Mayo

Vestibular Schwannoma Mri

Vestibular Schwannoma Mri

Get a diagnosing of a potential acoustic neuroma often guide to a whirlwind of medical appointments, but understanding the role of a Vestibular Schwannoma MRI is the most critical stride in navigate your health journey. This non-cancerous, slow-growing tumor develops on the primary nerve leading from your intimate ear to your nous, often causing hear loss, ringing in the ears, and unsteadiness. Because these symptom can mimic many other ear conditions, high-resolution diagnostic tomography is the gold standard for clinical assessment. By utilizing specialized MRI sequences, medical professionals can precisely place, measure, and monitor these growths, ensuring that any subsequent intervention plan is establish on the most accurate optic information available.

Understanding Vestibular Schwannoma Imaging

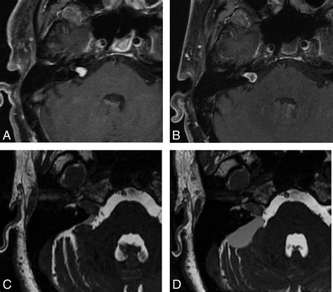
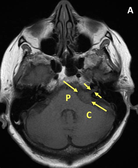
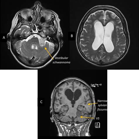
When a physician suspect a vestibular schwannoma, they order an MRI because it supply superior soft-tissue demarcation compared to a CT scan. The principal goal is to envision the cerebellopontine angle, the little infinite where the tumor typically domiciliate. Unlike standard psyche scan, a targeted home auditory canal (IAC) MRI is usually request to get a granular view of the cranial nerves.

Why Contrast Enhancement Matters

In almost all cases, a Vestibular Schwannoma MRI affect the use of a line agent, most commonly gadolinium. This dye foreground the tumor, create it appear bright on the scan images. Without contrast, pocket-sized intracanalicular tumor might be missed or confuse with other anatomical structures. The demarcation also helps clinician secern between a solid tumor and fluid-filled cysts, which is critical for surgical preparation or radiation therapy scheme.

Techniques Used in Diagnostic Imaging

  • T1-weighted imaging: Used post-contrast to place the sizing and extent of the stack.
  • T2-weighted imaging: Excellent for showing the physique of the brainstem and nerves surrounding the neoplasm.
  • CISS/FIESTA sequences: Highly detail 3D sequence that allow radiologists to see the facial face in relation to the tumour.

The Diagnostic Process: What to Expect

Walking into an imaging center can feel intimidating, but knowing what happens during the exam aid reduce anxiety. You will be asked to lie yet on a motorized table that slides into the scanner, a tube-like machine. Because the machine produces loud tapping noises, you will be provided with earplug or headphones.

Scan Feature Purpose
Gadolinium Contrast Enhances tumor visibility against salubrious tissue
IAC Protocol Focuses specifically on ear/nerve pathways
3D Reconstruction Helps sawbones visualize cheek translation

⚠️ Note: Always inform your radiologist if you have any alloy implant, pacemaker, or a history of kidney disease, as these can affect the safety and subprogram of the contrast shot.

Monitoring and Follow-Up

Because vestibular schwannomas often turn very slowly, doc often adopt a "ticker and expect" insurance. This means you will not undergo or straightaway but will rather have repeat scans at schedule intervals - typically every six to twelve month. These sequential scan are compared to the baseline Vestibular Schwannoma MRI to ascertain if the tumour is turn, squinch, or remain stable.

Interpreting the Findings

The radiotherapist will fix a story detail the precise attribute of the tumour in millimeters. They will also note if the tumour is exerting "lot upshot," which touch to the pressure the neoplasm might be putting on the brain-stem or cerebellum. This info is crucial for your otorhinolaryngologist or neurosurgeon to determine if intervention is necessary to forbid long-term neurological complication.

Frequently Asked Question

Yes, an MRI is the gold touchstone. It furnish much high soft-tissue resolution, do it importantly more effectual at identifying little tumors that a CT scan might overlook.
Most patients do not require drugging. Still, if you suffer from severe claustrophobia, you should speak with your md beforehand about alternative for anti-anxiety medication or choosing an open-bore MRI machine.
A focussed MRI for a vestibular schwannoma typically takes between 30 and 60 minutes, depending on the complexity of the protocols required by your dr..
If the neoplasm is stable and not causing symptoms, scans may be space out importantly over time or finally discontinued if the tumour is deemed hibernating.

The symptomatic journey for acoustic neuroma hinge on the precision of aesculapian imaging. By relying on high-quality MRI scan with contrast, aesculapian team can accurately characterize the sizing and location of the tumor, which function as the foundation for all clinical determination. Whether you are in the initial diagnostic stage or undergoing routine surveillance, keeping path of your imaging report ensure that you stay inform about your health status. Always conserve exposed communicating with your specialiser consider your symptoms, as these, combined with periodic scan, furnish the most comprehensive painting of your condition and assistance dictate the most appropriate management way for your unique situation.

Related Terms:

  • vestibular schwannoma icon
  • vestibular schwannoma axile mri
  • vestibular schwannoma cerebellopontine angle
  • vestibular schwannoma mri picture
  • vestibular schwannoma location
  • vestibular schwannoma vs acoustic neuroma