Cleve

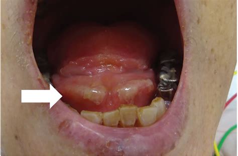
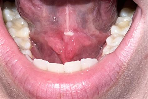
Sore Tongue Underside

Sore Tongue Underside

Dealing with a sore tongue underside can be an incredibly frustrating and painful experience. Because the tongue is a muscle used constantly for speaking, swallowing, and chewing, even a small irritation in this sensitive area can feel magnified. Whether it is a sharp, stinging sensation or a dull, throbbing ache, understanding the root cause is the first step toward finding relief. In many cases, these sores are temporary and heal on their own, but persistent pain or recurring issues require a closer look at your oral health habits and potential underlying systemic conditions.

Common Causes of a Sore Tongue Underside

The underside of your tongue is composed of thin, delicate mucous membranes that are highly susceptible to trauma and inflammation. Identifying the source of the pain often involves looking for physical triggers or internal reactions.

  • Accidental Biting: One of the most common causes of a sore tongue underside is accidentally biting your tongue while eating or sleeping. This creates a small lesion that can quickly become tender.
  • Canker Sores (Aphthous Ulcers): These are small, painful, white or yellowish ulcers surrounded by a red area. They are not contagious but can be extremely sensitive to acidic or spicy foods.
  • Oral Trauma: Sharp teeth, jagged dental fillings, or ill-fitting dental appliances like retainers can rub against the underside of the tongue, causing constant friction.
  • Nutritional Deficiencies: A lack of Vitamin B12, folate, or iron can lead to glossitis or inflammation of the tongue, which often manifests as soreness.
  • Allergic Reactions: Reactions to toothpaste, mouthwash, or certain food preservatives can trigger localized inflammation.
  • Burning Mouth Syndrome: This condition involves a chronic burning sensation in the mouth, which may be more pronounced on the tongue or its underside.

Differentiating Between Common Tongue Irritations

Not every sore is the same. Recognizing the characteristics of your pain can help you decide if you need to consult a healthcare professional. Use the following table to compare common issues:

Condition Appearance Duration
Canker Sore White/Yellow center, red border 1–2 weeks
Trauma Raw, red, or bruised patch 3–5 days
Oral Thrush White, creamy patches Requires treatment
Glossitis Smooth, swollen, red surface Variable

⚠️ Note: If you notice a growth, a lump, or an ulcer that does not heal within two weeks, it is essential to see a dentist or doctor to rule out oral cancer or other serious medical conditions.

Immediate Relief Strategies

When you are suffering from a sore tongue underside, your primary goal is to minimize pain and promote healing. Here are several effective ways to manage the discomfort at home:

  • Salt Water Rinses: Mix half a teaspoon of salt into a glass of warm water. Swish the solution around your mouth for 30 seconds and spit it out. This acts as a natural disinfectant and helps reduce inflammation.
  • Avoid Irritating Foods: Steer clear of acidic foods (citrus, tomatoes), spicy dishes, and overly salty snacks until the area heals.
  • Stay Hydrated: Drinking plenty of water helps keep the mouth moist, preventing dryness which can exacerbate the pain of an existing sore.
  • Ice Chips: Sucking on small ice chips can provide temporary numbing relief for the inflamed area.
  • Over-the-Counter Treatments: Topical gels or oral rinses containing benzocaine or hydrogen peroxide can create a protective barrier over the sore and accelerate the healing process.

💡 Note: Always consult with a pharmacist or healthcare provider before starting any new topical medication to ensure it is suitable for your specific type of oral sore.

When to Seek Professional Medical Help

While most cases of a sore tongue underside are minor, there are specific signs that indicate you should schedule an appointment with your dentist or primary care physician. Do not ignore symptoms such as:

  • Sores that persist for longer than two weeks.
  • Difficulty swallowing, chewing, or speaking that interferes with your daily life.
  • Unexplained bleeding from the tongue.
  • Recurring sores that appear frequently, which could indicate a systemic issue like autoimmune conditions or gastrointestinal problems.
  • Signs of infection, such as fever, persistent bad breath, or the presence of pus.

In a clinical setting, a professional may perform a biopsy if they suspect an abnormal growth, or they might recommend blood tests to check for vitamin deficiencies or hormonal imbalances. Early intervention is the most effective way to prevent minor irritations from developing into chronic or severe health concerns.

Maintaining Long-Term Oral Health

Preventing a sore tongue underside often comes down to consistent oral hygiene and lifestyle choices. A healthy mouth is far more resilient to the minor traumas that lead to sores. Practice good oral hygiene by brushing twice daily with a soft-bristled toothbrush to avoid scratching the delicate tissues of the mouth. Additionally, consider switching to a "SLS-free" (sodium lauryl sulfate) toothpaste if you find that you get frequent canker sores, as this ingredient is known to trigger sensitivity in many individuals.

Managing your diet is also vital. Reducing intake of high-sugar and highly processed foods can lower your risk of systemic inflammation. Focus on a balanced diet rich in iron, Vitamin B, and zinc to support tissue repair. If you suffer from frequent stress, finding healthy outlets is also beneficial, as stress is a well-documented trigger for the development of mouth ulcers and other oral issues. By staying vigilant and proactive, you can ensure that your tongue stays healthy and pain-free, allowing you to enjoy your meals and conversations without discomfort.

Ultimately, addressing a sore tongue underside involves a combination of patience, proper hygiene, and keen observation. Most irritations stem from minor physical trauma or environmental factors that subside naturally with a bit of extra care and dietary adjustments. By utilizing gentle oral rinses, avoiding harsh chemical triggers, and maintaining a nutrient-dense diet, you provide your body with the best environment for healing. Should the pain persist or show concerning characteristics, reaching out to a dental professional remains the safest course of action. Prioritizing your oral health is not just about keeping your teeth clean, but about ensuring the entire oral cavity remains functional and comfortable, preventing minor sores from ever becoming a recurring burden on your daily quality of life.

Related Terms:

  • painful blister under tongue
  • treatment for sore under tongue
  • under your tongue pictures
  • white sore under tongue painful
  • why does my tongue hurt
  • painful pimple under tongue