Cleve

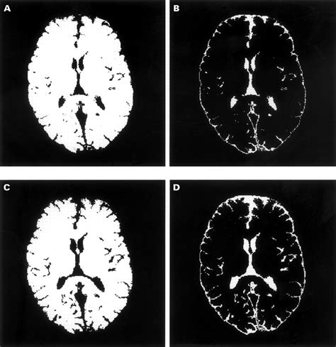
Parenchymal Volume Loss

Parenchymal Volume Loss

Understanding the intricacies of brain health is a vital component of modern healthcare, particularly as medical imaging technology becomes more sophisticated. One term frequently encountered in neuroradiology reports—and often misunderstood by patients—is parenchymal volume loss. In simple terms, this refers to a reduction in the mass or bulk of the brain tissue. The brain parenchyma consists of the functional tissue in the brain, including neurons and glial cells, and when this tissue shrinks or atrophies, it is often documented as volume loss. While the term may sound alarming, it is important to understand its causes, implications, and how it is interpreted within a clinical context.

What Exactly is Parenchymal Volume Loss?

The human brain is a dynamic organ that undergoes various changes throughout a lifespan. Parenchymal volume loss, or cerebral atrophy, is essentially the loss of neurons and the connections between them. As the brain loses these cells, the physical space they occupied diminishes. This can manifest as an expansion of the sulci (the grooves on the surface of the brain) or the enlargement of the ventricles (the fluid-filled spaces inside the brain).

While often associated with neurodegenerative diseases, it is crucial to recognize that some degree of brain shrinkage is a normal part of the aging process. However, when the loss occurs at an accelerated rate or is localized to specific regions of the brain, it warrants further investigation by a neurologist to distinguish between normal age-related changes and pathological conditions.

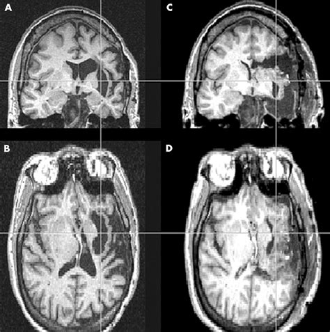
Brain MRI imaging scan

Common Causes of Brain Atrophy

There is no single cause for the reduction of brain tissue. Medical professionals look at a variety of factors to determine why parenchymal volume loss might be present in a patient. The causes generally fall into several distinct categories:

  • Natural Aging: As we grow older, the brain naturally undergoes mild atrophy, which is considered a physiological process rather than a disease state.
  • Neurodegenerative Diseases: Conditions such as Alzheimer’s disease, Frontotemporal dementia, and Parkinson’s disease are frequently linked to significant and progressive volume loss in specific brain regions.
  • Vascular Issues: Chronic hypertension, strokes, or small vessel disease can reduce blood flow to the brain, leading to cell death and subsequent tissue volume reduction.
  • Traumatic Brain Injury (TBI): Significant impact or injury to the head can result in localized tissue loss as the brain heals or undergoes reactive changes.
  • Inflammatory and Infectious Conditions: Multiple sclerosis (MS) and certain infections can cause inflammation that leads to the gradual destruction of brain parenchyma.

⚠️ Note: Parenchymal volume loss is a descriptive finding on an MRI or CT scan, not a standalone diagnosis. It must always be correlated with the patient’s clinical symptoms and cognitive function.

Diagnostic Approaches and Interpretation

When a radiologist identifies volume loss, they usually assess the distribution of the atrophy. Generalized atrophy refers to widespread loss across the entire brain, while focal atrophy suggests that specific areas, such as the hippocampus or the frontal lobes, are being disproportionately affected. The following table provides a snapshot of how medical professionals categorize these findings:

Finding Typical Clinical Context
Mild/Age-Appropriate Normal aging process, minimal cognitive decline.
Focal Atrophy Potential early-stage neurodegenerative markers.
Generalized/Rapid Requires workup for systemic, metabolic, or advanced disease.
Asymmetric Loss Often seen in post-stroke changes or specific dementias.

Managing Brain Health

While some factors contributing to parenchymal volume loss—such as genetics and the natural aging process—cannot be altered, there are lifestyle interventions that may support brain health. Research suggests that cognitive reserve and cardiovascular health play a significant role in maintaining brain integrity for as long as possible.

Strategies often recommended by neurologists include:

  • Physical Activity: Regular aerobic exercise increases blood flow to the brain and has been shown to support neuroplasticity.
  • Cognitive Stimulation: Engaging in lifelong learning, puzzles, and social interaction helps build "cognitive reserve."
  • Dietary Choices: Diets rich in antioxidants, such as the Mediterranean or MIND diets, are associated with better brain health outcomes.
  • Management of Comorbidities: Keeping blood pressure, cholesterol, and diabetes under strict control is essential to prevent vascular-related brain tissue loss.

💡 Note: Always consult with a healthcare professional before starting any new treatment or significant lifestyle change, especially if you have been diagnosed with a neurological condition.

The Role of Clinical Context

The interpretation of a brain scan is rarely done in isolation. A radiologist or neurologist will compare the scan against the patient's history. For example, a 75-year-old patient with mild memory complaints and parenchymal volume loss may be viewed very differently than a 40-year-old with similar findings on an MRI. In younger patients, unexpected volume loss often triggers a deeper search for underlying causes, such as autoimmune disorders, chronic alcohol use, or nutritional deficiencies.

Technological advancements in "volumetric MRI analysis" now allow doctors to quantify brain volume more precisely than in the past. These automated programs can compare a patient's brain size to normative databases, providing a more objective measure of whether the observed loss is truly abnormal for the patient's specific age and biological sex.

Addressing the presence of parenchymal volume loss is ultimately about managing the patient’s overall well-being. By focusing on modifiable risk factors—such as maintaining cardiovascular health and staying mentally active—individuals can support their neurological function. It is essential to remember that a finding of volume loss does not equate to an immediate decline in quality of life; rather, it serves as a clinical marker that helps doctors provide proactive, personalized care. By working closely with medical teams to monitor these changes, patients can stay informed about their health and take deliberate steps to protect their cognitive longevity.

Related Terms:

  • parenchymal volume loss meaning
  • parenchymal volume loss symptoms
  • global parenchymal volume loss
  • parenchymal volume loss of brain
  • brain atrophy
  • parenchymal volume loss causes