Cleve

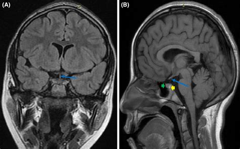
Pituitary With Infundibular Stalk

Pituitary With Infundibular Stalk

The human endocrine system is a marvel of biological engineering, acting as the body's command center for growth, metabolism, and reproductive health. At the very heart of this system lies a small, pea-sized gland located at the base of the brain: the pituitary gland. While often discussed as a singular entity, its functional success relies heavily on its connection to the hypothalamus. This bridge is known as the pituitary with infundibular stalk, a critical anatomical structure that facilitates the communication required to keep our physiological processes in perfect harmony.

Anatomical Importance of the Pituitary with Infundibular Stalk

The infundibular stalk, frequently referred to as the pituitary stalk, is the delicate bridge that anchors the pituitary gland to the hypothalamus. Without this physical and functional conduit, the body would struggle to regulate its hormonal output. The stalk contains a complex network of blood vessels—the hypophyseal portal system—and nerve fibers that relay electrical signals from the brain down to the gland.

By studying the pituitary with infundibular stalk, medical professionals can better understand how specific neurological conditions or structural abnormalities can disrupt hormone production. When this stalk is compressed or damaged, it can lead to what is clinically known as "stalk effect," where the flow of regulatory hormones from the hypothalamus is restricted, resulting in widespread endocrine dysfunction.

Key Functions of the Pituitary Stalk Connection

The primary role of this connection is to ensure that the pituitary gland receives precise instructions. It acts as the gateway for two distinct types of communication:

  • Neuroendocrine signaling: The hypothalamus sends releasing or inhibiting hormones through the portal blood vessels to tell the anterior pituitary when to secrete hormones like growth hormone, thyroid-stimulating hormone, and prolactin.
  • Direct neuronal transmission: Nerve fibers originating in the hypothalamus extend through the infundibular stalk to terminate directly in the posterior pituitary, releasing oxytocin and vasopressin into the bloodstream.

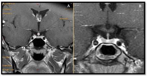
When investigating the pituitary with infundibular stalk, clinicians often look at the thickness and signal intensity of the stalk on imaging tests like MRIs. A thickened stalk can be an early indicator of inflammatory processes, infiltrative diseases, or tumors, emphasizing why this tiny anatomical feature is so vital for diagnostics.

Comparison of Pituitary-Hypothalamic Interactions

Understanding the distinction between the anterior and posterior sections of this system is essential for recognizing how the stalk serves both sides differently.

Connection Type Anterior Pituitary Posterior Pituitary
Primary Pathway Hypophyseal Portal Blood Vessels Hypothalamic Nerve Fibers
Communication Chemical (Hormonal) Electrical (Neuronal)
Key Function Regulates metabolism, growth, and stress Regulates water balance and labor

⚠️ Note: Always consult with an endocrinologist if you notice symptoms such as unexplained fatigue, rapid changes in body weight, or visual disturbances, as these may relate to the health of the pituitary gland and its connection to the hypothalamus.

Diagnostic Imaging and Clinical Significance

Medical imaging has transformed our ability to examine the pituitary with infundibular stalk in a non-invasive manner. Modern high-resolution MRI scans are the gold standard for identifying potential pathology in this region. Radiologists specifically look for symmetry, the position of the optic chiasm, and the integrity of the stalk itself.

Common clinical findings that involve the stalk include:

  • Pituitary Adenomas: Benign tumors that can grow and push against the stalk, causing hormonal imbalances.
  • Infundibuloneurohypophysitis: A rare inflammatory condition specifically affecting the stalk and the posterior pituitary.
  • Ectopic Pituitary Gland: A condition where the pituitary gland develops in an abnormal location, often due to an absent or truncated infundibular stalk.

Because the stalk is so close to the optic nerves, any mass or swelling in this area can lead to "bitemporal hemianopsia," or the loss of outer peripheral vision. This is why patients with pituitary-related concerns often require both a hormonal blood panel and a comprehensive ophthalmological examination.

Maintaining Endocrine Health

While many conditions involving the pituitary with infundibular stalk are congenital or occur due to underlying medical issues, maintaining general brain and endocrine health is a priority. Chronic stress, severe head trauma, and certain autoimmune conditions can indirectly impact the stability of the hypothalamic-pituitary axis. Ensuring proper nutrition and seeking medical attention for persistent head trauma are proactive steps one can take to support neurological and endocrine longevity.

💡 Note: The infundibular stalk is an incredibly delicate structure; specialized neuro-imaging protocols are often required to visualize it clearly, especially in pediatric cases where developmental anatomy may still be evolving.

The intricacies of the human body are nowhere more apparent than in the microscopic connections between the brain and the endocrine system. The pituitary with infundibular stalk serves as the indispensable link that dictates how our bodies respond to growth, stress, and essential fluid balance. By acknowledging the structural and functional importance of this anatomical bridge, we gain a deeper appreciation for the complex feedback loops that regulate human life. Continued research and advanced diagnostic imaging remain our best tools for identifying potential disruptions in this area, allowing for timely interventions and personalized care. Whether through understanding the blood supply provided by the hypophyseal portal system or the neural pathways of the posterior pituitary, this knowledge remains fundamental to endocrinology and neurosurgery alike, highlighting the importance of the stalk in our overall well-being.

Related Terms:

  • pituitary stalk function
  • where is the infundibulum located
  • thickening of the pituitary stalk
  • pituitary stalk effect
  • causes of pituitary stalk thickening
  • what is the pituitary stalk