Cleve

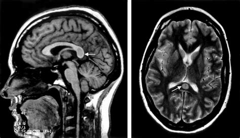
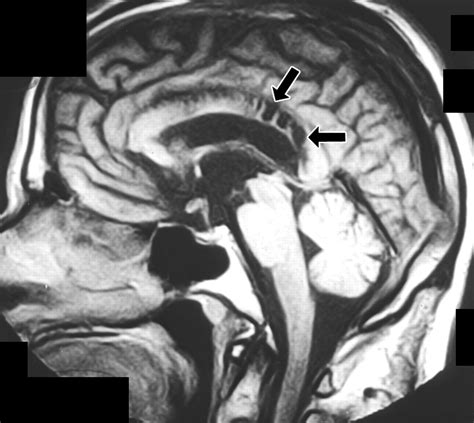
Splenium Of Corpus Callosum

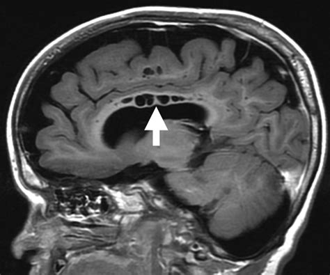
Splenium Of Corpus Callosum

The human brain is an organ of staggering complexity, acting as the command center for every thought, movement, and physiological process. Nestled deep within the architecture of the brain, connecting the two cerebral hemispheres, lies the corpus callosum. While this broad band of nerve fibers is essential for interhemispheric communication, its posterior portion, known as the splenium of corpus callosum, serves as a critical junction for high-speed information transfer, particularly between the visual and auditory processing centers. Understanding the anatomical significance and clinical implications of this specific region is vital for neurologists, radiologists, and anyone interested in the sophisticated connectivity of the human mind.

Anatomy and Structural Significance

The corpus callosum is divided into four distinct regions, moving from anterior to posterior: the rostrum, the genu, the body (or trunk), and finally, the splenium. As the most posterior and thickest part of the entire structure, the splenium of corpus callosum plays a disproportionately large role in brain function. It acts as a bridge that enables the left and right hemispheres to synchronize their activity, ensuring that the brain operates as a unified whole rather than two separate processing units.

The fibers passing through the splenium are predominantly responsible for connecting the temporal, parietal, and occipital lobes. This anatomical arrangement is crucial because these lobes are heavily involved in sensory perception. By facilitating communication between these areas, the splenium ensures that visual input—processed primarily in the occipital lobes—is integrated seamlessly with auditory information and complex sensory data from the parietal lobes.

Also read: Face Surgery Cost In Thailand

Key anatomical features of the splenium include:

  • Size: It is the largest, most rounded part of the corpus callosum.
  • Fiber Composition: Composed of white matter tracts (axons) that are heavily myelinated to allow for rapid signal conduction.
  • Proximity: It lies adjacent to the tela choroidea and the pineal gland, placing it in a delicate central position within the cranium.

Clinical Relevance and Imaging

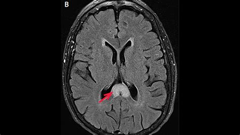
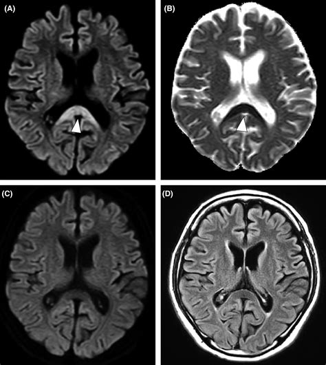
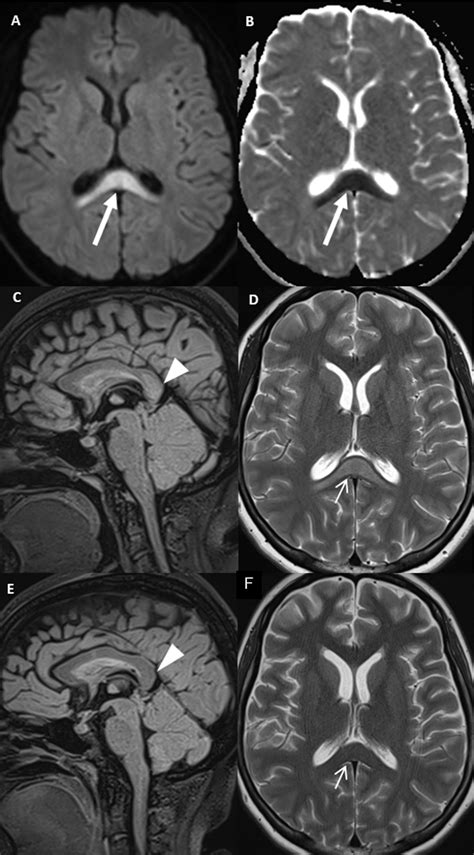
Due to its high concentration of neural pathways, the splenium of corpus callosum is a frequent area of interest in neuroradiology. Magnetic Resonance Imaging (MRI) is the gold standard for evaluating this region. Changes in the integrity of the splenium can be a marker for a variety of neurological conditions, ranging from developmental disorders to acute inflammatory processes.

When clinicians observe signal abnormalities in the splenium, they often look for what is termed "reversible splenial lesion syndrome" (RESLES). This condition often presents with acute onset of symptoms such as confusion, seizures, or vision changes, but interestingly, the lesions often resolve over time without permanent damage. This highlights the unique vulnerability and resiliency of the splenium to metabolic and inflammatory stressors.

💡 Note: While MRI scans are excellent at identifying structural abnormalities, they must always be interpreted in the context of the patient’s clinical symptoms, as incidental findings in the splenium are occasionally seen in healthy individuals.

Comparative Analysis of Callosal Regions

To better understand the specific role of the splenium, it is helpful to contrast it with the other segments of the corpus callosum. The following table provides a brief overview of how the different sections facilitate various types of brain activity.

Region Primary Function Associated Lobes
Rostrum Connects orbital surfaces of frontal lobes Frontal
Genu Connects prefrontal cortex regions Frontal
Body Connects motor and sensory cortex Frontal/Parietal
Splenium Visual and Auditory integration Occipital/Temporal

Pathologies Associated with the Splenium

Various medical conditions can directly or indirectly affect the splenium of corpus callosum. Because it is a hub of connectivity, injury or disease in this area often leads to "disconnection syndromes." In these cases, one hemisphere may be unable to "inform" the other of specific sensory data. For example, if the splenium is damaged, a person might be able to identify an object placed in their right hand, but be unable to name it if it is placed in their left hand, because the sensory input from the left hand cannot reach the language centers in the left hemisphere.

Common conditions associated with the splenium include:

  • Multiple Sclerosis (MS): Often manifests as "Dawson’s fingers," where plaques extend into the corpus callosum.
  • Marchiafava-Bignami Disease: A rare condition, typically associated with chronic alcohol consumption, that leads to necrosis of the callosum.
  • Traumatic Brain Injury (TBI): Due to the shear forces exerted during head impact, the splenium is a common site for diffuse axonal injury.
  • Infectious Processes: Viral encephalitis or other systemic infections can occasionally cause temporary lesions in the splenial region.

The Role of Myelination and Signal Speed

The efficiency of the splenium of corpus callosum relies heavily on the quality of its white matter. Myelin, the fatty sheath that insulates these nerve fibers, is what gives white matter its characteristic appearance and its high-speed transmission capabilities. In the splenium, the myelination is particularly dense. This is necessary because the visual stimuli processed in the rear of the brain are incredibly complex and demand near-instantaneous synchronization between the left and right sides of the visual field.

Developmentally, the splenium is one of the last structures to reach full myelination in the human brain, continuing to mature well into early adulthood. This late maturation is thought to be associated with the development of higher-order cognitive functions, such as executive control, social cognition, and complex problem-solving. Research indicates that the maturation of these white matter tracts correlates with improved intellectual performance and the ability to multitask effectively.

💡 Note: Lifestyle factors, including proper nutrition and regular cognitive stimulation, are essential for maintaining the health and integrity of white matter tracts, including those located within the splenium.

Future Directions in Neuro-Research

Modern neuroscience is increasingly focused on "connectomics"—the comprehensive mapping of neural connections in the brain. The splenium of corpus callosum is a central component in these connectome maps. By using techniques like Diffusion Tensor Imaging (DTI), researchers can visualize the direction and integrity of the fibers within the splenium with unprecedented clarity. This technology allows scientists to see how different brain regions are "wired" together and how these wires change in response to learning, aging, and disease.

As research progresses, we are finding that the splenium is not just a passive bridge but a dynamic participant in brain health. Some studies suggest that training the brain through meditation or complex motor tasks can actually enhance the structural integrity of callosal fibers. This suggests a degree of neuroplasticity that was previously thought to be impossible in deep white matter structures. The prospect of using targeted interventions to improve callosal connectivity offers exciting potential for treating cognitive decline and neurodevelopmental disorders.

Reflecting on the architecture of the human brain, it is clear that the splenium of corpus callosum represents far more than just a cluster of neurons. It is a vital, high-speed information gateway that ensures our sensory world remains integrated and our cognitive functions remain cohesive. Whether through its role in rapid visual processing or its susceptibility to various neurological markers, the splenium serves as a testament to the intricate balance required for human consciousness. As medical technology and imaging continue to advance, our appreciation for this small but mighty structure will likely grow, further cementing its status as an indispensable component of the brain’s massive, interconnected communication network.

Related Terms:

  • splenium of corpus callosum radiology
  • corpus callosum
  • splenium of corpus callosum infarct
  • splenium of corpus callosum ct
  • anterior corpus callosum
  • corpus callosum anatomy