Cleve

Sister Mary Joseph Nodule

Sister Mary Joseph Nodule

The human body often communicates the presence of underlying systemic disease through subtle, external indicators that can easily be overlooked. Among these clinical signs, the Sister Mary Joseph Nodule stands out as a rare but highly significant physical manifestation. Named after a surgical assistant to Dr. William Mayo, this clinical sign typically presents as a palpable, firm nodule located at the umbilicus. It serves as a stark warning sign, often indicating an advanced, metastatic malignancy originating from within the abdominal or pelvic cavities. Recognizing this nodule early is crucial, as it often alters the trajectory of patient care and diagnostic urgency.

Understanding the Clinical Presentation

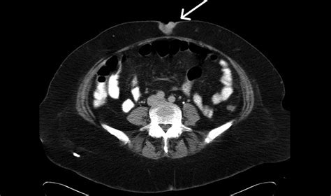
Clinical examination of the abdomen

The Sister Mary Joseph Nodule is not a primary skin condition but rather a secondary metastasis. Patients typically present with a painless or occasionally tender umbilical mass that has developed over weeks or months. Because the umbilicus is a relatively non-distinctive area of the body, patients may initially mistake these lumps for common benign conditions such as hernias or granulomas. However, clinical characteristics that raise suspicion include:

  • Hard, irregular texture: Unlike soft umbilical hernias, these nodules are typically firm or fixed.
  • Discoloration: The overlying skin may appear erythematous, violaceous, or even ulcerated as the mass grows.
  • Rapid growth: Any umbilical growth that appears suddenly in an adult should be treated as suspicious.
  • Discharge: Some patients may report serosanguinous or purulent drainage from the navel.

Pathophysiology: How Metastasis Occurs

The development of a Sister Mary Joseph Nodule occurs through the spread of cancer cells from primary sites to the periumbilical region. There are several proposed mechanisms by which these cells reach the umbilicus, including:

  • Hematogenous spread: Cancer cells traveling through the bloodstream to the vascular-rich umbilical tissue.
  • Lymphatic spread: Malignant cells migrating through the lymphatic channels that drain the abdominal viscera.
  • Direct peritoneal extension: Cells seeding along the round ligament of the liver or the urachus.
  • Iatrogenic spread: In rare cases, cancer cells may be seeded during surgical procedures such as laparoscopy.

Common Primary Sites of Origin

A Sister Mary Joseph Nodule is most frequently associated with gastrointestinal or gynecological cancers. Because the umbilicus acts as a "hub" for various abdominal drainage pathways, it can serve as a repository for metastatic deposits from several distant organs. The following table illustrates the most common sources of primary malignancy that lead to this specific clinical finding:

Primary Organ System Common Malignancies
Gastrointestinal Gastric cancer, Colorectal cancer, Pancreatic cancer
Gynecological Ovarian cancer, Endometrial cancer
Other Breast cancer, Unknown primary site

⚠️ Note: Because the nodule represents Stage IV disease, the identification of a Sister Mary Joseph Nodule carries a poor prognosis, making the identification of the primary tumor a high priority for palliative care planning.

Diagnostic Approach and Management

When a physician identifies a suspected Sister Mary Joseph Nodule, the diagnostic pathway must be systematic and rapid. The goal is to confirm the diagnosis of malignancy and locate the primary source of the cancer. Typical diagnostic steps include:

  • Physical Examination: A comprehensive assessment of the abdomen to check for ascites, organomegaly, or palpable masses.
  • Imaging Studies: A Contrast-enhanced CT scan of the abdomen and pelvis is the gold standard for identifying the primary tumor site and assessing the extent of metastatic disease.
  • Biopsy: Fine-needle aspiration (FNA) or an excisional biopsy of the umbilical nodule is essential for histological confirmation and immunohistochemical analysis.
  • Laboratory Tests: Serum tumor markers, such as CEA or CA-125, may be ordered depending on the suspected primary site.

💡 Note: Always ensure the patient is informed about the serious nature of the biopsy results, as the finding of this nodule almost universally confirms an advanced stage of cancer.

The Importance of Early Recognition

While the presence of this nodule is associated with advanced disease, its early recognition is vital. Often, a Sister Mary Joseph Nodule is the first physical symptom that brings a patient to medical attention. By identifying the nodule, doctors can avoid unnecessary exploratory surgeries and instead focus on diagnostic imaging that confirms the location of the primary cancer. This approach minimizes patient discomfort and allows for the implementation of chemotherapy, radiation, or palliative strategies without delay. Furthermore, understanding the vascular and lymphatic anatomy behind this sign reminds practitioners that the umbilicus is a significant diagnostic window into the health of the internal abdominal organs.

In summary, the Sister Mary Joseph Nodule remains a rare but critical clinical indicator that links cutaneous findings to internal malignancy. While it typically signals an advanced stage of disease—most commonly arising from the gastrointestinal or gynecological tracts—its role in diagnosis cannot be overstated. By maintaining a high index of suspicion for any unexplained umbilical mass, clinicians can ensure that patients receive appropriate diagnostic evaluations. Though the prognosis associated with this sign is generally guarded, the clarity provided by its identification allows for better clinical decision-making, helping medical teams provide focused, empathetic, and effective care tailored to the patient’s specific oncological needs. Vigilance in observing such clinical signs continues to be a cornerstone of effective physical diagnosis in modern medicine.

Related Terms:

  • sister mary joseph nodes
  • mary joseph nodule umbilicus
  • periumbilical lymph nodes
  • sister mary joseph nodule history
  • st mary's node
  • sister mary joseph nodule ultrasound