Retinal Detachment: Causes & How to Get Treatment | NVISION Eye Centers
Cleve

Retinal Detachment: Causes & How to Get Treatment | NVISION Eye Centers

6036 × 3700 px December 7, 2025 Peter Cleve

Retinal Detachment: Causes & How to Get Treatment | NVISION Eye Centers is a high-quality image in the Cleve collection, available at 6036 × 3700 pixels resolution — ideal for both digital and print use.

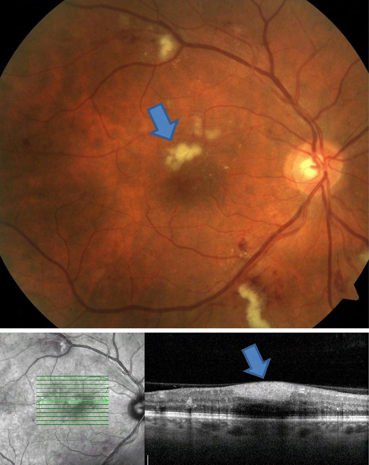
Learn to recognize the early retinal tear symptoms to prevent permanent vision loss. Discover critical warning signs like sudden flashes of light, increased eye floaters, and peripheral shadows. Understanding these ocular changes is essential for timely medical intervention. Read our expert guide to protect your eye health and know when to seek emergency treatment for a retinal detachment.

Image Details

TitleRetinal Detachment: Causes & How to Get Treatment | NVISION Eye Centers
Dimensions6036 × 3700 px
CategoryCleve
PublishedDecember 7, 2025
AuthorZeus
Downloads1,994
Views304

Read full article: Retinal Tear Symptoms

// More Images