Rp

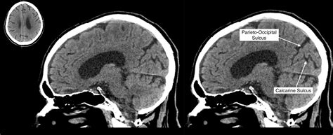
Parieto Occipital Sulcus

Parieto Occipital Sulcus

The human mentality is an incredibly intricate organ, serving as the bidding center for every thought, action, and sensation we experience. Among its complex structural watershed, the Parieto Occipital Sulcus stand out as a critical anatomical divide. Located on the median surface of each cerebral hemisphere, this deep fissure acts as a primary anatomic boundary, separating the parietal lobe from the occipital lobe. Understanding this sulcus is all-important for neuroscientists, aesculapian students, and anyone interested in the sophisticated geography of the human brain, as it helps define the functional territories responsible for complex processing, from spatial navigation to ocular interpretation.

Anatomy and Location of the Parieto Occipital Sulcus

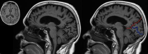
The anatomy of the human brain highlighting the Parieto Occipital Sulcus

The Parieto Occipital Sulcus is not only a random fold in the brain; it is a significant anatomical watershed that is easily identifiable on a sagittal cross-section. It commence near the top of the hemisphere, extending down and forward until it meets the calcarine sulcus, make a articulation that is vital for visual pallium orientation. This sulcus efficaciously maps out the borderline between two of the four major lobes of the brain.

To comprehend its precise positioning, view the following structural features:

Also read: Face Works Plastic Surgery & Med Spa
  • Medial Surface: It is prominently seeable on the median surface, meaning it can be best realise when the brain is catch from the midline between the two hemispheres.
  • Lobular Boundary: It marks the posterior bounds of the parietal lobe and the prior limit of the occipital lobe.
  • Relationship with Other Fissure: It function as a connection and boundary point for the precuneus, which consist in front of it, and the wedge, which dwell behind it.

⚠️ Billet: While the Parieto Occipital Sulcus is a ordered landmark, minor anatomical fluctuation survive between individuals, which is a common occurrence in neuroanatomy studies.

Functional Significance in Neurobiology

While the sulcus itself is a physical groove, its proximity to critical functional areas order its importance in cognitive processing. The areas adjacent to the Parieto Occipital Sulcus are involve in a wide regalia of high-level tasks. Because it separates the parietal lobe - often associated with spatial awareness and sensory integration —from the occipital lobe—the seat of optical processing —it effectively sits at the gateway of visual-spatial synthesis.

The following table outlines the functional roles of the lobes frame by this sulcus:

Lobe Primary Mapping Copulation to Sulcus
Parietal Lobe Sensory perception, spatial navigation, and manipulation of object. Located anteriorly (in forepart) of the sulcus.
Occipital Lobe Main ocular processing and interpretation of optical stimuli. Locate posteriorly (behind) of the sulcus.

Clinical Relevance and Neuroimaging

In modernistic medicine, the Parieto Occipital Sulcus villein as a vital watershed during neuroimaging, such as MRI and CT scan. Surgeon and neurologists use this construction as a quotation point to sail the nous's build, ensuring that they can accurately focalise wound, tumor, or areas of seizure action. For instance, if an anomaly is place, referencing the sulcus helps medical professionals shape whether the issue is root in optical input processing (occipital) or spatial-motor coordination (parietal).

The precision supply by this watershed is crucial during:

  • Operative Preparation: Name the safe launching point to forefend damaging sensitive cortical area.
  • Brain Function: Assist investigator in functional MRI (fMRI) study to correlate specific neuronic action with anatomical fix.
  • Diagnostic Procedure: Aid in the classification of neurodegenerative conditions that may shew wasting or alteration in specific cortical region.

💡 Billet: Advanced neuroimaging software now let for 3D reconstruction of the mentality, do the designation of the Parieto Occipital Sulcus much clearer for educational and operative intent.

The Connection Between Vision and Space

One of the most fascinating facet of the Parieto Occipital Sulcus is its use as a crossroad. Ocular info enters through the eye and locomotion to the occipital lobe, specifically the principal visual cortex located near the calcarine sulcus. As this info is processed, it must be mix with spatial info to grant us to sail our environs effectively.

This consolidation regard the "dorsal watercourse", often refer to as the "where" pathway. The transition from the occipital lobe across the parieto-occipital bound into the parietal pallium grant the brain to transition from "what am I seeing"? to "where is it in coition to me"? By realise the construction of this sulcus, we gain a deep appreciation for how the encephalon seamlessly weaves together the raw datum of vision with the complex function of spacial orientation.

Advancements in Brain Mapping and Research

Current inquiry preserve to research how neural pathway interact across the Parieto Occipital Sulcus. Employ dissemination tensor imagination (DTI), scientist can track white matter tracts that associate the occipital and parietal lobe. These connecter are all-important for tasks like reading, hand-eye coordination, and recognize complex design. If the footpath intersecting or surpass near this sulcus are interrupt, someone may live symptoms such as visual ataxia - a stipulation where a mortal can see aim but can not gain for them accurately due to a want of spatial coordination.

Looking at the structural constancy of the sulcus throughout the lifespan also provides insights into brain development and ageing. As we learn more about the neuroplasticity of the brain, the role of these define landmarks becomes still more critical in measuring how the brain compensates for hurt or adapts to new skills.

The study of the Parieto Occipital Sulcus highlights the exquisite organization of the human mind. By work as a definitive border between the parietal and occipital lobes, it alleviate the essential communicating between our visual system and our spacial awareness. Whether in a clinical background for neurosurgical navigation or in a enquiry laboratory inquire the foundations of human noesis, this deep intellectual fold serves as an anchor for our sympathy of how we comprehend and interact with the existence around us. Continued inquiry into the structural and functional nuances of this area will doubtless lead to further breakthroughs in our grasp of human neurological health and the complexities of cognitive processing.

Related Terms:

  • parieto occipital sutura
  • sulcus in form
  • parieto occipital sulcus mri
  • parieto occipital sulcus location
  • parieto occipital sulcus definition
  • parieto occipital calvarium