Cleve

Superior Labral Anterior Posterior

Superior Labral Anterior Posterior

Shoulder pain is a common complaint among athletes and active individuals, but when the discomfort is deep, aching, and interferes with overhead movements, it may point to a specific injury known as a Superior Labral Anterior Posterior lesion. Often referred to simply as a SLAP tear, this condition involves damage to the labrum—a specialized ring of cartilage that surrounds the shoulder socket—at the point where the long head of the biceps tendon attaches. Understanding this injury is crucial for anyone involved in repetitive overhead sports like baseball, tennis, or swimming, as well as those who perform heavy lifting. Because the shoulder is the most mobile joint in the body, it relies heavily on the stability provided by the labrum, making any compromise to this tissue potentially debilitating.

What Exactly is a Superior Labral Anterior Posterior Tear?

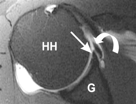
Anatomy of the shoulder showing the labrum

To grasp the severity of a Superior Labral Anterior Posterior tear, one must first visualize the shoulder anatomy. The glenoid (socket) is relatively shallow, which allows for a wide range of motion. The labrum deepens this socket, providing a stable cradle for the humerus (upper arm bone). The “superior” portion of this labrum serves as an anchor for the biceps tendon. When this area is subjected to excessive force, repetitive stress, or acute trauma, the tissue can fray, tear, or detach from the bone. The tear is described as “anterior to posterior” because it extends from the front (anterior) to the back (posterior) of this specific attachment point.

Common Causes and Risk Factors

The development of a Superior Labral Anterior Posterior lesion usually stems from either a sudden, traumatic event or chronic, repetitive wear and tear. Athletes are frequently affected, but accidental falls or heavy lifting incidents also play a major role in clinical diagnoses.

  • Repetitive Overhead Motion: Pitching a baseball, serving in tennis, or swimming long distances places chronic stress on the bicep anchor point.
  • Acute Trauma: Falling onto an outstretched arm can force the humeral head against the labrum, causing a sudden tear.
  • Heavy Lifting: Improper form during exercises like heavy bench presses or overhead presses can create enough force to damage the attachment.
  • Aging: As with many connective tissues, the labrum loses elasticity over time, making it more susceptible to fraying even with minor stress.

💡 Note: While these are common causes, a medical professional must perform physical stress tests and imaging, such as an MRI, to differentiate a SLAP tear from other shoulder issues like rotator cuff tears or impingement syndrome.

Diagnostic Procedures and Grading

Diagnosing a Superior Labral Anterior Posterior tear can be complex because the symptoms often mimic other shoulder pathologies. Physical examinations usually involve orthopedic tests, such as the O’Brien test or the Biceps Load test, which are designed to put tension on the labrum and reproduce pain. Since clinical exams have limitations, radiologists often use Magnetic Resonance Imaging (MRI) with contrast—specifically an MRA—to visualize the tear clearly.

Grade Description
Type I Fraying of the superior labrum with no detachment.
Type II Detachment of the labrum and biceps tendon from the glenoid.
Type III Bucket-handle tear of the labrum, where the middle part hangs into the joint.
Type IV Tear extending into the biceps tendon itself.

Treatment Options: Non-Surgical vs. Surgical

Treatment paths for a Superior Labral Anterior Posterior injury vary significantly depending on the patient’s age, activity level, and the severity of the tear. Many patients begin with a conservative approach, which aims to reduce inflammation and improve the mechanics of the shoulder joint.

Conservative Management

Conservative treatment is often the first line of defense, especially for Type I injuries. The primary goal is to stabilize the shoulder without invasive intervention. This includes:

  • Rest and Activity Modification: Avoiding overhead movements that trigger pain.
  • Anti-inflammatory Medications: Helping to manage localized swelling in the joint capsule.
  • Physical Therapy: Focusing on rotator cuff strengthening and scapular stabilization to relieve pressure on the labrum.

Surgical Intervention

If physical therapy fails to restore function, or if the tear is severe (typically Type II-IV), an orthopedic surgeon may recommend arthroscopic surgery. During the procedure, the surgeon cleans out frayed edges or uses sutures and anchors to reattach the torn labrum to the bone. Recovery from this surgery requires patience and strict adherence to a physical therapy protocol to ensure the labrum heals properly to the bone.

💡 Note: Post-operative rehabilitation is a long process, often taking six months or more to regain full range of motion and return to high-level athletic activity.

Preventing Shoulder Labrum Injuries

Prevention is centered on maintaining muscular balance and joint health. If your lifestyle involves heavy overhead activity, incorporating specific shoulder health exercises can significantly reduce the risk of sustaining a Superior Labral Anterior Posterior tear. Emphasize external rotation exercises for the rotator cuff, which help stabilize the humeral head within the socket, reducing the shearing force on the labrum. Furthermore, warming up properly before lifting or participating in sports increases blood flow and tissue elasticity, providing a better buffer against sudden trauma.

Ultimately, a Superior Labral Anterior Posterior tear represents a significant hurdle for any athlete, but it is not a career-ending diagnosis. By recognizing the early warning signs—such as deep shoulder pain, a clicking sensation, or a persistent feeling of weakness during overhead movements—individuals can seek prompt medical guidance. Whether the injury is managed through targeted physical therapy and biomechanical adjustments or requires arthroscopic surgical repair, the focus remains on restoring the integrity of the glenohumeral joint. Consistency in rehabilitation, professional monitoring, and a gradual return to activity are the cornerstones of ensuring long-term shoulder health and preventing the recurrence of these complex labral injuries.

Related Terms:

  • labrum slap tear symptoms
  • anterior to posterior slap tear
  • labrum shoulder slap tear
  • superior labral anterior posterior tear
  • type ii slap tear shoulder
  • anterior labral tear shoulder mri