Cleve

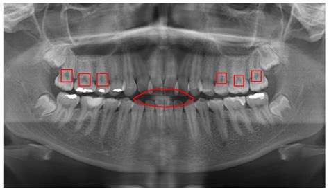
Panoramic Dental X Ray

Panoramic Dental X Ray

When you step into a dental office for a comprehensive examination, your dentist often suggests advanced imaging to get a complete picture of your oral health. One of the most common and vital tools in modern dentistry is the Panoramic Dental X Ray. Unlike standard bitewing or periapical X-rays that focus on one or two teeth, this imaging technique captures the entire mouth in a single, sweeping image. This includes the upper and lower jaws, all the teeth, the temporomandibular joints (TMJ), and even the surrounding sinus structures, providing a holistic view that is indispensable for accurate diagnosis and treatment planning.

Understanding the Technology Behind Panoramic Imaging

The Panoramic Dental X Ray utilizes a specialized machine called an orthopantomogram (OPG). During the procedure, the X-ray tube and the digital sensor rotate in a semicircular motion around your head, capturing a continuous image of your dental anatomy. Because the human jaw is curved, the machine is calibrated to track this arc, ensuring that all dental structures remain in focus throughout the rotation.

This technology is revolutionary because it eliminates the need for placing multiple small sensors inside your mouth, which can be uncomfortable for patients with a sensitive gag reflex. By capturing the entire maxillofacial region, dentists can identify conditions that might otherwise remain hidden beneath the gum line or deep within the jawbone.

Key Advantages of Choosing a Panoramic Scan

There are several reasons why dental professionals prioritize this type of imaging for comprehensive assessments. The versatility of the scan allows for early detection of issues that standard intraoral X-rays might miss. Some of the primary benefits include:

  • Broad Diagnostic Reach: It provides a view of the entire dental structure, including wisdom teeth, jaw fractures, and developmental abnormalities.
  • Efficiency and Comfort: The procedure is quick, non-invasive, and requires no discomfort inside the oral cavity.
  • Low Radiation Exposure: Modern digital panoramic machines are highly efficient, ensuring that the radiation dose is kept to an absolute minimum while maximizing image quality.
  • Treatment Planning: Essential for orthodontic evaluations, implant placement, and detecting cysts or tumors within the jaw.

💡 Note: While these scans are incredibly detailed, they are typically used as a screening tool. If a specific area of concern is identified, your dentist may follow up with localized high-resolution X-rays to get a more granular view of a particular tooth or root.

What to Expect During Your Appointment

If you have never undergone a Panoramic Dental X Ray, you might be curious about the process. It is a very straightforward, painless experience. You will be asked to stand inside the machine, resting your chin on a small support tray. A technician will help position your head to ensure the alignment is correct. You will be instructed to bite down gently on a specialized tab to ensure your teeth are properly spaced.

Once you are positioned, the machine will slowly rotate around your head for approximately 15 to 20 seconds. It is crucial to remain completely still during this time to prevent blurring of the image. The digital nature of the process means that your dentist will be able to view the image on their monitor almost immediately after the machine stops moving.

Feature Standard X-Ray Panoramic X-Ray
Scope Localized (1-3 teeth) Full mouth and jaws
Comfort Requires sensor in mouth Extraoral (no sensors in mouth)
Primary Use Detecting cavities Orthodontics, implants, wisdom teeth
Speed Multiple exposures needed Single quick exposure

Clinical Applications for Your Oral Health

The applications for Panoramic Dental X Ray imaging are vast. Orthodontists frequently use these images to map the growth of teeth in adolescents and ensure there is enough space for proper alignment. Oral surgeons rely on them to visualize the proximity of wisdom teeth to the nerves in the lower jaw, which is critical for planning extractions safely.

Furthermore, these scans are vital in diagnosing jaw joint disorders. By observing the TMJ through the panoramic image, dentists can assess if there is structural degradation or uneven wear that might be contributing to facial pain or headaches. The ability to see the sinuses is also beneficial, as it allows the dentist to distinguish between dental pain and referred pain caused by sinus congestion or infection.

💡 Note: Always inform your dental professional if there is any possibility of pregnancy, as medical imaging should generally be avoided unless absolutely necessary for your immediate oral health.

Why Digital Imaging is the Modern Standard

The transition from traditional film-based X-rays to digital panoramic systems has significantly improved the quality of care. Digital sensors provide a sharper, clearer image that can be enhanced, zoomed, and filtered by your dentist to detect subtle anomalies that might not be visible to the naked eye on physical film. Additionally, digital images are easily stored in your electronic dental record, allowing your care team to track changes in your dental structure over the course of several years.

Being able to view these images on a large screen during your consultation also fosters better communication between you and your dentist. When you can see the structures of your own jaw clearly, it is easier to understand why a specific treatment—such as an implant or an extraction—is being recommended, empowering you to make informed decisions about your own health journey.

To wrap up this overview, the Panoramic Dental X Ray remains a cornerstone of modern diagnostic dentistry. By offering a expansive and detailed look at your entire dental system, it ensures that nothing is overlooked during your checkups. Whether you are preparing for complex orthodontic work, investigating unexplained jaw pain, or simply maintaining your routine oral hygiene, this diagnostic tool provides the clarity necessary for safe and effective care. If you have been advised to have this scan, you can feel confident knowing it is a safe, efficient, and highly effective way to gain a deeper understanding of your dental anatomy. Maintaining regular panoramic imaging when recommended by your dentist acts as a proactive measure in preserving your long-term oral health, helping you catch potential issues long before they require more invasive or costly interventions.

Related Terms:

  • panoramic dental x ray segmentation
  • panoramic dental x ray cost
  • panoramic dental x ray code
  • panoramic dental x ray machine
  • danger of dental x rays
  • panoramic dental x ray anatomy