Cleve

Remove Hardened Plaque At Home

Remove Hardened Plaque At Home

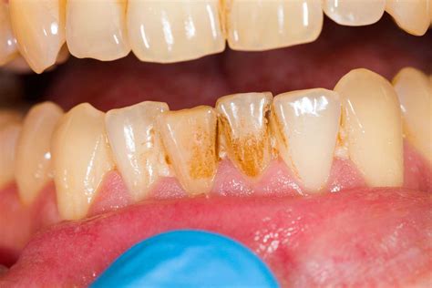
Maintaining a healthy smile is about more than just aesthetics; it is a fundamental aspect of your overall physical health. Many people find themselves searching for ways to remove hardened plaque at home because they notice that persistent, yellowish-brown substance clinging to their teeth near the gumline. This hardened substance, scientifically known as dental calculus or tartar, is essentially mineralized plaque. Once it hardens, it becomes firmly attached to the enamel, making it nearly impossible to remove with a standard toothbrush or dental floss. Understanding how to manage this buildup and prevent further accumulation is essential for anyone looking to maintain oral hygiene between professional dental cleanings.

Understanding the Difference Between Plaque and Tartar

To address the issue effectively, you must first recognize the stage of your dental buildup. Plaque is a soft, sticky film of bacteria that forms on teeth throughout the day. If you brush and floss regularly, you can easily remove it. However, if plaque is left undisturbed, it reacts with minerals in your saliva and calcifies into tartar. Unlike plaque, tartar is porous and acts as a magnet for more bacteria, which can lead to gum inflammation, bleeding, and eventually, periodontal disease.

It is important to understand that you cannot manually "scrape" away hardened tartar at home without risking significant damage to your tooth enamel or gum tissue. Using metal tools or sharp objects can cause micro-abrasions that make your teeth even more susceptible to future plaque buildup and decay.

Effective At-Home Maintenance Strategies

While professional scaling by a dental hygienist is the only way to completely eliminate existing hardened calculus, you can prevent new buildup and slowly manage minor plaque accumulation by upgrading your daily routine. By focusing on consistency, you create an environment where bacteria cannot thrive.

  • Switch to an Electric Toothbrush: Clinical studies have shown that oscillating-rotating electric toothbrushes are significantly more effective at removing plaque than manual brushes, preventing it from hardening in the first place.
  • Use Tartar-Control Toothpaste: Look for products containing ingredients like pyrophosphates or zinc citrate, which are specifically designed to inhibit the mineralization process.
  • Floss Daily: Plaque thrives in the tight spaces between teeth where bristles cannot reach. If you struggle with traditional floss, water flossers are highly recommended for dislodging debris.
  • Monitor Your Diet: Reduce the intake of sugary and starchy snacks, which provide the fuel that bacteria need to produce the acids that eventually lead to tartar formation.

⚠️ Note: Avoid using home remedies like vinegar or lemon juice to remove tartar. The high acidity can permanently erode your tooth enamel, leading to extreme sensitivity and increased risk of cavities.

Comparison of Oral Hygiene Tools

Tool Effectiveness Against Plaque Best Used For
Manual Toothbrush Moderate General cleaning for those with proper technique
Electric Toothbrush High Deep cleaning and plaque disruption
Water Flosser High Cleaning between teeth and gum health
Antiseptic Mouthwash Low (Supportive only) Killing bacteria and freshening breath

Why Professional Intervention is Necessary

There is a dangerous misconception that you can perform your own dental scaling. The professional tools used by hygienists are designed to vibrate at ultrasonic speeds or have precision-calibrated edges to remove calculus without damaging the tooth structure. When you attempt to remove hardened plaque at home with improvised tools, you risk damaging the cementum—the outer layer of your tooth root—and causing unnecessary trauma to your gums. This can lead to gum recession, where the tissue pulls away from the tooth, exposing sensitive roots.

Think of professional cleaning as a "reset button" for your oral hygiene. Once the hygienist clears away the hardened deposits, your daily cleaning methods become effective again. If you keep the surfaces clean, you prevent the cycle of calcification from restarting.

💡 Note: If you notice persistent bleeding while brushing, do not ignore it. This is often a sign of gingivitis, and professional intervention is required to stop the progression to more severe gum disease.

Building a Preventative Lifestyle

Prevention is the most powerful tool in your arsenal. Beyond brushing and flossing, consider these lifestyle adjustments to keep your mouth cleaner for longer:

  • Drink Water After Meals: Rinsing your mouth with plain water helps neutralize acids and dislodge food particles that contribute to plaque development.
  • Chew Sugar-Free Gum: Chewing xylitol-based gum stimulates saliva flow, which is the mouth’s natural defense mechanism against plaque buildup.
  • Eat Crunchy Fruits and Vegetables: Apples, carrots, and celery act as natural "scrubbers" that can help physically dislodge plaque before it hardens.
  • Stay Hydrated: A dry mouth is a breeding ground for bacteria. Keeping your body hydrated ensures your salivary glands function optimally.

Taking control of your dental health requires a mix of diligence and realistic expectations. While you can significantly impact your oral health by choosing the right tools—such as electric toothbrushes and effective mouthwashes—you must acknowledge the physical limitations of at-home care when it comes to existing, calcified deposits. By maintaining a strict daily regimen that focuses on plaque disruption and dietary awareness, you prevent the environment that allows tartar to form. Ultimately, regular professional cleanings remain the gold standard for maintaining a healthy, tartar-free smile. Consistency in your routine is the most reliable way to ensure that your next visit to the dentist is a routine check-up rather than a restorative procedure, keeping your teeth strong and your gums protected for years to come.

Related Terms:

  • hard plaque removal at home
  • remove plaque from teeth yourself
  • how to remove plaque yourself
  • teeth plaque removal at home
  • can i remove plaque myself
  • picking plaque off teeth