Rp

Urinary Tract Stent Procedure

Urinary Tract Stent Procedure

Experiencing persistent pain in your back, side, or lower abdomen can be deeply unsettling, and when a medical professional mentions a urinary tract stent procedure, it is natural to feel a sense of apprehension. This medical intervention, commonly referred to as a ureteral stent placement, is a highly effective, minimally invasive solution used to restore normal urine flow when the ureter—the tube connecting the kidney to the bladder—becomes blocked. Whether the blockage is caused by a kidney stone, narrowing of the ureter, or other medical conditions, understanding the procedure, what to expect, and the recovery process can significantly alleviate your anxiety and help you feel more empowered throughout your treatment journey.

What is a Urinary Tract Stent Procedure?

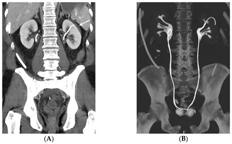
A urinary tract stent procedure involves the insertion of a thin, flexible, hollow tube—the stent—into the ureter. The primary purpose of this device is to hold the ureter open, ensuring that urine can travel freely from the kidney to the bladder. Without this pathway, a blockage can cause urine to back up into the kidney, leading to severe pain, potential infection, and possible long-term kidney damage.

The stent is typically made of medical-grade plastic or silicone, designed to be biocompatible, meaning it can safely remain inside the body for a specific period. It features small curls at both ends—one sitting in the kidney and the other in the bladder—which act as anchors to keep the device from moving out of place. This design is why they are often called "double-J" or "pig-tail" stents.

Reasons Why You Might Need a Stent

Your healthcare provider may recommend this procedure for various clinical reasons. Understanding the underlying cause is essential for your recovery plan. Common reasons include:

  • Kidney Stones: These are the most frequent cause. A stone may become stuck in the ureter, causing a blockage and intense pain.
  • Ureteral Strictures: Narrowing of the ureter caused by scar tissue or inflammation.
  • Tumors or Growths: External pressure from a tumor in the pelvis or abdomen can compress the ureter.
  • Post-Surgical Support: After certain kidney or ureteral surgeries, a stent is placed to help the tissue heal correctly and prevent obstruction due to swelling.
  • Pregnancy: In rare cases, the expanding uterus can compress the ureter, necessitating a stent.

The Procedure: What Happens During Placement

The urinary tract stent procedure is typically performed by a urologist in an outpatient setting or a hospital. The entire process is usually brief, lasting between 15 and 30 minutes. Here is a general breakdown of how it is conducted:

  1. Anesthesia: Depending on your health and the complexity of the situation, you may be placed under general anesthesia, or given sedation and local anesthesia to ensure comfort.
  2. Cystoscopy: The doctor inserts a thin, lighted telescope called a cystoscope through the urethra and into the bladder to visualize the opening of the ureter.
  3. Guidewire Insertion: A thin wire is carefully guided through the cystoscope, into the ureter, and past the site of the blockage.
  4. Stent Placement: The stent is threaded over the guidewire and moved into the correct position. Once verified using X-ray imaging (fluoroscopy), the guidewire is removed, leaving the stent in place.
Aspect Details
Procedure Type Minimally invasive, endoscopic
Setting Outpatient or surgical hospital
Average Duration 15 to 30 minutes
Anesthesia General, spinal, or local with sedation

💡 Note: It is completely normal to have some discomfort or a frequent urge to urinate immediately after the procedure. This sensation is often caused by the stent irritating the bladder wall and typically subsides within a few days.

Recovery and Living with a Ureteral Stent

Most patients return home shortly after the urinary tract stent procedure. While you can generally return to your daily activities within a day or two, it is crucial to listen to your body. You may experience symptoms such as flank pain during urination, minor blood in the urine (hematuria), or a constant need to empty your bladder. These symptoms are generally manageable with prescribed pain relief and increased fluid intake.

To ensure a smoother recovery, consider the following tips:

  • Stay Hydrated: Drinking plenty of water helps flush the system and reduces irritation in the bladder.
  • Manage Pain: Use medications exactly as prescribed by your doctor. Over-the-counter anti-inflammatories or bladder antispasmodics may also be suggested.
  • Activity Modification: While you do not need bed rest, avoid heavy lifting or intense physical exercise that could cause the stent to shift or irritate the bladder excessively.
  • Monitor Symptoms: Keep an eye out for signs of complications, such as high fever, chills, inability to urinate, or excessive blood loss.

How is the Stent Removed?

A ureteral stent is meant to be a temporary solution, not a permanent fixture. Once the underlying issue—such as a kidney stone or a healed surgical site—is resolved, the stent must be removed. The removal process is generally faster and simpler than the insertion. In many cases, it can be performed in the doctor’s office using a flexible cystoscope under local anesthesia. For some patients, the doctor may include a thin string attached to the end of the stent that hangs outside the body, allowing for an even simpler removal process during a follow-up visit.

💡 Note: Never attempt to remove or pull on the stent string yourself unless specifically instructed and guided by your urologist. Doing so can cause injury or damage to the ureter.

Navigating the necessity of a stent can feel overwhelming, but keep in mind that this is a standard and highly effective intervention designed to protect your kidney function and alleviate significant discomfort. By adhering to your doctor’s pre- and post-procedure instructions, maintaining excellent hydration, and monitoring your body’s signals, you can manage the recovery period with confidence. Most patients find that the relief from the original blockage far outweighs the temporary inconvenience of having the stent in place. If you ever find your symptoms worsening or have concerns about how your body is reacting, do not hesitate to contact your urology team, as they are equipped to provide the necessary support to ensure your journey back to full health is as smooth as possible.

Related Terms:

  • ureteral stent placement time
  • right ureteral stent placement
  • how to place ureteral stent
  • purpose of ureteral stent placement
  • ureteral stent placement procedure
  • left ureteral stent placement