Radiology Signs
Cleve

Radiology Signs

1200 × 1243 px May 21, 2025 Peter Cleve

Radiology Signs is a high-quality image in the Cleve collection, available at 1200 × 1243 pixels resolution — ideal for both digital and print use.

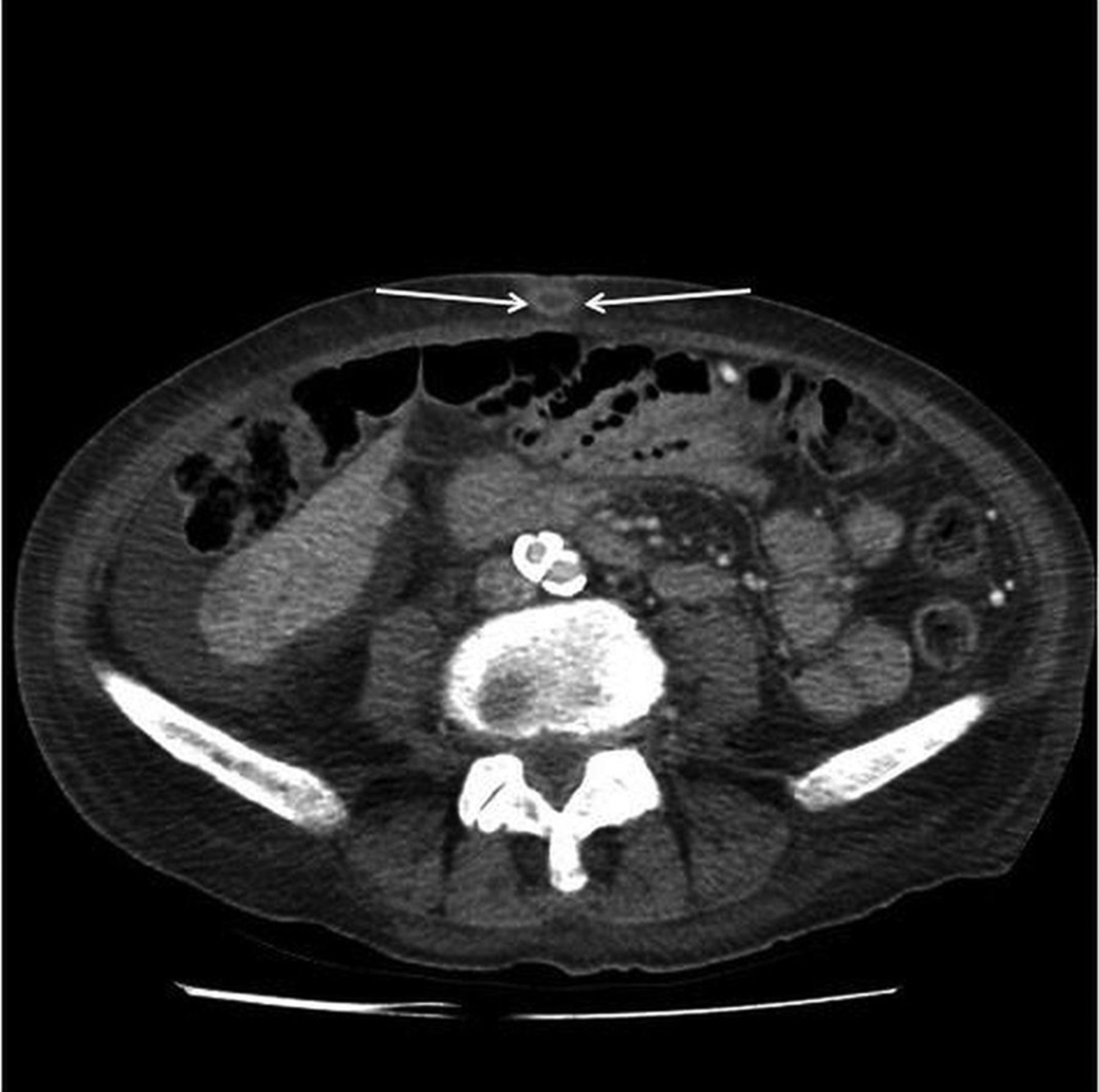
Learn about the Sister Mary Joseph sign, a rare clinical finding indicating metastatic abdominal or pelvic malignancy. Discover how this umbilical nodule serves as a vital diagnostic marker for advanced cancer, its underlying pathophysiology, and why identifying this physical sign is critical for prompt oncology evaluation and effective patient care planning.

Image Details

TitleRadiology Signs
Dimensions1200 × 1243 px
CategoryCleve
PublishedMay 21, 2025
AuthorZeus
Downloads1,106
Views1,649

Read full article: Sister Mary Joseph Sign

// More Images