Cleve

Slightly Chipped Tooth

Slightly Chipped Tooth

Finding a slightly chipped tooth while running your tongue over your smile can be an unsettling experience. Whether it happened while crunching on ice, during a light sports mishap, or seemingly out of nowhere, the first instinct is often panic. However, it is important to remember that most minor chips are common and highly treatable. Understanding the severity of the damage and knowing the immediate steps to take can prevent further injury and preserve the health of your tooth for years to come.

Understanding the Causes of a Slightly Chipped Tooth

Teeth are remarkably strong, but they are not invincible. Enamel, the protective outer layer of your tooth, can become brittle over time due to various stressors. A slightly chipped tooth is rarely the result of a single catastrophic event; rather, it is often the culmination of cumulative wear and tear combined with a specific trigger.

Common culprits include:

  • Hard Foods: Biting down on popcorn kernels, ice cubes, or hard candies.
  • Dental Habits: Using your teeth as tools to open packages or rip tags.
  • Bruxism: Grinding your teeth while you sleep can weaken the structure, making them prone to fracturing under minimal pressure.
  • Oral Trauma: Accidental falls or impacts during contact sports.
  • Aging: As we age, the structural integrity of dental enamel naturally decreases.

Immediate Action Steps When You Notice a Chip

If you have identified a slightly chipped tooth, your primary goal is to minimize damage and prevent potential infection. The following steps should be taken as soon as you notice the injury:

  1. Rinse your mouth: Use warm saltwater to clean the area and remove any loose fragments.
  2. Save the fragment: If the piece is large enough, keep it in a small container of milk or saliva. In some cases, a dentist can reattach the original fragment.
  3. Manage discomfort: If the edge is sharp, apply a small amount of dental wax (available at most drugstores) to prevent it from cutting your tongue or cheek.
  4. Avoid pressure: Steer clear of biting with that tooth until you have been evaluated.
  5. Schedule an appointment: Even if the chip feels purely cosmetic, it is essential to have a professional assess if the dentin or pulp has been compromised.

⚠️ Note: If you experience persistent sensitivity to heat or cold, or if the tooth is throbbing, seek professional dental care immediately, as this could indicate nerve damage.

Treatment Options for Cosmetic and Structural Repair

When you visit the dentist, they will determine the best course of action based on the size and location of the chip. Modern dentistry offers several aesthetic and functional solutions to restore your smile.

Procedure Best For Durability
Dental Bonding Small, minor chips 3–10 years
Porcelain Veneers Visible, front-facing chips 10–15 years
Dental Crowns Larger chips affecting structure 15+ years
Contouring Very minor, jagged edges Permanent

Preventive Care to Avoid Future Chips

Prevention is always better than cure. Once you have addressed your slightly chipped tooth, implementing a few lifestyle changes can significantly reduce the risk of future dental fractures. Consistency is key when it comes to long-term oral health.

  • Wear a Mouthguard: If you grind your teeth at night or participate in sports, a custom-fitted mouthguard is an essential investment.
  • Mind Your Diet: Avoid chewing on non-food items like pens or ice.
  • Regular Check-ups: Bi-annual dental exams allow your dentist to identify weak enamel or micro-fractures before they evolve into noticeable chips.
  • Address Existing Decay: Cavities weaken the structural integrity of teeth, making them much more likely to break under pressure.

💡 Note: Investing in a high-quality night guard can often save you thousands of dollars in restorative dental work by protecting your enamel from the forces of bruxism.

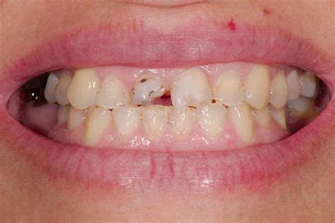
When a Chip Becomes a Dental Emergency

While a slightly chipped tooth is usually a non-urgent cosmetic issue, there are instances where the situation requires immediate intervention. If the chip has exposed the inner layer of the tooth—known as the dentin—or the pulp (where the nerves are located), you may feel sharp pain or sensitivity. You should treat the situation as an emergency if you notice:

  • Significant bleeding from the gum line.
  • The tooth appears to be loose or shifted.
  • Any signs of infection, such as swelling or a small pimple-like bump on the gums.
  • The chip is deep enough that you can see a pink or red spot in the center of the tooth.

If you encounter these symptoms, avoid over-the-counter painkillers that contain blood-thinning properties if you are planning to have dental work done shortly, and head straight to an emergency dentist. Time is of the essence when the integrity of the tooth pulp is at risk, as rapid treatment can often save the tooth from needing a root canal.

Dealing with a slightly chipped tooth is a common experience, but it is one that requires a measured and proactive approach. By monitoring your symptoms, following the recommended temporary measures, and consulting with a dental professional for a long-term solution, you can ensure that your smile remains healthy and aesthetically pleasing. Whether your dentist recommends simple cosmetic bonding or a protective veneer, the most important takeaway is that modern dental techniques make it easier than ever to restore your tooth to its original form. By practicing good oral hygiene and protecting your teeth from unnecessary mechanical stress, you can mitigate the risks of future fractures and maintain a confident, bright smile for years to come.

Related Terms:

  • slightly chipped tooth repair cost
  • dangers of chipped tooth
  • very small chip in tooth
  • slightly chipped tooth no pain
  • will chipped tooth heal
  • fixing a slightly chipped tooth