Cleve

Pyelectasis Of Fetus

Pyelectasis Of Fetus

Receiving news during a prenatal ultrasound that your baby has a condition called Pyelectasis of fetus can be an understandably overwhelming and stressful experience for expectant parents. It is a common finding during routine second-trimester anatomy scans, often leading to a whirlwind of medical terminology and concerns about the health of the baby. Understanding exactly what this condition entails, why it happens, and how it is monitored is essential for managing anxiety and ensuring you are well-informed throughout your pregnancy journey. At its core, this condition refers to the mild dilation or enlargement of the renal pelvis, which is the part of the kidney where urine collects before traveling to the bladder. While the term may sound alarming, in the vast majority of cases, it is a benign finding that resolves on its own before or shortly after birth.

Understanding Pyelectasis in the Developing Fetus

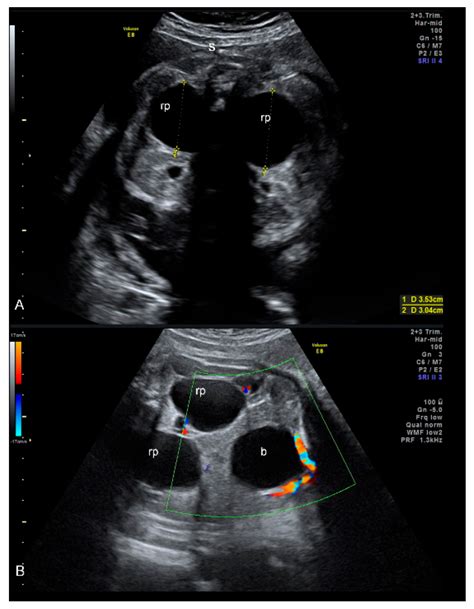
During the second-trimester anatomy ultrasound, typically performed between 18 and 22 weeks of gestation, the sonographer meticulously examines all the organs of the fetus to ensure proper development. Pyelectasis of fetus is identified when the renal pelvis measures slightly larger than the established clinical threshold. In most medical guidelines, a measurement of 4mm to 7mm is considered mild, while measurements above 7mm or 10mm may warrant closer monitoring.

The renal pelvis acts as a funnel for urine. When this area appears dilated on an ultrasound, it indicates that urine is not flowing as freely as it ideally should into the ureters. This can happen for several reasons, including:

  • Temporary Obstruction: A slight blockage in the urinary tract that may resolve as the fetus grows.
  • Reflux: Vesicoureteral reflux (VUR), where urine flows backward from the bladder toward the kidneys.
  • Anatomic Variation: Simply a anatomical variation that is not clinically significant.
  • Increased Urine Output: Sometimes, the fetus produces more urine, leading to temporary dilation.

⚠️ Note: Many cases of mild fetal pyelectasis are transient and considered a "soft marker," meaning they are often seen in healthy babies without any underlying genetic or structural abnormalities.

Diagnostic Criteria and Measurements

To distinguish between a normal variation and a condition requiring medical follow-up, healthcare providers rely on standardized measurements. The severity is generally categorized based on the diameter of the renal pelvis in the anterior-posterior (AP) view.

Degree of Dilation Measurement (AP Diameter) Clinical Approach
Normal Less than 4 mm No follow-up needed
Mild 4 mm to 7 mm Routine follow-up scan in 3rd trimester
Moderate 7 mm to 10 mm Close monitoring, postnatal evaluation
Severe Greater than 10 mm Specialist consultation (pediatric urology)

It is important to remember that these measurements are snapshots in time. The position of the fetus, the amount of fluid in the bladder, and the quality of the ultrasound image can all influence the exact reading. This is why doctors often recommend a follow-up ultrasound later in the pregnancy to determine if the dilation persists, improves, or worsens.

The Relationship Between Pyelectasis and Genetic Conditions

One of the primary reasons Pyelectasis of fetus causes concern for parents is its historical association with chromosomal abnormalities, such as Down syndrome (Trisomy 21). In the past, this finding was frequently flagged as a "soft marker" for genetic issues. However, modern medical practices have evolved significantly.

If the ultrasound scan shows only pyelectasis and no other structural anomalies or "markers," the risk of a chromosomal abnormality is considered extremely low. Most obstetricians and perinatologists will look at the entire picture, including:

  • Your age and individual risk factors.
  • Results from any prior prenatal genetic screenings (such as NIPT or blood tests).
  • The absence of other markers (like cardiac or limb abnormalities).

If you have already received low-risk results from genetic screening tests, the presence of mild pyelectasis is usually interpreted as an isolated, benign finding that does not change your overall risk profile.

Managing the Condition During Pregnancy

If your doctor identifies Pyelectasis of fetus, the standard approach is one of careful observation rather than active intervention. Because there is no way to "treat" the fetus while they are still in the womb, the focus remains on monitoring the growth and development of the kidneys.

The process generally follows these steps:

  1. Follow-up Ultrasound: Your healthcare provider will likely schedule a repeat ultrasound around 32 to 36 weeks of pregnancy to see if the renal pelvis has returned to a normal size.
  2. Consultation: If the measurement remains elevated, you may be referred to a maternal-fetal medicine specialist or a pediatric urologist.
  3. Postnatal Plan: The medical team will outline a plan for your baby’s care after birth. This often involves a simple ultrasound of the baby’s kidneys during the first few days or weeks of life.

⚠️ Note: Always discuss your specific results with your OB/GYN or midwife. They have the context of your entire pregnancy and can provide the most accurate assessment of what these numbers mean for your specific situation.

What Happens After Birth?

In most cases where pyelectasis was diagnosed prenatally, the baby will have a postnatal renal ultrasound to confirm that the kidneys are functioning correctly. If the condition persists, a pediatric urologist may monitor the infant to ensure that the dilation does not lead to urinary tract infections or other complications. The vast majority of infants born with this diagnosis go on to lead perfectly healthy, normal lives without ever requiring surgical intervention or experiencing long-term kidney issues.

The key takeaway for any parent navigating this diagnosis is that while the terminology can be frightening, it is a very common scenario that most clinicians are well-equipped to manage. Maintaining open communication with your healthcare team and attending all follow-up appointments will provide the best possible oversight for your baby’s health. The focus of modern prenatal care is to gather enough information to ensure that if any intervention is needed, it is planned and executed effectively, but in the overwhelming majority of instances, this is a finding that resolves itself, leaving your baby healthy and thriving.

Related Terms:

  • kidney pyelectasis
  • pyelectasis fetus should you worry
  • fetal pyelectasis measurement chart
  • pyelectasis neonatal
  • what causes fetal pyelectasis
  • pyelectasis vs hydronephrosis