Cleve

Tooth Filling Does It Hurt

Tooth Filling Does It Hurt

If you have recently visited your dentist and received the news that you have a cavity, you might be feeling a sense of apprehension. One of the most common questions patients ask is, "Tooth filling does it hurt?" It is completely natural to feel nervous about dental procedures, but understanding exactly what happens in the dentist's chair can significantly reduce your anxiety. In reality, modern dentistry has advanced to a point where getting a filling is a routine, generally painless, and highly efficient procedure designed to save your tooth and stop the progression of decay.

Understanding the Need for a Tooth Filling

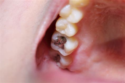
Before diving into the sensation of the procedure, it is important to understand why fillings are necessary. A cavity is essentially a small hole that forms in your tooth caused by decay. When bacteria in your mouth produce acid that eats away at the tooth enamel, it creates a compromised area. If left untreated, this cavity can grow deeper, leading to severe pain, infection, or even the loss of the tooth. A filling serves to remove the decayed material and seal the space, restoring the tooth’s structural integrity.

The Truth About Pain During a Filling

When asking “tooth filling does it hurt,” the simple answer is that you should not feel pain during the procedure. Your dentist’s primary goal is your comfort. Before the procedure begins, they will apply a local anesthetic to the area surrounding the affected tooth. Once the numbing agent has taken full effect, you will not feel any pain in the treatment area. You might feel some pressure or hear the sound of the dental drill, but the sensation of pain is effectively blocked.

Here is a breakdown of what to expect in terms of sensation during the process:

  • The Numbing Process: A topical gel is often applied first to numb the gums before the anesthetic injection, minimizing the pinch.
  • During the Procedure: Because of the local anesthetic, the nerve endings in the area are "turned off," preventing any pain signals from reaching your brain.
  • After the Procedure: Once the anesthesia wears off, you might experience mild sensitivity or soreness, which is entirely normal and typically fades within a day or two.

Factors Influencing the Experience

While the procedure itself is designed to be painless, your personal experience can be influenced by a few factors. Dentists prioritize patient management, but being aware of these variables can help you manage your expectations.

Factor Impact on Sensation
Severity of Decay Deeper cavities may require more preparation, but anesthesia still prevents pain.
Anxiety Levels High anxiety can make you more sensitive to sounds or sensations.
Tooth Location Some areas of the mouth are easier to numb than others, but dentists are trained for all.

💡 Note: If you have a high level of dental anxiety, discuss this with your dentist beforehand. Many offices offer sedation options like nitrous oxide (laughing gas) to help you relax throughout the appointment.

What to Expect After the Procedure

Once the numbing agent begins to wear off, it is common to experience some temporary sensitivity. This is not an indication that the procedure went wrong; rather, it is a normal reaction to the dental work. Your tooth may feel sensitive to hot or cold temperatures, or you might experience slight tenderness in your gums where the anesthesia was administered.

To ensure a smooth recovery, follow these tips:

  • Avoid extreme temperatures: Steer clear of very hot or very cold food and drinks for the first 24 hours.
  • Chew carefully: Avoid chewing on the side where the filling was placed until your numbness has completely worn off to avoid accidentally biting your cheek or tongue.
  • Over-the-counter relief: If you experience minor discomfort, standard over-the-counter pain relievers are usually sufficient.

💡 Note: Contact your dentist if you notice that your bite feels uneven or "high" after the anesthesia wears off. They can easily adjust the filling to ensure your teeth align perfectly.

Choosing the Right Filling Material

The type of material used for your filling can also impact your long-term comfort. Modern dentistry offers several options, each with its own advantages:

  • Composite Resin: These are tooth-colored and bond directly to the tooth, often requiring less removal of healthy tooth structure. They are excellent for small-to-medium cavities.
  • Amalgam (Silver): These are highly durable and cost-effective, typically used for back teeth where the chewing force is greater.
  • Ceramic or Porcelain: Often used for larger restorations, these are highly aesthetic and resistant to staining.

Overcoming Dental Anxiety

If you still feel apprehensive about the question, “tooth filling does it hurt,” remember that your dentist wants you to have a positive experience. Communication is key. Feel free to signal your dentist if you need a break during the procedure. Many patients use headphones to listen to music or podcasts, which can act as a great distraction from the ambient sounds of the dental office. Knowing that you are in control of the situation often alleviates much of the fear associated with dental work.

Furthermore, delaying a filling because of fear is counterproductive. Small cavities are incredibly easy to treat, but if you wait until the decay reaches the nerve or causes a toothache, the procedure becomes more complex and potentially more uncomfortable. Addressing the issue early is the best way to ensure that your future dental visits remain quick, routine, and entirely pain-free.

Ultimately, the fear of the unknown is often much worse than the actual experience of getting a tooth filling. By choosing a qualified dental professional, communicating your concerns regarding comfort, and understanding that modern anesthesia is highly effective, you can put your worries to rest. A filling is a proactive measure that preserves your oral health and ensures that your smile remains bright and functional for years to come. If you are experiencing any discomfort or suspect you have a cavity, schedule an appointment immediately. Taking swift action is the most effective way to maintain your dental health and avoid unnecessary procedures down the road.

Related Terms:

  • soreness after fillings in teeth
  • does replacing a filling hurt
  • do fillings hurt afterwards
  • teeth still sensitive after filling
  • tooth sensitive after filling
  • teeth fillings hurt when touched