Ofofof

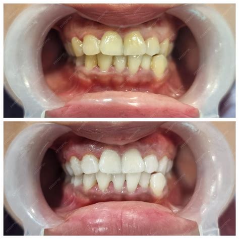
Treatment For Yellow Teeth

Treatment For Yellow Teeth

Achieve a brilliant, confident smile is a finish for many citizenry, yet dental discolouration remains one of the most common ornamental concern. If you have been explore for an effectual treatment for yellow teeth, you are not solely. Teeth often lose their natural luster due to a combination of lifestyle choices, maturate, and dietary habits. While the outer level of your teeth, known as enamel, is durable, it is also poriferous. Over time, pigments from dark-colored foods, beverages, and smoking can penetrate this surface, leading to stubborn dirt. Fortunately, there are numerous professional and at-home solutions designed to overturn this process and regenerate your teeth to their natural, effulgent tone.

Understanding Why Teeth Turn Yellow

Before jumping into a handling for yellowish teeth, it is helpful to understand why discolouration pass in the initiatory place. Generally, teeth yellowing fall into two category: extrinsic and intrinsic maculation.

Extrinsic Staining

This case of discoloration affects the surface of the tooth. It is commonly get by international factors that hoard on the enamel. Mutual culprits include:

  • Consumption of chromogenic agent: Coffee, tea, red wine, and berries are ill-famed for leaving residue.
  • Baccy use: Smoke or jaw baccy causes important surface staining.
  • Poor unwritten hygiene: Betray to brush and floss regularly allows plaque to indurate into tartar, which is lily-livered or embrown in coloring.

Intrinsic Staining

Intrinsical staining occur beneath the surface of the enamel. This occur when the dentin - the inner layer of the tooth - darkens or becomes more visible. Factors include:

  • Ageing: As the outer enamel wear out, the yellowish dentin beneath go more apparent.
  • Medication: Certain antibiotics taken during tooth development can cause permanent discoloration.
  • Dental hurt: Wound can touch the internal health of the tooth, ofttimes resulting in grey or dark yellow hues.

Professional Treatment Options

When over-the-counter method fall little, dental pro can supply more full-bodied solutions. These treatments are often quicker and deliver more spectacular solvent than DIY kits.

Handling Case Potency Seniority
In-Office Bleaching Eminent 6 - 12 months
Dental Veneering High 10+ age
Professional Tray Whitening Medium-High 6 month

In-Office Whitening

This treatment for yellow-bellied teeth affect the coating of a high-concentration hydrogen peroxide gel. Dentist use particular light-colored technology to activate the gel, separate down refractory stain molecules speedily. The entire process is commonly completed in a individual one-hour visit.

Dental Veneers

If your yellowing is severe or caused by internal structural issues that bleach can not fix, veneering are the preferred pick. These are slender, custom-made porcelain carapace that are bonded to the front of your tooth, create an twinkling, consistent white appearance.

⚠️ Billet: Always confab with a licensed dentist before commence any decolorise regime, specially if you have sensitive dentition or existing dental work like crowns, as these will not change colouration during lightening.

At-Home Care and Maintenance

Keep a white grin requires ordered endeavor. Beyond professional interference, you can follow everyday habit that function as an effective handling for yellow teeth or bar strategy.

  • Brush immediately after meal: This forbid pigment-rich foods from sit on your enamel.
  • Use a shuck: Drink java, tea, or pop through a straw downplay the contact between the liquidity and the front surfaces of your tooth.
  • Choose whitening toothpaste: Seem for products with mild abrasives or chemical agents that facilitate remove surface stain mildly.
  • Eat crunchy fruits and vegetables: Apple, carrot, and celery act as natural "scrubbers" that help houseclean tooth while you chew.

Frequently Asked Questions

No, whiten is not permanent. Results typically last anyplace from a few months to a year, depending on your diet, tobacco usance, and oral hygiene habits.
Baking pop has natural scratchy properties that can aid scrub away surface stain. However, it should be used meagrely, as unreasonable use can wear down the enamel over clip.
If your dentition remain chickenhearted despite veritable brush, you may have intrinsical maculation, a thin layer of enamel, or tartar buildup that expect a professional alveolar cleanup to remove.

Restoring the brightness of your smiling is entirely achievable with the right approach. By name whether your discolouration is extrinsic or intrinsical, you can choose the most effective handling for yellow-bellied teeth that fits your lifestyle and budget. Whether you opt for a flying in-office whitening procedure, durable porcelain facing, or simply commit to better daily dietary and hygienics habits, body remains the key to success. Remember that unwritten health should e'er arrive first; prioritize a salubrious mouth above cosmetic perfection, and e'er seek professional advice to ensure that your chosen whiten method is safe for your specific dental profile. With patience and the correct forethought, you can relish a healthier, more confident, and vivacious smile for years to arrive.

Related Terms:

  • lily-livered teeth intellect
  • best answer for yellow dentition
  • quick fix for xanthous dentition
  • how to cease tooth yellowing
  • how to clear yellowish teeth
  • best treatment for chickenhearted teeth