Cleve

Superior Semicircular Canal Dehiscence

Superior Semicircular Canal Dehiscence

Living with a condition that distorts how you perceive the world—quite literally—can be a disorienting and exhausting experience. One such rare yet profoundly impactful inner ear disorder is Superior Semicircular Canal Dehiscence (SSCD). Often misunderstood and frequently misdiagnosed, this condition involves the thinning or complete absence of the bone that covers the uppermost semicircular canal in the inner ear. When this bony layer is compromised, it creates a "third window" in the inner ear, leading to a host of auditory and vestibular symptoms that can significantly diminish an individual's quality of life.

Understanding the Anatomy and Physiology of SSCD

To grasp the complexities of Superior Semicircular Canal Dehiscence, one must first understand the role of the semicircular canals. These structures are vital for balance, filled with fluid that helps the brain track rotational movement. Typically, these canals are encased in solid bone. In patients with SSCD, a small opening or "dehiscence" forms in the superior canal, usually due to developmental defects or prolonged physical stress. This opening acts as a third window, allowing sound and pressure waves to interact directly with the vestibular system, which is not how the ear is designed to function.

Because the inner ear is now hyper-sensitive to pressure changes, even minor stimuli can trigger debilitating symptoms. This phenomenon is known as the third window effect, where sound energy that would normally be funneled to the cochlea for hearing is instead shunted through this abnormal opening, leading to dizziness, vertigo, and unusual auditory sensations.

Also read: Face Works Plastic Surgery & Med Spa

Common Symptoms and Clinical Presentation

The symptoms of Superior Semicircular Canal Dehiscence are often described as bizarre or even "otherworldly" by those who experience them. Because the condition affects both the auditory (hearing) and vestibular (balance) systems, patients often present with a diverse range of complaints.

  • Autophony: Hearing one's own voice, heartbeat, or even eye movements as if they are being played through a loudspeaker inside the head.
  • Sound-induced Vertigo: Experiencing dizziness or spinning sensations triggered by loud noises, such as a slamming door or a sudden shout.
  • Pressure-induced Vertigo: Vertigo triggered by changes in middle ear or intracranial pressure, such as sneezing, coughing, or straining.
  • Chronic Disequilibrium: A persistent feeling of being "off-balance" or swaying, even when standing perfectly still.
  • Hyperacusis: An increased sensitivity to certain frequencies, making everyday sounds feel painfully loud.

Diagnostic Challenges and Procedures

Diagnosing Superior Semicircular Canal Dehiscence is notoriously difficult because its symptoms frequently overlap with other conditions like Meniere’s disease, vestibular migraine, or patulous Eustachian tube. A comprehensive clinical approach is required to confirm the diagnosis.

Diagnostic Tool Purpose
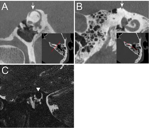
High-Resolution CT Scan Visualizing the bony opening in the temporal bone.
VEMP Testing Measuring the vestibular-evoked myogenic potential to check for sensitivity.
Audiometric Evaluation Identifying air-bone gaps despite normal middle ear function.
Clinical History Review Correlating symptom triggers with potential dehiscence.

💡 Note: A standard CT scan is often insufficient; surgeons require high-resolution, thin-cut scans specifically focused on the temporal bone to detect the minute gap in the semicircular canal.

Treatment Options: From Conservative Management to Surgery

Once a diagnosis of Superior Semicircular Canal Dehiscence is confirmed, the treatment plan depends entirely on the severity of the symptoms. For some, the condition may be mild enough to manage without invasive procedures.

Conservative management primarily focuses on lifestyle modifications to avoid known triggers:

  • Avoiding loud environments that trigger autophony or vertigo.
  • Utilizing earplugs to reduce external sound input during sensitive periods.
  • Managing pressure changes by avoiding excessive straining or heavy lifting.

If symptoms are severe or progress to the point where they interfere with daily activities, surgical intervention is considered. The most common surgical approach is canal plugging or resurfacing. During this procedure, the surgeon accesses the area—usually through the middle cranial fossa or a transmastoid approach—to seal the opening. By plugging the dehiscence, the "third window" is closed, effectively eliminating the abnormal pressure dissipation that causes symptoms.

💡 Note: Surgery for SSCD is a specialized procedure. It is imperative to consult with an otolaryngologist or a neurotologist who has extensive, documented experience specifically with temporal bone dehiscence repairs.

Living with the Condition

The journey toward managing Superior Semicircular Canal Dehiscence is often long and marked by frustration. Many patients report seeing multiple specialists before finding someone who recognizes the signs of this condition. Education is one of the most powerful tools for patients; understanding that their symptoms are real and physiologically rooted in the structure of their ear can be incredibly validating.

Support networks, both online and in person, have become essential for those living with SSCD. Connecting with others who have undergone surgical repair or who are navigating the diagnostic process can provide not only emotional comfort but also practical advice on how to navigate local healthcare systems to find qualified surgeons.

Maintaining a proactive approach to mental health is also vital. The unpredictability of vertigo and the constant noise of autophony can lead to significant anxiety. Cognitive behavioral strategies, mindfulness, and vestibular rehabilitation therapy can help manage the secondary psychological effects while patients determine if surgical intervention is the right path for them.

Addressing the challenges associated with this condition requires a multi-faceted approach, balancing medical intervention with personal lifestyle adjustments. Whether through the careful navigation of symptoms or the decision to pursue corrective surgery, individuals dealing with Superior Semicircular Canal Dehiscence can find relief. By prioritizing specialized diagnostics, seeking expert surgical consultation, and fostering a supportive environment, patients can work toward reclaiming their balance and auditory comfort. While the road to recovery may seem daunting, a clearer understanding of the anatomical origins of this condition is the first step toward effective long-term management and an improved quality of life.

Related Terms:

  • superior semicircular canal dehiscence repair
  • superior semicircular canal dehiscence icd10
  • superior semicircular canal dehiscence symptoms
  • superior semicircular canal dehiscence icd
  • superior semicircular dehiscence syndrome
  • superior semicircular canal dehiscence treatment