Cleve

Types Of Arthritis In Hands

Types Of Arthritis In Hands

Experiencing persistent pain, stiffness, or swelling in your fingers and wrists can significantly impact your daily life, making simple tasks like typing, cooking, or gripping objects difficult. If you have been wondering why your hands feel restricted or uncomfortable, you may be dealing with one of the various types of arthritis in hands. Understanding the specific nature of your symptoms is the first crucial step toward effective management and pain relief. Arthritis is not a single disease but rather an umbrella term for conditions that cause joint inflammation. Because the hand is a complex structure comprising many small, highly mobile joints, it is uniquely susceptible to several different forms of this condition.

Understanding the Complexity of Hand Arthritis

The human hand is a marvel of engineering, containing 27 bones held together by a network of joints, ligaments, and tendons. When the protective cartilage in these joints begins to wear down or becomes inflamed, it leads to the discomfort commonly identified as arthritis. Identifying the right types of arthritis in hands is essential because treatment plans vary drastically depending on the underlying cause. While aging is a common factor for some, others may be caused by autoimmune system malfunctions or previous injuries.

Common Types of Arthritis in Hands

While there are over 100 forms of arthritis, only a few commonly affect the hands. Being able to distinguish between them can help you have a more productive conversation with your healthcare provider.

  • Osteoarthritis (OA): Often called "wear-and-tear" arthritis, this is the most common form. It occurs when the cartilage that cushions the ends of your bones gradually deteriorates over time.
  • Rheumatoid Arthritis (RA): This is a chronic autoimmune disease where your immune system attacks the lining of your joints (the synovium), causing painful swelling, bone erosion, and joint deformity.
  • Psoriatic Arthritis (PsA): This type affects some people who have psoriasis. It can cause inflammation, stiffness, and pain in the small joints of the fingers and toes.
  • Post-Traumatic Arthritis: This form develops following a specific injury, such as a fracture or a dislocation in the hand or wrist.
  • Gout: While often associated with the big toe, gout can affect the hand joints when uric acid crystals build up in the joint, causing sudden, intense attacks of pain and swelling.
Type of Arthritis Primary Cause Common Symptoms
Osteoarthritis Age, repetitive use, genetics Stiffness, bony growths (nodes), pain after activity
Rheumatoid Arthritis Autoimmune reaction Symmetrical swelling, warmth, morning stiffness
Psoriatic Arthritis Genetic/Immune factors Swollen fingers ("sausage-like"), skin psoriasis
Gout Uric acid buildup Sudden, severe pain, redness, heat

⚠️ Note: If you experience sudden, severe joint pain accompanied by high fever or visible heat in the joint, seek medical attention immediately, as this can be a sign of an infection in the joint, which requires urgent treatment.

Recognizing the Symptoms

Regardless of the specific types of arthritis in hands you may have, there are shared warning signs. Paying attention to how your hands feel at different times of the day can provide valuable clues:

  • Morning Stiffness: Many people with arthritis feel their joints are "stuck" or stiff when waking up, often taking 30 minutes or more to loosen up.
  • Visible Swelling: Noticeable puffiness or swelling around the knuckles or the base of the thumb.
  • Reduced Range of Motion: Difficulty making a fist, opening jars, or bending fingers comfortably.
  • Joint Tenderness: Pain or sensitivity when pressure is applied to a specific joint.
  • Crepitus: A grinding, clicking, or grating sensation when moving your fingers or rotating your wrist.

Diagnosing Hand Arthritis

Because symptoms overlap significantly between different forms of arthritis, an accurate diagnosis is paramount. Doctors typically use a combination of methods to determine which of the types of arthritis in hands is present:

  1. Physical Examination: Your doctor will check for swelling, redness, warmth, and limited movement.
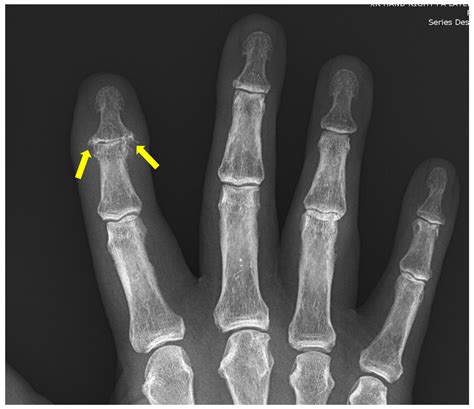
  2. Imaging Tests: X-rays are the standard tool to look for cartilage loss, bone spurs, and joint space narrowing. MRI or ultrasound may be used for a more detailed look at soft tissues.
  3. Blood Tests: These are crucial for identifying autoimmune types like Rheumatoid Arthritis by checking for specific markers, such as rheumatoid factor (RF) or anti-CCP antibodies.

💡 Note: Early diagnosis is often the most important factor in preventing permanent joint damage, especially in inflammatory conditions like Rheumatoid Arthritis. Do not delay seeking medical advice if your symptoms persist.

Management and Treatment Strategies

While many forms of arthritis are chronic, a proactive approach can significantly improve your quality of life. Modern treatments aim to reduce pain, slow down disease progression, and preserve hand function.

Conservative Management

For mild to moderate cases, lifestyle adjustments and conservative treatments are often the first line of defense:

  • Splinting: Wearing a brace at night or during stressful activities can stabilize joints and reduce pain.
  • Therapeutic Exercises: Gentle stretching and strengthening exercises, often guided by a hand therapist, help maintain mobility.
  • Temperature Therapy: Warm soaks or heating pads can soothe stiff joints, while cold packs help reduce acute swelling and inflammation.
  • Ergonomic Adjustments: Using adaptive tools (like larger grips on pens or kitchen utensils) reduces stress on hand joints during daily tasks.

Medical Interventions

When conservative measures are insufficient, doctors may recommend additional medical treatments:

  • Medications: Nonsteroidal anti-inflammatory drugs (NSAIDs) manage pain. For autoimmune types, disease-modifying antirheumatic drugs (DMARDs) or biologic agents are used to stop the immune system from attacking the joints.
  • Injections: Corticosteroid injections can provide temporary but significant relief from severe inflammation in specific joints.
  • Surgery: In cases where arthritis has caused severe damage or deformity, surgical options like joint fusion (arthrodesis) or joint replacement (arthroplasty) might be considered to restore function and alleviate pain.

Living with Hand Arthritis

Adopting a proactive lifestyle can empower you to manage your condition effectively. Incorporating anti-inflammatory dietary habits, such as increasing intake of omega-3 fatty acids and minimizing processed sugars, may support overall joint health. Furthermore, keeping a diary of your symptoms and potential triggers can provide your doctor with excellent data to fine-tune your treatment plan over time. Remember that consistency in your therapy exercises and medication regimen is key to preventing flare-ups and maintaining independence in your daily activities.

Navigating the various types of arthritis in hands can seem overwhelming, but recognizing that this is a manageable condition is the first step toward reclaiming your comfort. Whether you are dealing with the slow progression of osteoarthritis or the systemic inflammation associated with rheumatoid arthritis, early identification and a tailored treatment plan significantly improve long-term outcomes. By working closely with healthcare professionals—such as rheumatologists, hand surgeons, and occupational therapists—you can implement strategies to protect your joints and minimize pain. With a combination of medical intervention, physical therapy, and smart lifestyle adjustments, most individuals can continue to engage in their favorite activities and maintain the function and dexterity of their hands for years to come.

Related Terms:

  • pictures of arthritis in fingers
  • rheumatoid arthritis arthritis in hands
  • list of different types arthritis
  • arthritis in hands early symptoms
  • arthritis in hands pictures
  • photos of osteoarthritis in fingers