Cleve

Right To Left Shunt

Right To Left Shunt

Understanding the complexities of the human circulatory system is essential for recognizing how oxygenated and deoxygenated blood interact. Under normal physiological conditions, the heart pumps blood in a highly organized circuit: deoxygenated blood travels to the lungs for gas exchange, returns as oxygenated blood, and is then distributed to the rest of the body. A Right To Left Shunt represents a significant disruption to this pathway. When this occurs, blood bypasses the pulmonary circulation—the lungs—entirely, moving directly from the right side of the heart to the left side. Because this blood has not been oxygenated, it introduces deoxygenated blood into the systemic circulation, which can have profound clinical implications.

Understanding the Mechanics of a Right To Left Shunt

Cardiovascular health concept

In a healthy individual, the pressure in the left side of the heart is significantly higher than in the right side. This pressure gradient ensures that blood flows forward and does not move backward or across the septum. A Right To Left Shunt typically develops when anatomical defects allow blood to follow the path of least resistance or when pulmonary resistance becomes so elevated that it forces blood across these abnormal connections.

The primary consequence of this shunt is hypoxemia, or low blood oxygen levels. Since the blood is not passing through the alveoli in the lungs to receive oxygen, the arterial blood leaving the heart remains relatively low in oxygen saturation. This phenomenon is often the underlying cause of cyanosis, a clinical condition where the skin and mucous membranes take on a bluish tint due to the presence of deoxygenated hemoglobin.

Common Causes and Etiology

There are several congenital and acquired conditions that can lead to this phenomenon. Recognizing these underlying structural abnormalities is the first step toward effective diagnosis and management. The most frequent causes include:

  • Tetralogy of Fallot: One of the most common congenital heart defects involving a combination of pulmonary stenosis, ventricular septal defect, overriding aorta, and right ventricular hypertrophy.
  • Transposition of the Great Arteries: A condition where the aorta and pulmonary artery are swapped, causing systemic and pulmonary circulations to run in parallel rather than in series.
  • Patent Foramen Ovale (PFO): An opening between the atria that fails to close after birth, which can sometimes allow for transient shunting under specific pressure changes.
  • Eisenmenger Syndrome: A state where a pre-existing left-to-right shunt (like a large VSD) leads to pulmonary hypertension, eventually reversing the flow to a Right To Left Shunt.
  • Tricuspid Atresia: The complete absence of the tricuspid valve, necessitating an abnormal pathway for blood to reach the lungs.

Clinical Presentation and Diagnostic Approaches

Patients experiencing this circulatory issue often present with symptoms that reflect the body’s struggle to maintain adequate oxygen delivery. Common signs include exercise intolerance, shortness of breath, and clubbing of the fingers or toes. In severe cases, infants may appear blue (cyanotic) shortly after birth.

Diagnostic imaging and testing are crucial for confirming the presence and severity of the shunt. Clinicians typically utilize the following tools:

Diagnostic Tool Purpose
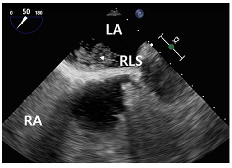
Echocardiography Visualizes blood flow and identifies structural septal defects.
Pulse Oximetry Measures oxygen saturation levels in peripheral blood.
Cardiac Catheterization Measures intracardiac pressures and confirms the shunt pathway.
Bubble Study Uses agitated saline to track the movement of bubbles across heart chambers.

⚠️ Note: A bubble study is particularly effective at identifying a PFO or atrial septal defect, as the microbubbles act as a contrast agent that can be easily visualized crossing the septum on an echocardiogram.

Management Strategies

The management of a Right To Left Shunt depends heavily on the severity of the symptoms and the underlying structural cause. In many pediatric cases, surgical intervention is the gold standard. Procedures aim to either close the septal defect or reroute the great vessels to restore normal circulation. For patients with milder symptoms or those who are not candidates for surgery, medical management focuses on optimizing oxygenation and monitoring for potential complications such as stroke or endocarditis.

Lifestyle modifications, such as avoiding strenuous activity that might trigger a hypertensive crisis in those with specific shunts, may also be recommended. Regular follow-ups with a cardiologist are vital to track any shifts in intracardiac pressures or the progression of associated conditions like pulmonary hypertension.

Long-term Outlook and Considerations

Advancements in medical imaging and surgical techniques have significantly improved the prognosis for patients with congenital shunts. Early detection is paramount. When identified in infancy, many of these conditions can be corrected before they lead to permanent damage in the pulmonary vasculature or long-term heart failure. However, even with successful correction, patients often require lifelong monitoring to manage potential late-onset arrhythmias or valve issues.

It is also important for healthcare providers to remain vigilant regarding “silent” shunts. Conditions like a PFO, which might be asymptomatic in younger, healthy individuals, can become clinically significant later in life. Understanding the hemodynamic implications of blood flow that bypasses the lungs allows for better patient stratification and risk assessment in clinical practice.

In wrapping up this overview, it is clear that the Right To Left Shunt is a complex cardiovascular issue that requires a sophisticated understanding of heart anatomy and pressure dynamics. By bypassing the pulmonary circuit, these shunts fundamentally alter how the body manages oxygen distribution, leading to the characteristic hypoxemia and cyanosis observed in clinical settings. Whether driven by congenital defects like Tetralogy of Fallot or acquired conditions such as Eisenmenger syndrome, the management path is almost always individualized, emphasizing the importance of early diagnostic imaging like echocardiograms and, when necessary, timely surgical intervention. As diagnostic technologies continue to evolve, the ability to identify these shunts early remains the most effective strategy for ensuring long-term health and preventing the secondary complications that arise from persistent systemic hypoxemia.

Related Terms:

  • right to left shunt symptoms
  • right to left shunt stroke
  • right to left shunting meaning
  • pulmonary right to left shunt
  • right to left extracardiac shunt
  • right to left shunt adult