How Thumb and Finger Sucking Affect Your Childs Teeth | Ahava Orthodontics
Mayo

How Thumb and Finger Sucking Affect Your Childs Teeth | Ahava Orthodontics

2560 × 1709 px November 23, 2025 Peter Mayo

How Thumb and Finger Sucking Affect Your Childs Teeth | Ahava Orthodontics is a high-quality image in the Mayo collection, available at 2560 × 1709 pixels resolution — ideal for both digital and print use.

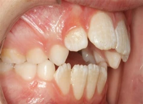
Does thumb sucking affect dental health? Learn how teeth from sucking thumb habits can lead to malocclusion, overbite, and jaw misalignment. Discover expert tips on how to stop the habit early, prevent long-term orthodontic issues, and protect your child’s dental development for a healthier, straighter smile. Early intervention is key to avoiding costly dental corrections later in life.

Image Details

TitleHow Thumb and Finger Sucking Affect Your Childs Teeth | Ahava Orthodontics
Dimensions2560 × 1709 px
CategoryMayo
PublishedNovember 23, 2025
AuthorZeus
Downloads1,857
Views531

Read full article: Teeth From Sucking Thumb

// More Images