Mayo

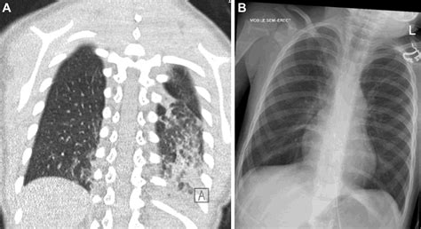
Pneumonia Ct Scan

Pneumonia Ct Scan

When a respiratory infection lingers or becomes severe, healthcare providers often look for more detailed imaging than a standard chest X-ray can provide. This is where a Pneumonia CT Scan becomes a critical diagnostic tool. Unlike a traditional X-ray, which produces a two-dimensional image, a computed tomography (CT) scan creates detailed, cross-sectional views of the lungs. This allows doctors to visualize the extent of inflammation, identify complications like abscesses or pleural effusions, and accurately differentiate pneumonia from other lung conditions. Understanding when and why this imaging procedure is necessary can help patients better navigate their diagnostic journey.

Why Doctors Order a Pneumonia CT Scan

While a physical examination and medical history are the first steps in diagnosing pneumonia, imaging is required to confirm the presence and severity of the infection. A Pneumonia CT Scan is not always the first choice, but it becomes essential in specific clinical scenarios. By providing high-resolution images, it helps physicians make informed treatment decisions.

Common indications for ordering this scan include:

  • Unclear X-ray Results: If an initial chest X-ray is inconclusive or fails to explain the patient’s symptoms.
  • Treatment Failure: When a patient does not show improvement after a prescribed course of antibiotics.
  • High-Risk Patients: Individuals with compromised immune systems, severe underlying lung disease, or those who are elderly.
  • Suspected Complications: Detecting issues such as a lung abscess, necrotizing pneumonia, or empyema (pus accumulation).
  • Distinguishing Conditions: Helping rule out other potential causes for symptoms, such as lung tumors, pulmonary embolism, or interstitial lung disease.

Understanding the Procedure: What to Expect

Undergoing a Pneumonia CT Scan is generally a quick and painless process. It is a non-invasive procedure that uses specialized X-ray equipment combined with advanced computer processing to generate images. Here is what typically happens during the scan:

  1. Preparation: You may be asked to remove metal objects like jewelry or glasses, as these can interfere with the image quality. Depending on the specific protocol, you might be asked to change into a hospital gown.
  2. Positioning: A technician will help you lie on a narrow table that slides into the center of the CT scanner, which is shaped like a large donut.
  3. The Scan: The scanner will move around you, taking multiple images from different angles. You will likely be asked to hold your breath for short intervals to prevent movement blur.
  4. Contrast Dye (Optional): In some cases, an iodine-based contrast material may be injected into a vein to highlight blood vessels and specific tissues. If this is required, the medical team will screen you beforehand for any history of allergies to contrast dye or kidney issues.

⚠️ Note: If you have a known allergy to iodine-based contrast dye, be sure to inform your healthcare provider or the radiology technologist before the scan begins, as they may need to take precautionary measures or use an alternative imaging protocol.

Comparing Imaging Techniques for Pneumonia

Choosing the right imaging modality is crucial for accurate diagnosis. While the Pneumonia CT Scan is superior in detail, other methods have their place in clinical practice.

Imaging Type Diagnostic Capability Best Used For
Chest X-ray Basic, 2D imaging Initial screening and monitoring recovery.
Pneumonia CT Scan Detailed, 3D cross-sectional views Complex cases, complication assessment, and differential diagnosis.
Ultrasound Real-time, non-ionizing Detecting pleural effusions at the bedside.

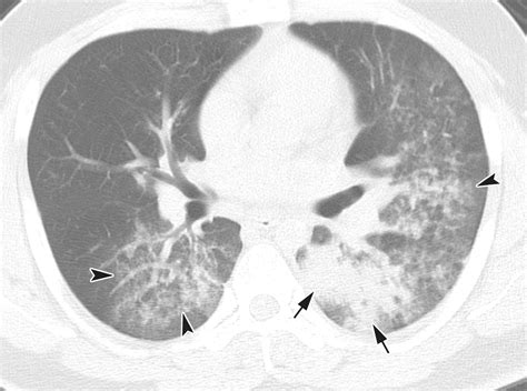
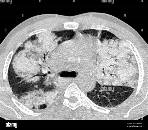
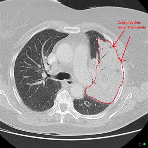
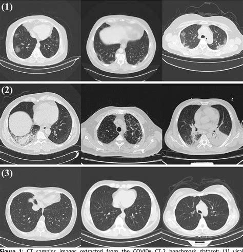
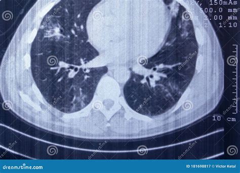
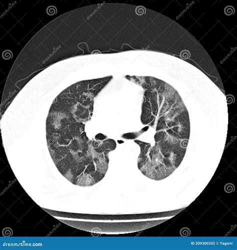
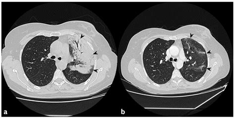
Interpreting CT Scan Findings

Once the scan is completed, a radiologist will interpret the images and generate a report. When viewing a Pneumonia CT Scan, medical professionals look for specific patterns of lung involvement. These patterns often indicate the type of pneumonia or the severity of the inflammatory response.

Common findings often described in reports include:

  • Consolidation: This refers to the filling of air spaces (alveoli) with fluid, pus, or other material, appearing as dense, white areas on the scan.
  • Ground-Glass Opacity (GGO): A hazy appearance in the lungs, indicating partial filling of air spaces or thickening of the lung interstitium. This is often seen in viral pneumonias.
  • Bronchograms: The appearance of air-filled bronchi surrounded by consolidated lung tissue.
  • Pleural Effusion: The buildup of fluid in the space between the lung and the chest wall.
  • Nodules or Cavitation: These findings may prompt further investigation to rule out other infections or malignancy.

It is important to remember that these findings must always be correlated with the patient's symptoms, laboratory results, and clinical history. A report with "positive findings" does not always imply a worst-case scenario, as many patterns are typical of common bacterial or viral infections.

Safety Considerations and Radiation Exposure

A frequent concern regarding any CT scan is the exposure to ionizing radiation. A Pneumonia CT Scan does involve a higher dose of radiation compared to a standard chest X-ray. However, healthcare professionals utilize the “ALARA” principle (As Low As Reasonably Achievable) to minimize exposure while still obtaining high-quality images necessary for an accurate diagnosis.

When the benefit of obtaining a precise diagnosis—especially in cases of severe or complicated pneumonia—outweighs the risks of radiation, the procedure is considered medically justified. Pregnant patients or those concerned about cumulative radiation exposure should always discuss these risks with their primary physician or pulmonologist to explore safer alternatives, if appropriate.

💡 Note: Always provide your doctor with an accurate list of all current medications, especially if you have chronic kidney disease or diabetes, as certain medications may need to be adjusted before receiving contrast dye.

Next Steps After Your Scan

After your Pneumonia CT Scan, the results are typically sent to the ordering physician within a short period. Once the results are available, your healthcare team will integrate these findings into your overall treatment plan. This may involve continuing, adjusting, or changing the type of antibiotics prescribed. In instances where the CT scan reveals complications, such as a large abscess, additional interventions like drainage or specialized surgical consultations might be arranged.

Regular follow-up appointments are essential to ensure the lungs are healing properly. While the CT scan is excellent for the initial or complex diagnosis, doctors often rely on clinical improvement and follow-up X-rays to monitor the resolution of the pneumonia over time, rather than repeating high-dose imaging unnecessarily.

Navigating a diagnosis of pneumonia involves understanding the tools used to detect and treat it. The Pneumonia CT Scan stands as an invaluable asset in a clinician’s toolkit, providing the granular detail necessary to manage complex or unresponsive cases effectively. By bridging the gap between suspected symptoms and a clear understanding of the lung’s condition, this imaging technique ensures that treatment is targeted, timely, and tailored to the unique needs of the patient. If you have been advised to undergo this procedure, trust that it is being utilized to secure the most accurate diagnosis possible, ultimately guiding you toward a more effective recovery path.

Related Terms:

  • ct scan for chest infection
  • pneumonia ct scan radiopaedia
  • ct scan showing pneumonia
  • pneumonia x ray
  • atypical pneumonia ct scan
  • signs of pneumonia on ct