Cleve

What Is A Gum Graft

What Is A Gum Graft

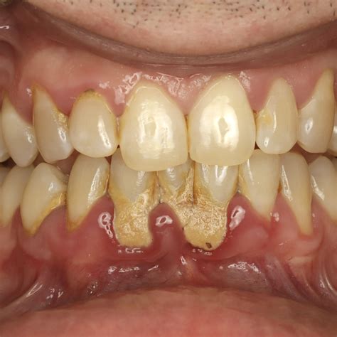
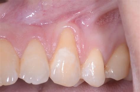
If you have ever looked in the mirror and noticed that your teeth appear longer than they used to, or if you feel a sharp pang of sensitivity when drinking a cold glass of water, you might be dealing with gum recession. This condition occurs when the tissue surrounding your teeth pulls back or wears away, exposing the delicate roots beneath. One of the most effective ways to treat this condition and protect your oral health is through a specialized procedure. Many patients often ask, What Is A Gum Graft, and whether it is a necessary step for their dental future. Put simply, a gum graft—also known as a gingival graft—is a surgical procedure designed to repair receding gums and restore the natural gum line.

Understanding Gum Recession and Its Causes

Gum recession is a slow process that often goes unnoticed until significant damage has occurred. When the gum tissue recedes, it creates "pockets" or gaps between the teeth and the gum line, making it easy for disease-causing bacteria to build up. If left untreated, this can lead to severe damage to the supporting bone structure and eventually result in tooth loss. Before diving into what is a gum graft, it is helpful to understand why gums recede in the first place:

  • Aggressive Brushing: Using a hard-bristled toothbrush or brushing with too much force can wear down the enamel and push the gum tissue away from the tooth.
  • Periodontal Disease: Bacterial gum infections are the most common cause of recession, destroying the gum tissue and bone that hold your teeth in place.
  • Genetics: Some individuals are simply born with thin or fragile gum tissue, making them more susceptible to recession regardless of their oral hygiene habits.
  • Hormonal Changes: Fluctuations in hormones, particularly in women, can make gums more sensitive and prone to recession.
  • Tobacco Use: Smoking and chewing tobacco are major contributors to poor gum health and slow healing processes.

What Is A Gum Graft: The Procedure Explained

A gum graft is a periodontal surgery performed to replace missing gum tissue. The primary goal is to cover exposed roots, reduce sensitivity, and improve the aesthetics of your smile. During the procedure, a periodontist takes a small amount of tissue from another part of your mouth, such as the roof of the mouth, or uses a donor source to graft it onto the affected area.

There are generally three types of procedures used to treat recession:

  • Connective Tissue Grafts: This is the most common method. A flap of skin is cut at the roof of your mouth, and tissue from under the flap is removed and stitched to the gum tissue surrounding the exposed root.
  • Free Gingival Grafts: Similar to connective tissue grafts, this involves taking a small amount of tissue directly from the roof of the mouth and attaching it to the gum area. This is often used for patients who have naturally thin gums.
  • Pedicle Grafts: This method uses gum tissue from the area right next to the tooth needing repair. A partial cut is made, the tissue is stretched over the exposed root, and then sewn into place. This is usually only possible if you have plenty of gum tissue near the target area.
Procedure Type Ideal Candidate Source of Tissue
Connective Tissue Patients with deep roots Roof of mouth (sub-layer)
Free Gingival Patients with thin gums Roof of mouth (surface)
Pedicle Graft Patients with healthy adjacent gums Adjacent gum tissue

💡 Note: The choice of procedure depends entirely on your specific anatomical needs and the severity of the recession, which your periodontist will evaluate during your consultation.

The Recovery Process and Aftercare

Understanding what is a gum graft also requires knowing what happens after you leave the chair. Recovery is generally straightforward, but it requires patience. You will likely experience some discomfort, swelling, and mild bleeding at the donor and recipient sites. Your periodontist will provide specific instructions, but here are the general rules for a smooth recovery:

  • Follow Pain Management: Take prescribed pain relievers or over-the-counter medication as directed by your dental professional.
  • Soft Food Diet: For the first week or two, stick to soft, cool foods like yogurt, mashed potatoes, applesauce, and eggs. Avoid spicy, acidic, or crunchy foods that could irritate the surgical site.
  • Oral Hygiene Modifications: Do not brush or floss the area that was operated on until your doctor clears you to do so. Use a prescribed antibacterial mouthwash to keep the area clean.
  • Limit Physical Activity: Avoid strenuous exercise for at least 48 to 72 hours to prevent increased blood pressure and potential bleeding at the site.

Why Should You Consider This Treatment?

Many patients wonder if the procedure is worth the effort. The answer is almost always yes. Beyond the obvious cosmetic benefits of having a balanced, healthy-looking smile, a gum graft provides long-term health advantages. It stops the progression of recession, protecting the root surface from further decay. Since root surfaces do not have the protective enamel that crowns have, they are highly prone to cavities. By restoring the gum barrier, you are essentially "armoring" your tooth against future structural failure.

💡 Note: Always consult with a board-certified periodontist to ensure you are receiving the most accurate diagnosis and treatment plan for your unique dental situation.

The journey to maintaining a healthy smile involves recognizing when your body is signaling that something is wrong. Gum recession is a manageable condition, and identifying the solution—specifically knowing what is a gum graft—is the first step toward reclaiming your oral health. By addressing exposed roots early, you prevent the need for more invasive treatments down the road. Whether you are motivated by the desire to eliminate tooth sensitivity or you simply want to restore the aesthetic harmony of your gum line, this procedure offers a reliable, time-tested approach to periodontal wellness. Remember that consistent follow-up care and a dedicated oral hygiene routine are the best ways to ensure your results last for many years to come.

Related Terms:

  • how successful are gum grafts
  • gum graft what to expect
  • who does gum graft surgery
  • gum graft before and after
  • does gum grafting work
  • is gum grafting safe