Rp

Silent Sinus Syndrome

Silent Sinus Syndrome

When you appear in the mirror, do you note a subtle dissymmetry in your expression that wasn't there before? Perhaps one eye appears slightly sunken or lower than the other, yet you sense no hurting or distinctive mark of infection. This peculiar set of symptoms is oftentimes the hallmark of Silent Sinus Syndrome (SSS), a rare but clinically significant condition that frequently fly under the radar. Unlike traditional sinusitis, which is characterize by intense facial pressure, discharge, and ague pain, this condition earns its name because it progresses stealthily, often without the patient realizing the fundamental structural changes occurring within their maxillary sinus.

Understanding Silent Sinus Syndrome

Understood Sinus Syndrome, medically concern to as chronic maxillary atelectasis, imply the spontaneous collapse of the maxillary sinus wall. It typically affects only one side of the face. The process commence with the obstruction of the fistula ostium - the small opening that allows the fistula to drain and vent. When this gap becomes chronically blocked, the air inside the fistula is absorb by the mucosal lining, creating a negative pressing vacancy. Over clip, this void pulls the bony walls of the sinus inward, leading to a recognizable alteration in facial appearance.

Because the condition is "silent", patients much dismiss the former signs. It is most commonly name in salubrious adult who have no prior account of chronic sinusitis or important nasal harm. Understand the mechanics behind the collapse is crucial, as it assist recognize this precondition from other orbital or sinus-related pathologies.

Primary Symptoms to Monitor

The procession of the syndrome is gradual, signify the physical changes frequently go unnoticed until they become visually seeming. If you suspect you are dealing with Silent Sinus Syndrome, watch for these common clinical mark:

  • Enophthalmos: A obtrusive sinking of the eyeball into the orbit, caused by the retraction of the sinus roof (which function as the floor of the eye socket).
  • Hypoglobus: The orb sit at a lower level than its counterpart, contributing to facial asymmetry.
  • Facial Asymmetry: A flattening of the cheek area on the touched side.
  • Two-fold Vision (Diplopia): In more modern cause, the change in eye position can interfere with ocular alignment.
  • Minimum Nasal Symptoms: Unlike distinctive sinusitis, patient seldom account extravagant mucus or knockout hurting.

⚠️ Note: While most causa are painless, any sudden modification in sight or severe opthalmic hurting should be evaluated by a healthcare professional immediately to decree out other ocular emergencies.

The Diagnostic Process

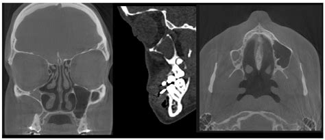
Diagnose this stipulation postulate a specialized approach, as it is easy mistaken for other subject. Physician typically postdate a multi-step process to support the structural collapse. Tomography is the gold measure for diagnosing. A Computed Tomography (CT) scan will distinctly reveal the inward obeisance of the fistula wall, a atrophied fistula book, and the obstacle of the ostium. Below is a comparison of how this status differs from distinctive continuing sinusitis.

Feature Chronic Sinusitis Silent Sinus Syndrome
Symptom Hurting, press, emission Asymmetry, sunken eye
Fistula Volume Oft expand or normal Reduced/Collapsed
Bony Walls Inspissate or kindle Thin and retract
Pain Level Moderate to High Normally Absent

Treatment Options and Surgical Intervention

Because the condition is driven by structural mechanical failure, cautious treatment like pinched spray or antibiotic are commonly ineffective. The chief objective of intervention is to reconstruct normal airing to the maxillary sinus and, in some instance, to rebuild the orbital floor to castigate the ornamental deformity.

The standard surgical approach is a functional endoscopic sinus or (FESS). During this function, the surgeon restore the noticeability of the fistula ostium. By open the plugged pathway, the negative press is relieved, preventing further inward collapse of the sinus wall. For patients where the enophthalmos is austere or causes optic disturbances, orbital floor reconstruction may also be performed, either concurrently or as a secondary procedure.

Recovery clip for endoscopic routine are broadly quick, though patient must follow post-operative attention pedagogy cautiously to ensure the freshly opened footpath remains patent. Veritable follow-ups are crucial to supervise the sinus bulk and ensure the stabilization of the facial structure.

Risk Factors and Who Is at Risk

While the precise grounds for the initial stoppage of the sinus ostium continue a subject of research, sure component may increase susceptibility. It is essential to see that this stipulation does not separate by sex, though it is most oft name in patients between their 30s and 50s. While some may have a history of mild, intermittent sinus over-crowding, many have no discernible chronicle at all. The deficiency of clear, causative "trigger" is just what makes the syndrome so difficult to predict or prevent.

Managing Long-Term Expectations

Go with the intuition of a structural sinus issue can be anxiety-inducing, but prognosis for those diagnose with Silent Sinus Syndrome is generally excellent once treated. Early interposition is the most effective way to prevent lasting changes to the orbital storey. Once the fistula is air, the process of retraction typically quit. While the cosmetic changes may not e'er reverse completely on their own, the surgical correction often rejuvenate both the use of the sinus and the aesthetic appearing of the expression.

If you or a loved one remark a change in facial proportion or a sunken eye, do not pause to attempt an rating from an Ear, Nose, and Throat (ENT) specialist. An ENT will be capable to perform a adenoidal endoscopy or order the necessary imaging to ply pellucidity. By address the unbalance early, you ascertain that the "understood" nature of the syndrome does not lead to long-term complications.

Remain vigilant about changes in your facial anatomy is a uncomplicated but effective way to keep long-term health. Silent Sinus Syndrome serve as a monitor that the health of our sinuses is intrinsically linked to the delicate structure of our look and eyes. By understanding the warning mark and the importance of professional diagnosing, you can navigate these concerns with assurance. Always prioritize imaging and expert interview over self-diagnosis when dealing with structural change in your facial lineament, as apropos aesculapian intervention is the most reliable itinerary to convalescence and functional health.

Related Terms:

  • symptoms of understood sinus syndrome
  • is tacit sinus syndrome life-threatening
  • tacit fistula syndrome nhs
  • silent sinus syndrome handling
  • silent fistula syndrome nhs treatment
  • what is silent sinusitis