Rp

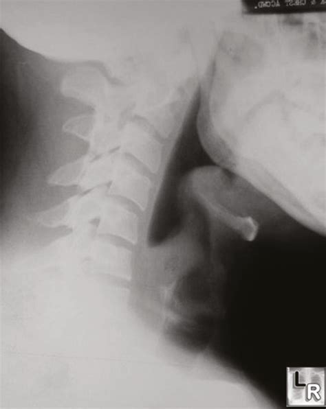
Thumbprint Sign Epiglottitis

Thumbprint Sign Epiglottitis

When a patient presents with sudden-onset sore throat, high fever, and a difficulty swallowing, medical professionals must maintain a high index of suspicion for life-threatening airway emergencies. Among these, acute epiglottitis stands out as a critical diagnosis that requires immediate intervention. One of the most classic, albeit rare, diagnostic indicators used in emergency medicine is the Thumbprint Sign Epiglottitis, a distinctive radiological finding that alerts clinicians to significant inflammation of the epiglottis. Understanding what this sign represents and when to look for it can be the difference between life and death in a clinical setting.

Understanding the Anatomy and Physiology of Epiglottitis

The epiglottis is a small, leaf-shaped flap of cartilage located at the base of the tongue. Its primary function is to act as a trapdoor, closing over the glottis during swallowing to prevent food and liquid from entering the trachea. In healthy individuals, the epiglottis is thin and pliable, barely visible on standard lateral neck X-rays.

However, when the epiglottis becomes infected—typically by Haemophilus influenzae type b (Hib) in unvaccinated populations or other pathogens like Streptococcus pneumoniae—it becomes severely inflamed and edematous. This swelling causes the structure to thicken and enlarge, which is what radiologists identify as the Thumbprint Sign Epiglottitis. Because the airway space is limited in the pharyngeal region, this rapid swelling can quickly lead to complete airway obstruction, making prompt recognition vital.

The Clinical Presentation

Before relying on imaging, clinicians must recognize the classic clinical triad of epiglottitis, often referred to by the "4 Ds":

  • Drooling: Due to the inability or pain associated with swallowing saliva.
  • Dysphagia: Significant difficulty or pain during the act of swallowing.
  • Dysphonia: A "hot potato" voice or a muffled quality to the speech.
  • Distress: Specifically respiratory distress, often manifesting as stridor.

Patients typically exhibit a "tripod position," where they lean forward with their neck extended and mouth open in a desperate attempt to maximize airway diameter. If these symptoms are present, imaging should not delay the securement of the airway. The diagnostic process must be handled with extreme care to avoid triggering a laryngospasm.

Radiological Identification: The Thumbprint Sign

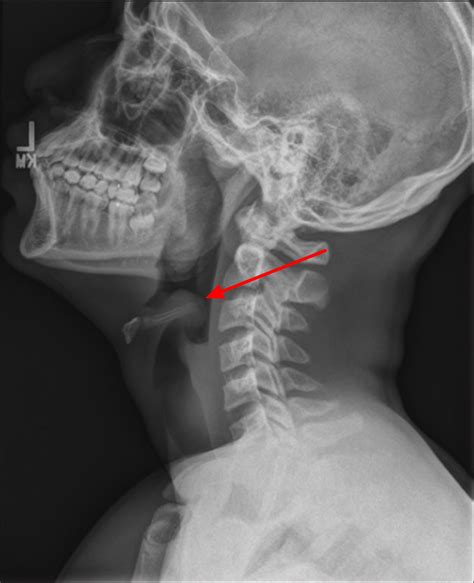
The Thumbprint Sign Epiglottitis is observed on a lateral soft tissue neck X-ray. Under normal conditions, the epiglottis appears as a thin, wispy shadow. In cases of acute epiglottitis, the inflamed tissue projects posteriorly and superiorly, creating a rounded, dense, soft-tissue opacity that resembles the distal phalanx of a human thumb. Hence, it is commonly called the "thumbprint sign."

While this sign is highly specific, it is not perfectly sensitive. A clinician should never rule out epiglottitis based solely on a "normal-looking" X-ray if the clinical suspicion remains high. The following table highlights key differences in imaging findings between common airway obstructions:

Condition Radiographic Finding Primary Clinical Feature
Acute Epiglottitis Thumbprint Sign Drooling, rapid onset, tripod posture
Croup (Laryngotracheobronchitis) Steeple Sign Barking cough, inspiratory stridor
Retropharyngeal Abscess Prevertebral soft tissue thickening Neck stiffness, fever, localized pain

⚠️ Note: Never perform an invasive examination, such as an oropharyngeal inspection with a tongue depressor, if you suspect epiglottitis in a child or adult. This action can cause a sudden, total airway collapse.

Diagnostic Nuances and Safety Protocols

The reliance on the Thumbprint Sign Epiglottitis must be balanced with the clinical stability of the patient. If a patient is stable, a lateral neck radiograph can confirm the diagnosis. However, if the patient is in severe respiratory distress or is showing signs of impending airway failure, the diagnosis should be made clinically. In these scenarios, moving the patient to the radiology department is dangerous.

In a controlled setting like an operating room or an advanced emergency resuscitation suite, direct visualization via laryngoscopy remains the gold standard for definitive diagnosis. This allows for the simultaneous preparation for endotracheal intubation, which is often necessary to bypass the obstructed airway.

Management and Treatment Strategies

Once the suspicion of epiglottitis is confirmed via the Thumbprint Sign Epiglottitis or clinical assessment, the management priorities are absolute:

  1. Airway Stabilization: The most experienced clinician available must manage the airway. This may involve difficult intubation protocols, given the swelling of the laryngeal structures.
  2. Broad-Spectrum Antibiotics: Early initiation of intravenous antibiotics covering H. influenzae, Streptococcus, and Staphylococcus is essential.
  3. Corticosteroids: While their role is debated, many experts use them to help reduce laryngeal edema.
  4. Supportive Care: Careful monitoring of oxygen saturation and vital signs in an Intensive Care Unit (ICU) setting.

The evolution of vaccination programs, particularly against Hib, has significantly decreased the incidence of this condition in children. However, it remains a persistent threat in unvaccinated populations and can still affect adults, who often present with more subtle or atypical symptoms compared to the classic pediatric presentation.

💡 Note: Always ensure that a pediatric airway cart or surgical tracheostomy kit is immediately available whenever a patient with suspected epiglottitis is under examination.

Differential Considerations

It is important to keep an open mind during the diagnostic process. While the Thumbprint Sign Epiglottitis points clearly toward epiglottitis, other conditions can mimic these symptoms. Foreign body aspiration, severe allergic reactions causing angioedema, or even deep neck space infections can present with airway obstruction and localized swelling. Imaging helps narrow these possibilities, but the physical exam and the history of present illness are the primary tools in differentiating between these critical entities.

Medical teams should also be aware of the "False Negative" potential. Because the epiglottis may not always appear as a distinct thumbprint—especially in early stages or due to poor radiographic technique—the absence of the sign does not equate to the absence of disease. Trusting clinical instincts is paramount when diagnostic tests do not align with the patient’s physical appearance.

Recognizing the severity of acute airway inflammation is a core competency for any healthcare provider working in urgent or emergency care. The identification of the Thumbprint Sign Epiglottitis serves as a reliable marker for a medical emergency that demands a swift, multidisciplinary approach. By prioritizing patient stabilization and maintaining vigilance for the classic clinical indicators, teams can navigate the complexities of this condition effectively. Vigilance in monitoring for the “4 Ds,” combined with cautious radiological assessment and readiness for advanced airway intervention, forms the bedrock of safe and successful outcomes for patients facing this acute respiratory threat. Always remember that when the airway is at stake, time is the most valuable resource, and clinical judgment must always override standard diagnostic sequences if the patient’s condition begins to deteriorate.

Related Terms:

  • epiglottitis thumb sign
  • thumbprint sign on imaging
  • acute epiglottitis thumb sign
  • signs and symptoms of epiglottitis
  • epiglottitis x ray thumb sign
  • thumbprint sign on ct