Cleve

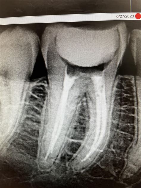
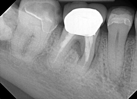
Rct Of Teeth

Rct Of Teeth

Experiencing persistent tooth pain can be one of the most distressing sensations, often disrupting your ability to eat, sleep, and go about your daily life. When a tooth becomes severely decayed, cracked, or infected, the damage often extends deep into the pulp—the delicate tissue containing nerves and blood vessels. In such instances, the Rct of teeth, commonly known as a root canal treatment, becomes the primary intervention to save the natural tooth and prevent the need for an extraction. While the term "root canal" has historically been associated with fear, modern dentistry has evolved, turning this procedure into a routine, comfortable, and highly effective way to restore oral health and eliminate chronic discomfort.

Understanding the Need for an Rct of Teeth

Dental examination for root canal

The pulp inside your tooth is vital during its development, but once a tooth is fully mature, it can survive without the pulp if the surrounding tissues remain healthy. An Rct of teeth is indicated when the pulp becomes inflamed or infected due to deep decay, repeated dental procedures on the same tooth, or traumatic injuries. If left untreated, the infection can spread, leading to abscesses, bone loss, and severe pain.

Common symptoms that suggest you might require a root canal include:

  • Severe, throbbing toothache that worsens when you bite down or apply pressure.
  • Prolonged sensitivity to hot or cold temperatures, even after the stimulus has been removed.
  • Darkening or discoloration of the tooth.
  • Pimples or small, bump-like lesions on the gums near the affected tooth.
  • Swelling and tenderness in the surrounding gum tissue.

The Procedural Journey: How an Rct Works

Many patients feel anxious because they do not know what happens during the treatment. Understanding the process can significantly alleviate these fears. The Rct of teeth is essentially a deep cleaning of the internal structure of the tooth, followed by sealing it to prevent future infection.

Here is the typical breakdown of the procedure:

  1. Diagnosis and Anesthesia: Your dentist will take X-rays to assess the extent of the infection. Local anesthesia is administered to ensure you do not feel pain during the treatment.
  2. Accessing the Pulp: A small hole is made in the crown of the tooth to gain access to the pulp chamber and the root canals.
  3. Cleaning and Shaping: The infected pulp is carefully removed using specialized dental instruments. The canals are then cleaned, disinfected, and shaped to receive a filling material.
  4. Filling and Sealing: The hollowed-out canals are filled with a biocompatible material called gutta-percha, which is cemented into place.
  5. Restoration: Because a tooth that has undergone an Rct of teeth may become brittle, a crown or permanent filling is usually placed to protect it and restore its original functionality.

💡 Note: While a root canal might feel uncomfortable for a day or two post-treatment, it is significantly less painful than the chronic toothache caused by the original infection.

Comparing Extraction vs. Root Canal Treatment

Patients often ask if it is better to simply pull the tooth. However, preserving your natural tooth is almost always the preferred clinical outcome. Replacing a missing tooth with an implant or a bridge is significantly more expensive and time-consuming than undergoing an Rct of teeth. Maintaining your natural tooth structure helps keep your jawbone healthy and ensures that your biting alignment remains stable.

Feature Root Canal Treatment Tooth Extraction
Preservation Retains natural tooth Removes tooth completely
Bone Health Stimulates jawbone Risk of bone resorption
Functional Impact Natural biting force Requires artificial replacement
Cost-Effectiveness Generally lower cost Higher cost due to replacements

Aftercare and Long-Term Success

Following an Rct of teeth, your tooth may feel slightly sensitive, but this should subside within a few days. You can usually manage this with over-the-counter pain medication as recommended by your dentist. It is crucial to maintain excellent oral hygiene habits—brushing twice a day and flossing daily—to prevent reinfection. While a treated tooth can technically last a lifetime with proper care, regular check-ups are essential to ensure the seal remains intact and the surrounding bone remains healthy.

💡 Note: Avoid biting down hard on the treated tooth until the final crown or restoration has been placed, as the temporary filling can be fragile.

The Final Perspective

Choosing to move forward with an Rct of teeth is a proactive step toward reclaiming your quality of life. By removing the source of the infection, you not only eliminate the immediate pain but also prevent systemic health issues that can arise from localized infections. Advances in dental technology have made this procedure incredibly precise, predictable, and efficient. If you suspect you are dealing with pulp-related issues, seeking timely professional intervention is the most effective way to ensure your smile remains intact and pain-free for years to come. Remember that early diagnosis is your best defense against complex dental problems, so do not hesitate to contact your dental health provider if you experience any of the warning signs mentioned above.

Related Terms:

  • rct treatment of teeth
  • rct teeth meaning
  • rct of teeth price
  • rct teeth picture
  • rct dental full form
  • is rct good for teeth