Cleve

Tooth Decay Symptoms

Tooth Decay Symptoms

Tooth decay is one of the most common dental problems affecting people of all ages worldwide. Understanding the symptoms of tooth decay is crucial for early detection and treatment, potentially saving you from more serious dental complications and expensive procedures. Many people don't realize they have tooth decay until it progresses to advanced stages, which is why recognizing the early warning signs can make a significant difference in maintaining your oral health. This comprehensive guide will walk you through everything you need to know about tooth decay symptoms, from the earliest indicators to advanced stages, helping you take proactive steps toward better dental care.

What Is Tooth Decay and How Does It Develop

Tooth decay, also known as dental caries or cavities, occurs when bacteria in your mouth produce acids that erode the tooth enamel. This process doesn't happen overnight but develops gradually through several stages. The bacteria feed on sugars and starches from the food you eat, creating a sticky film called plaque that clings to your teeth. When plaque isn't removed through proper brushing and flossing, the acids continue to attack the enamel, eventually creating holes or cavities in the teeth.

The development of tooth decay follows a progressive pattern, starting with demineralization of the enamel and potentially advancing to affect deeper layers of the tooth structure. Understanding this progression helps you recognize symptoms at different stages and seek appropriate treatment before the condition worsens.

Early Stage Tooth Decay Symptoms

Recognizing tooth decay in its earliest stages gives you the best chance of reversing the damage through improved oral hygiene and professional dental care. Here are the initial symptoms to watch for:

White Spots on Teeth
One of the first visible signs of tooth decay is the appearance of chalky white spots on the tooth surface. These spots indicate areas where minerals have been lost from the enamel, a process called demineralization. At this stage, the decay may still be reversible with proper fluoride treatment and improved oral hygiene practices.

Tooth Sensitivity
You might notice increased sensitivity when consuming hot, cold, or sweet foods and beverages. This sensitivity occurs because the enamel has begun to wear down, exposing the more sensitive layers underneath. The discomfort is usually brief and subsides once the stimulus is removed.

Rough Texture
Running your tongue over your teeth might reveal rough or uneven surfaces where the enamel has started to break down. This texture change is often subtle but noticeable if you pay attention to how your teeth normally feel.

Moderate Tooth Decay Symptoms

As tooth decay progresses beyond the enamel into the dentin layer, symptoms become more pronounced and harder to ignore:

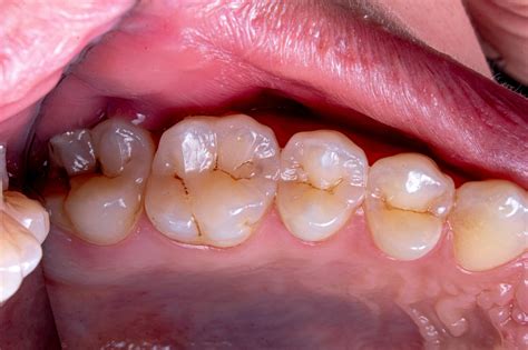
Visible Discoloration
The affected tooth may develop brown, black, or gray stains that don't brush away. These discolorations indicate that decay has penetrated deeper into the tooth structure. The color can vary depending on the severity and location of the decay.

Persistent Toothache
Pain becomes more frequent and intense as decay reaches the dentin. Unlike early sensitivity, this pain may occur spontaneously without any obvious trigger. The discomfort can range from mild to severe and may interfere with daily activities like eating or sleeping.

Increased Sensitivity Duration
Sensitivity to temperature and sweet foods becomes more prolonged and intense. The pain may linger for several minutes after exposure to the triggering substance, indicating that the decay has progressed significantly.

Bad Breath
Persistent bad breath or an unpleasant taste in your mouth can result from bacteria accumulating in the decayed area. Regular brushing may not eliminate this odor because the bacteria are trapped within the cavity.

Advanced Tooth Decay Symptoms

When tooth decay reaches advanced stages, affecting the pulp or causing complications, symptoms become severe and require immediate dental attention:

Sharp, Severe Pain
Intense, throbbing pain that may radiate to your jaw, ear, or neck indicates that decay has reached the tooth's pulp, where nerves and blood vessels are located. This pain can be debilitating and may worsen when lying down or at night.

Visible Holes or Pits
You can actually see or feel holes in your teeth with your tongue. These cavities are clear evidence of significant tooth structure loss and require professional treatment to prevent further damage.

Swelling and Inflammation
Swelling of the gums around the affected tooth, or even facial swelling, suggests that infection has developed. The area may appear red, feel tender to touch, and be accompanied by a fever in severe cases.

Pus or Abscess Formation
The presence of pus around the tooth or a dental abscess indicates a serious infection that has spread beyond the tooth. This condition requires emergency dental care as it can lead to systemic health problems if left untreated.

Difficulty Chewing
Pain when biting down or chewing on the affected side makes eating uncomfortable or impossible. You may find yourself avoiding certain foods or chewing only on one side of your mouth.

Tooth Decay Symptoms by Location

The location of tooth decay can influence which symptoms you experience and how quickly they develop:

Location Common Symptoms Detection Difficulty
Front Teeth Visible discoloration, sensitivity to cold, aesthetic concerns Easy to detect visually
Back Molars Pain when chewing, food trapping, difficulty cleaning Moderate, requires mirror or dental exam
Between Teeth Flossing discomfort, food impaction, hidden decay Difficult, often requires X-rays
Root Surface Extreme sensitivity, gum recession, exposed roots Moderate, visible if gums have receded
Under Fillings Sudden sensitivity, filling looseness, pain Very difficult, requires professional examination

Tooth Decay Symptoms in Children

Children may experience tooth decay symptoms differently than adults, and they might not be able to articulate their discomfort clearly. Parents should watch for these signs:

  • Crying or irritability during meals or when drinking cold beverages
  • Refusing to eat certain foods, especially those requiring chewing
  • Touching or holding their cheek or jaw frequently
  • Visible brown or black spots on baby teeth or permanent teeth
  • Complaints of toothache that may be difficult for them to describe accurately
  • Difficulty sleeping due to dental pain

👶 Note: Baby teeth are more susceptible to rapid decay than permanent teeth due to thinner enamel. Regular dental check-ups starting from the first tooth are essential for early detection.

Differentiating Tooth Decay from Other Dental Problems

Several dental conditions can mimic tooth decay symptoms, making it important to understand the differences:

Tooth Decay vs. Tooth Sensitivity
While both cause discomfort with temperature changes, tooth sensitivity typically affects multiple teeth and responds to desensitizing toothpaste. Tooth decay usually affects specific teeth and progressively worsens without treatment.

Tooth Decay vs. Gum Disease
Gum disease primarily affects the soft tissues around teeth, causing bleeding, swelling, and gum recession. Tooth decay focuses on the hard tooth structure itself, though both conditions can coexist.

Tooth Decay vs. Cracked Tooth
A cracked tooth may cause sharp pain when biting down or releasing pressure, whereas tooth decay typically causes more constant or throbbing pain. Cracks may not be visible without professional examination.

Risk Factors That Intensify Tooth Decay Symptoms

Certain factors can accelerate tooth decay development and make symptoms more severe:

Dry Mouth
Saliva helps neutralize acids and wash away food particles. Reduced saliva production due to medications, medical conditions, or aging increases decay risk and can make symptoms progress faster.

Frequent Snacking
Eating or drinking sugary items throughout the day gives bacteria constant fuel to produce acids, leading to more aggressive decay and earlier symptom onset.

Poor Oral Hygiene
Inadequate brushing and flossing allows plaque to accumulate, accelerating the decay process and making symptoms appear sooner and more severely.

Acidic Foods and Beverages
Regular consumption of sodas, citrus fruits, and other acidic items directly erodes enamel, making teeth more vulnerable to decay and intensifying sensitivity symptoms.

Existing Dental Work
Fillings, crowns, and other dental restorations can develop gaps over time where bacteria accumulate, leading to secondary decay that may be harder to detect initially.

When to Seek Professional Help

While some early tooth decay symptoms might seem minor, professional evaluation is crucial for proper diagnosis and treatment. You should schedule a dental appointment if you experience:

  • Any persistent tooth pain lasting more than a day or two
  • Sensitivity that doesn't improve with desensitizing toothpaste after two weeks
  • Visible holes, pits, or dark spots on your teeth
  • Swelling in your gums or face
  • Difficulty eating or sleeping due to dental discomfort
  • Bad breath that persists despite good oral hygiene
  • Any signs of infection such as fever or pus

⚠️ Note: Delaying treatment for tooth decay symptoms can lead to more extensive damage, requiring more invasive and expensive procedures like root canals or extractions instead of simple fillings.

Preventing Tooth Decay Symptoms from Developing

Prevention is always better than treatment when it comes to tooth decay. Implementing these strategies can help you avoid experiencing tooth decay symptoms altogether:

Maintain Excellent Oral Hygiene
Brush your teeth at least twice daily with fluoride toothpaste, spending at least two minutes each time. Floss daily to remove plaque and food particles from between teeth where your toothbrush can't reach.

Limit Sugar and Acidic Foods
Reduce your consumption of sugary snacks, sodas, and acidic beverages. When you do consume them, rinse your mouth with water afterward and wait at least 30 minutes before brushing to avoid damaging softened enamel.

Regular Dental Check-ups
Visit your dentist every six months for professional cleanings and examinations. Dentists can detect early signs of decay that you might miss and provide preventive treatments like fluoride applications or dental sealants.

Use Fluoride Products
Fluoride strengthens tooth enamel and helps reverse early decay. Use fluoride toothpaste, consider fluoride mouth rinses, and ask your dentist about professional fluoride treatments if you're at high risk for cavities.

Stay Hydrated
Drinking plenty of water throughout the day helps wash away food particles and bacteria while maintaining healthy saliva production. Choose fluoridated water when possible for added protection.

Treatment Options Based on Symptom Severity

The treatment your dentist recommends will depend on how advanced your tooth decay symptoms are:

For Early Stage Decay
Fluoride treatments can help remineralize enamel and reverse early decay when only white spots are present. Your dentist may also recommend improved oral hygiene practices and dietary changes.

For Moderate Decay
Fillings are the standard treatment when decay has created a cavity. The dentist removes the decayed portion and fills the space with materials like composite resin, amalgam, or gold.

For Advanced Decay
Root canal therapy becomes necessary when decay reaches the tooth's pulp. This procedure removes infected tissue, cleans the root canals, and seals the tooth. A crown is typically placed afterward to protect the weakened tooth structure.

For Severely Damaged Teeth
Extraction may be the only option when a tooth is too damaged to save. Your dentist will discuss replacement options like dental implants, bridges, or partial dentures to restore function and appearance.

💡 Note: Modern dental treatments are much more comfortable than in the past, with effective anesthesia and sedation options available for anxious patients. Don't let fear prevent you from seeking necessary treatment.

Understanding tooth decay symptoms empowers you to take control of your oral health and seek timely treatment when needed. From the earliest white spots to advanced pain and infection, each symptom serves as a warning sign that shouldn’t be ignored. By maintaining excellent oral hygiene, making smart dietary choices, and visiting your dentist regularly, you can prevent most tooth decay from developing in the first place. Remember that early detection and treatment of tooth decay symptoms not only saves you from pain and discomfort but also preserves your natural teeth and prevents more extensive dental work in the future. Your teeth are meant to last a lifetime with proper care, and recognizing these symptoms is an essential part of that care. If you’re experiencing any of the symptoms described in this guide, don’t wait—schedule an appointment with your dentist today to protect your smile and overall health.

Related Terms:

  • first signs of tooth decay
  • how to treat tooth decay
  • really bad tooth decay
  • tooth decay
  • early signs of rotting teeth
  • 5 stages of dental decay