Cleve

Receding Gum On One Tooth

Receding Gum On One Tooth

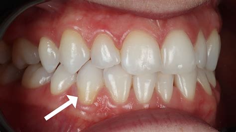
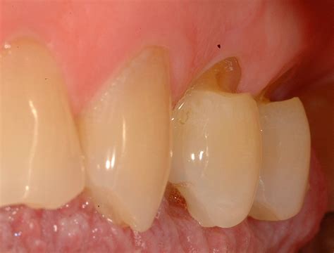
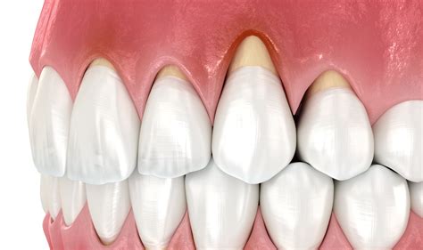
Discovering a receding gum on one tooth can be a jarring experience. You might be brushing your teeth one morning, only to notice that one particular tooth looks longer than the others, or perhaps you feel a sudden, sharp sensitivity when drinking cold water. While it is common to panic when you notice changes in your oral health, understanding why this happens is the first step toward effective management and treatment. Gum recession is a condition where the gum tissue surrounding a tooth pulls away, exposing the root surface beneath. When this happens to a single tooth, it often signals localized trauma or specific hygiene habits that need to be addressed promptly to prevent further damage.

Why Does Gum Recession Occur on Only One Tooth?

Unlike generalized gum disease (periodontitis), which often affects the entire gum line, a receding gum on one tooth is typically caused by localized factors. Because the rest of your mouth may seem healthy, you might be tempted to ignore it, but identifying the cause is vital to stopping the progression.

  • Aggressive Brushing: This is the most common culprit. If you scrub too hard with a medium or hard-bristled toothbrush, you can physically wear away the delicate gum tissue on the specific tooth you focus on most.
  • Tooth Positioning: If a tooth is slightly rotated or crowded, the bone supporting it may be thinner. This makes the gum tissue more prone to receding under even minor pressure.
  • Periodontal Pockets: A localized infection or a deep pocket caused by tartar buildup can destroy the attachment of the gum to the tooth.
  • Clenching and Grinding (Bruxism): The immense pressure exerted on a single tooth during nighttime grinding can cause the bone to shift, leading to tissue recession.
  • Frenum Attachment: Sometimes, the fold of tissue (frenum) connecting your lip to your gums is attached too high, physically pulling the gum away from the tooth base.

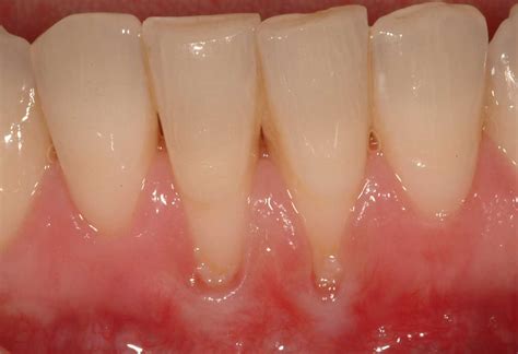
Recognizing the Symptoms of Localized Recession

Recognizing the signs early can save you from invasive procedures later. Aside from the obvious aesthetic change, there are several sensory indicators that a receding gum on one tooth is occurring:

Also read: Face Plus Plastic Surgery Clinic
Symptom What It Means
Increased Sensitivity Exposed root surfaces lack enamel, making them sensitive to heat and cold.
Visual Lengthening The tooth appears significantly longer compared to its neighbors.
Notching at the Gumline You may feel a physical "ledge" or groove near the base of the tooth.
Bleeding or Tenderness Signs of ongoing irritation or inflammation in the immediate area.

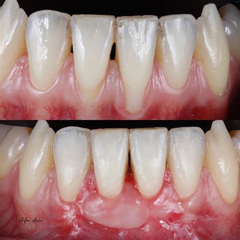
How to Manage and Treat a Receding Gum Line

Once you have identified the recession, your approach should be two-fold: immediate habit adjustment and professional intervention. Here are the steps to take to prevent the condition from worsening:

  1. Switch to a Soft-Bristled Brush: Immediately stop using manual force. Use a soft-bristled or electric toothbrush with a pressure sensor.
  2. Improve Your Technique: Use a gentle, circular motion rather than a back-and-forth sawing motion.
  3. See a Periodontist: A dental professional can assess whether the recession is caused by disease or physical trauma.
  4. Consider Desensitizing Treatments: If sensitivity is unbearable, a dentist can apply fluoride varnishes or bonding agents to cover the exposed root.
  5. Surgical Options: In advanced cases, a gum graft may be necessary to restore the lost tissue.

💡 Note: While over-the-counter desensitizing toothpastes can help manage pain, they do not "grow" the gum back. Always consult a dentist to address the root cause of the recession rather than just masking the symptoms.

The Long-Term Impact of Ignoring Recession

Ignoring a receding gum on one tooth can lead to significant complications over time. Because the root of the tooth is covered by a substance called cementum rather than hard, protective enamel, it is much more susceptible to decay. Furthermore, the root is inherently more porous, meaning bacteria can penetrate it more easily, potentially leading to tooth loss. When the root is exposed, the aesthetic appearance of your smile is also altered, which can affect your self-confidence.

Preventive Strategies to Protect Your Gum Health

Prevention is always superior to cure. To keep your gums healthy and prevent future recession, consider the following routine adjustments:

  • Regular Professional Cleanings: Removing tartar buildup prevents the inflammation that leads to gum detachment.
  • Quit Tobacco Use: Smoking interferes with blood flow to the gums, slowing down healing and encouraging recession.
  • Monitor Your Bite: If you grind your teeth, ask your dentist about a custom night guard to relieve the pressure on your teeth and supporting tissues.
  • Maintain Consistent Oral Hygiene: Proper flossing removes plaque from between teeth where a toothbrush cannot reach, preventing localized disease.

Maintaining the health of your gums is an integral part of your overall well-being. By addressing a receding gum on one tooth early, you avoid the complications of root decay and tooth sensitivity. Whether the cause is an over-zealous brushing habit, the physical position of the tooth, or underlying periodontal issues, professional diagnosis provides the roadmap to restoration. Remember that gum tissue does not regenerate on its own, so taking proactive steps today is the most effective way to preserve your smile. Focus on gentle oral care, seek timely advice from your dentist, and stay consistent with your hygiene routine to ensure that your gums remain healthy and your teeth stay firmly in place for years to come.

Related Terms:

  • gum pulling away from tooth
  • receding gum on capped tooth
  • receding gum on 1 tooth
  • gum deterioration around one tooth
  • low gums on bottom teeth
  • tooth separating from gum