense, year-round sunshine increases exposure levels.
Immune System People with weakened immune systems due to medications or illnesses are more susceptible.

Why Medical Evaluation Is Essential

One of the primary reasons to consult a dermatologist is the difficulty in distinguishing between a benign actinic keratosis and early-stage squamous cell carcinoma. Because AK is considered a precursor to skin cancer, it is widely accepted that these lesions should be treated to prevent them from progressing. Dermatologists use several methods to confirm a diagnosis, most commonly a physical examination supported by a dermatoscope. In some cases, a skin biopsy may be required to rule out more serious malignancies.

Treatment Options for Actinic Keratosis

Once a diagnosis is confirmed, your healthcare provider will determine the best course of action based on the number and location of the lesions. Treatment protocols generally fall into two categories: procedural interventions and topical therapies.

  • Cryotherapy: Liquid nitrogen is applied to the lesion to freeze and destroy the abnormal cells, causing them to blister and fall off.
  • Curettage and Electrodessication: The lesion is scraped off with a specialized tool, and the base is cauterized to kill remaining cells.
  • Photodynamic Therapy (PDT): A photosensitizing agent is applied to the skin, followed by exposure to a special light source that targets and destroys the damaged cells.
  • Topical Creams: Prescription creams such as imiquimod, 5-fluorouracil, or diclofenac gel can be applied at home over a period of weeks to chemically treat the affected area.
  • Chemical Peels: Sometimes used to remove the top layers of skin to address widespread AK.

💡 Note: Follow your doctor's post-treatment instructions strictly, especially regarding sun avoidance and skin protection, to ensure optimal healing and prevent further damage.

Preventative Strategies for Future Skin Health

Even after successful treatment, the potential for new lesions remains if preventative habits are not adopted. Prevention is not just about avoiding sunburns; it is about mitigating the lifetime accumulation of UV damage. Consistent use of broad-spectrum sunscreen with an SPF of at least 30 is the cornerstone of prevention. Furthermore, wearing protective clothing, including wide-brimmed hats and UV-blocking sunglasses, adds a vital layer of defense. It is also wise to seek shade during peak sun hours, typically between 10 a.m. and 4 p.m., when the sun's rays are strongest.

Regular skin self-exams are equally important. By becoming familiar with the topography of your skin, you can identify new or changing spots early. When you catch changes early, the interventions are usually less invasive and more successful. Remember that while actinic keratosis is a common condition, it is a clear message from your skin that it requires extra care and consistent protection moving forward. By partnering with a dermatologist for routine screenings, you can manage your skin health effectively and maintain your long-term wellness.

Taking proactive steps regarding your skin health is the most effective way to manage the risks associated with UV exposure. By identifying and treating lesions early, you prevent the possibility of progression into skin cancer. Consistency in sun protection, combined with professional medical guidance, allows you to enjoy the outdoors safely while keeping your skin as healthy as possible. Always prioritize annual skin checks, as these are the most reliable tool in your defense against long-term sun damage, ensuring that you stay informed and protected throughout every stage of your life.

Related Terms:

  • actinic keratosis on breast
  • is actinic keratosis serious
  • different types of actinic keratosis
  • how to describe actinic keratosis
  • actinic keratosis signs and symptoms
  • pictures of actinic keratosis