Cleve

Symptomatic Liver Cysts

Symptomatic Liver Cysts

Finding out that you have a fluid-filled sac in your liver can be a startling experience. Most liver cysts are benign, asymptomatic, and discovered incidentally during routine imaging for other health conditions. However, when these cysts grow large enough or begin to compress surrounding structures, they transition into Symptomatic Liver Cysts. Understanding what causes these symptoms, how they are diagnosed, and when medical intervention is necessary is crucial for maintaining your long-term digestive and abdominal health.

Understanding Liver Cysts

A liver cyst is essentially a closed, sac-like pocket of tissue filled with fluid, air, gas, or other materials that develop on or within the liver. While they can occur at any age, they are most frequently identified in middle-aged adults. It is vital to distinguish between a simple, asymptomatic cyst—which often requires no treatment—and Symptomatic Liver Cysts that produce clinical manifestations requiring professional medical management.

Most simple cysts are congenital, meaning individuals are born with the propensity to develop them. However, other types, such as hydatid cysts (caused by parasitic infection) or polycystic liver disease (a genetic condition), require different management strategies. Identifying the nature of the cyst is the first step toward effective relief.

Signs and Symptoms to Watch For

Small cysts rarely cause discomfort. However, as they increase in volume and pressure, they begin to manifest as Symptomatic Liver Cysts. Patients often report localized sensations rather than systemic illness. If you experience the following, it is time to consult a gastroenterologist or hepatologist:

  • Persistent abdominal fullness or bloating: This often occurs in the upper right quadrant of the abdomen.
  • Dull, aching pain: Chronic discomfort in the right side of the rib cage.
  • Early satiety: Feeling full after eating only a small amount of food because the enlarged cyst is pressing against the stomach.
  • Nausea or vomiting: Occurring if the cyst causes significant compression of the gastrointestinal tract.
  • Jaundice: A rare symptom that occurs only if a cyst is large enough to obstruct the bile ducts.

⚠️ Note: If you experience sudden, sharp, and severe abdominal pain, seek emergency medical care immediately, as this could indicate a cyst rupture or hemorrhage.

Diagnostic Procedures

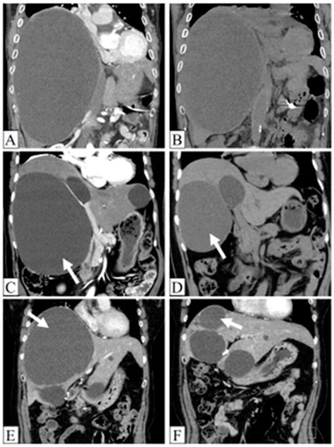
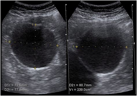
Because symptoms can overlap with other conditions like gallstones or gastric issues, diagnostic imaging is the gold standard for confirming that a patient is suffering from Symptomatic Liver Cysts. Doctors typically rely on:

Diagnostic Tool Purpose
Ultrasound Initial screening tool to detect fluid-filled sacs.
CT Scan Provides detailed cross-sectional views to determine cyst size and location.
MRI Used for complex cases to differentiate between benign cysts and rare malignant tumors.

Treatment Options for Symptomatic Liver Cysts

Once a diagnosis is confirmed, the treatment plan depends on the size of the cyst, the intensity of the symptoms, and the underlying cause. While asymptomatic cysts are typically monitored through “watchful waiting,” Symptomatic Liver Cysts often necessitate more direct action to improve the patient’s quality of life.

Non-Surgical Interventions

For patients who are not candidates for surgery, aspiration (draining the fluid) combined with sclerotherapy (injecting a substance to prevent the cyst from refilling) is an option. While this is less invasive, it has a higher rate of recurrence compared to surgical methods.

Surgical Approaches

When the cyst is large or causing severe obstruction, surgical intervention is generally the most effective long-term solution. The most common procedure is laparoscopic fenestration, often referred to as “de-roofing.” During this procedure, the surgeon removes the outer wall of the cyst, allowing the fluid to be absorbed and preventing the sac from re-accumulating fluid. This minimally invasive technique is favored for its quick recovery time and high success rate in managing Symptomatic Liver Cysts.

💡 Note: Surgical recovery typically requires several weeks of limited physical activity. Always follow the post-operative instructions provided by your surgical team to prevent complications such as bile leakage or infection.

Living with Liver Cysts

Lifestyle management is essential for patients living with, or recovering from, liver cysts. While diet does not directly “cure” a cyst, maintaining a healthy weight and supporting liver function can reduce the burden on your body. Patients are often advised to reduce alcohol intake, maintain a balanced diet rich in fiber, and ensure regular hydration.

Furthermore, consistent follow-up appointments are vital. Even after treatment, your doctor may suggest periodic imaging to ensure the cyst has not reformed. Being proactive about these check-ups ensures that any changes in the size or nature of the liver tissue are caught early, keeping you ahead of potential complications.

Final Thoughts

While the prospect of having a cyst on your liver can be worrying, it is important to remember that most are benign and manageable. The shift from a passive condition to Symptomatic Liver Cysts is typically what prompts medical intervention, and modern medicine offers highly effective, minimally invasive ways to address these symptoms. By identifying the symptoms early, utilizing accurate diagnostic tools, and following a tailored treatment plan, most patients experience significant relief and can return to their daily activities without further disruption. If you are experiencing persistent abdominal discomfort, prioritizing a consultation with a healthcare professional is the most effective path toward peace of mind and improved physical well-being.

Related Terms:

  • simple cyst on liver symptoms
  • liver cysts in women
  • do liver cysts cause pain
  • liver cyst symptoms mayo clinic
  • liver cysts pictures
  • can liver cysts cause pain