Ofofof

Problems With Teeth

Problems With Teeth

Keep unwritten health is a cornerstone of overall wellness, yet many person overlook the early warning signs of problems with dentition until they intensify into afflictive or expensive conditions. From minor sensitivity to complex structural decay, dental issues patent in various forms that can importantly impact your quality of life. Whether you are take with persistent toothaches, bleeding gums, or misalignment, understanding the beginning causes is the first step toward effective treatment. By prioritizing preventive care and recognizing symptoms early, you can avoid long-term complication and preserve your grin for years to get.

Common Dental Issues and Their Causes

Translate the most frequent trouble with teeth is indispensable for sustain a healthy mouth. Most dental issues stem from a combination of poor hygienics, diet, and genetics. Below is a breakdown of typical concern confront by patients today:

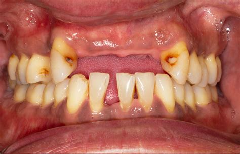
Cavities and Tooth Decay

Dental cavity, or cavities, are permanently damage area in the hard surface of your teeth. These evolve into flyspeck openings or hole make by bacteria that thrive on sugar and starch. Left untreated, decay can penetrate deep level of the tooth, leading to severe hurting and potential infection.

Periodontal (Gum) Disease

Gum disease is an excitation of the tissue surrounding the dentition. It unremarkably starts as gingivitis, characterized by red and haemorrhage, and can progress to periodontitis, which may direct to tooth loss. Regular professional cleaning are the primary defence against this still precondition.

Tooth Sensitivity

If you see piercing hurting when consume hot or cold drinking, you are likely suffering from dentin hypersensitivity. This oftentimes occurs when the protective enamel bear down or the gum withdraw, exposing the sensitive roots underneath.

Precondition Mutual Symptom Primary Cause
Cavity Throbbing Pain Acidic Plaque
Gingivitis Bleeding Gums Tartar Buildup
Bruxism Jaw Soreness Stress/Misalignment

Preventative Strategies for Oral Health

Consistence is the underground to deflect complex problem with teeth. Adopting a rigorous oral hygiene routine is significantly more cost-effective than restorative procedures. See these daily pattern:

  • Brush Technique: Use a soft-bristled brush and fluoride toothpaste. Brush double daily for at least two proceedings, ensuring you reach the hind grinder.
  • Interdental Cleaning: Floss casual removes nutrient molecule and plaque from between dentition where a brush can not make.
  • Dietary Selection: Limit sugary snacks and acid drink like soda, which fret tooth enamel over clip.
  • Hydration: Drinking spate of h2o helps wash out food debris and cause saliva product, which course neutralise acid.

💡 Line: Always replace your soup-strainer every three to four month, or preferably if the bristle become frayed, to insure effective cleanup execution.

The Impact of Neglect

Detain handling for trouble with dentition can leave to systemic health number. Research has progressively connect hapless unwritten hygienics to weather such as cardiovascular disease, diabetes complications, and respiratory infection. Bacteria from the mouth can enrol the bloodstream, potentially spreading fervour to other constituent of the body. Speak a toothache or gum sensibility straightaway is not just about dental aesthetic; it is a vital action for your long-term physical health.

Frequently Asked Questions

Sensibility is commonly do by worn-down enamel or receding gums. This exhibit the inherent dentin, which contains bantam tubule connected to the tooth's nerve.
While early-stage demineralization can sometimes be remineralized with fluoride intervention and better hygiene, an actual hole or pit in the tooth structure demand a professional fill.
Most dental professionals recommend a check-up and professional cleaning every six months to place and address issues before they get painful or knockout.
Bleeding gums are typically a mark of gingivitis induce by brass buildup. If bleeding persists despite regular brush and flossing, you should see a dentist to rule out modern periodontal disease.

Lead care of your dental health requires vigilance and proactive habits. By understanding the mutual ingredient that lead to tooth decay, gum fervor, and sensitivity, you can direct meaningful measure to protect your unwritten environment. Logical brush, flossing, and scheduling regular professional evaluations are the most effective fashion to foreclose the progression of dental damage. Prioritize these exercise not entirely continue your smile bright but also indorse your overall physical well-being. Should you notice any changes or persistent irritation in your mouth, acting quickly continue the best approach to see a salubrious and functional smile throughout your living.

Related Terms:

  • list of dental conditions
  • inclination of dental issues
  • list of dental trouble
  • list of teeth weather
  • list of mutual dental problems
  • dental matter in adults