Cleve

Parotid Gland Cancer

Parotid Gland Cancer

The human body is a complex network of structures, and among the less discussed but life-sustaining components are the salivary glands. Located just in front of and below each ear, the parotid glands are the large of the major salivary secreter. While most growths in this area are benignant, it is critical to remain wakeful, as parotid secreter crab is a condition that requires seasonably medical attention. Understanding the symptoms, peril factors, and treatment landscape can make a significant difference in patient outcomes, transforming a daunting diagnosing into a manageable path forward.

Understanding Parotid Gland Cancer

Medical professional examining a patient

Parotid gland cancer is a eccentric of head and cervix cancer that originates in the cell of the parotid gland. These glands are primarily responsible for produce spit, which help in digestion and sustain unwritten hygiene. When cells within these glands undergo genic mutant, they can multiply uncontrollably, constitute a neoplasm. While many parotid tumors - often called pleomorphic adenomas - are non-cancerous, a parcel of these growing can be malignant. Secernate between a benignant spate and parotid gland cancer usually requires a biopsy and professional diagnostic imaging.

Recognizing the Symptoms

Because the parotid secretor is located near several facial nerve and structures, the symptom of malignancy are often relate to the press the tumour exerts on circumvent tissue. Early catching is often the bad constituent in successful treatment. Key symptoms to follow for include:

  • A persistent lummox: A painless or slenderly sore stack in the region in battlefront of the ear or below the jawline.
  • Facial nervus involvement: Weakness in parts of the face, numbness, or trouble moving specific facial muscle.
  • Unexplained hurting: Persistent pain in the face, chin, or neck that does not decide.
  • Difficulty immerse or opening the mouth: This occurs if the tumor grows large enough to impede jaw motility.
  • Visible jut: Imbalance in the face or neck region that persists over several weeks.

Risk Factors and Causes

While the exact cause of parotid gland cancer stay a subject of ongoing research, certain constituent are cognize to increase the likelihood of developing the disease. These factors do not guarantee that crab will develop, but they guarantee special caveat:

  • Radiation exposure: Previous radiation therapy to the head or cervix area, oft for other crab, can increase the peril years subsequently.
  • Chemical exposure: Occupational exposure to sure substances, such as silica debris or asbestos, has been linked to increase hazard in some report.
  • Genetics: While rare, a menage chronicle of salivary gland tumor may play a role in case-by-case susceptibility.
  • Age and Lifestyle: Although it can pass at any age, the hazard mostly increases as citizenry get older. Smoking and hapless unwritten health are also sometimes refer as contributing stressor.

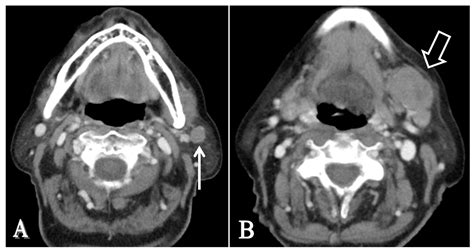
Diagnostic Procedures

When a patient presents with a shady clod, md apply a multi-step attack to attain a diagnosing. Accurate staging is essential for regulate the appropriate class of activity.

Symptomatic Puppet Purpose
Physical Exam Checking for firmness, mobility, and facial spunk function.
MRI/CT Scan See the neoplasm size and percolation into besiege tissues.
Fine-Needle Aspiration (FNA) Elicit cell samples to screen for malignance.
Biopsy The definitive test to determine the accurate type of cancer cell.

⚠️ Note: Always confabulate with an oncologist or an otolaryngologist (ENT specialiser) if you discover an unexplained goon in the cervix or cheek region. Betimes symptomatic imagination is key to secernate between benign growths and parotid gland crab.

Treatment Modalities

Handling for parotid gland cancer is highly individualized, look on the degree of the tumor, the tier of the cell, and the patient's overall health. Or is nearly perpetually the primary handling alternative, but it is ofttimes combined with other therapies to control all cancerous cells are eradicated.

  • Or: The gold measure is a parotidectomy, where the sawbones take the affected gland. Great care is conduct to protect the facial nerve during this delicate procedure.
  • Radiation Therapy: Often apply after or to kill any remaining crab cells, especially if the neoplasm was high-grade or close to critical nervus.
  • Chemotherapy: While not the first line of defense for most parotid cancers, it may be expend in advanced level or when the crab has metastasized to other portion of the body.
  • Targeted Therapy: Issue treatments focus on specific transmitted markers within the tumour, offer a more accurate way to treat cancer with fewer side effects.

Recovery and Outlook

Convalescence clip varies based on the extent of the or and the type of adjuvant therapy required. Post-operative tending typically regard physical therapy for facial muscleman rehabilitation and regular follow-up visit to supervise for recurrence. Because the parotid secreter is nearly linked to the salivary system, some patients may get dry mouth or changes in taste, which can be managed with professional support and proper unwritten hydration strategies.

The journey through a parotid secretor cancer diagnosing can be ambitious, but it is important to remember that aesculapian promotion have significantly amend survival rates and quality of life for patients. By maintain a docket of regular cover, borrow a proactive approaching to symptoms, and adhering to personalized handling plan, patient can effectively negociate this condition. As research continue to refine targeted therapies and minimally invading operative proficiency, the prospect for those affected by this disease stay increasingly positive, emphasizing the necessity of former detection and professional guidance.

Related Term:

  • parotid secreter tumor name
  • most mutual parotid batch
  • most common parotid malignancy
  • most common parotid masses
  • what causes parotid cancer
  • types of parotid gland neoplasm