Rp

Pancreatic Duct Dilation

Pancreatic Duct Dilation

Understanding pancreatic duct dilation is crucial because it often serves as a significant clinical marker for underlying health issues within the pancreas. The pancreatic duct is a small tube that runs through the pancreas, carrying digestive enzymes into the small intestine. When this duct becomes wider than normal—a condition clinically defined as dilation—it can indicate an obstruction or an inflammatory process that requires medical investigation. While not always a sign of a severe disease, it should never be ignored, as early detection is key to managing potential complications effectively.

What is Pancreatic Duct Dilation?

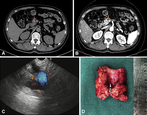
In medical terms, pancreatic duct dilation occurs when the main pancreatic duct (also known as the duct of Wirsung) exceeds its normal diameter. Typically, the normal diameter of the pancreatic duct is less than 3 millimeters, though this can slightly increase with age. When imaging tests reveal a measurement significantly higher than this threshold, radiologists and gastroenterologists classify it as dilated.

The duct acts as a drainage system. If something blocks this system, pressure builds up, causing the walls of the duct to stretch or "dilate." This backup can cause symptoms ranging from mild discomfort to severe abdominal pain, depending on the severity and the underlying cause of the obstruction.

Common Causes and Risk Factors

Identifying the root cause of pancreatic duct dilation is the primary goal of any diagnostic workup. Several conditions can lead to this finding, some of which are benign, while others are more serious.

  • Chronic Pancreatitis: Long-term inflammation of the pancreas can lead to scarring and strictures, causing the duct to widen upstream of the blockage.
  • Pancreatic Stones: Small, calcified stones can form within the duct, physically obstructing the flow of pancreatic juices.
  • Pancreatic Cysts or Tumors: Neoplasms, including intraductal papillary mucinous neoplasms (IPMNs), can cause significant dilation.
  • Gallstones: If a gallstone becomes lodged in the ampulla of Vater (where the pancreatic duct meets the bile duct), it can cause a backup in both systems.
  • Autoimmune Pancreatitis: This condition causes inflammation that can narrow the duct, leading to upstream dilation.

Diagnostic Procedures for Evaluation

Because the pancreas is deep within the abdomen, doctors rely on advanced imaging techniques to visualize the ducts clearly. If you present with symptoms or if a routine ultrasound shows pancreatic duct dilation, your physician may order one or more of the following tests:

Imaging Test Utility
Magnetic Resonance Cholangiopancreatography (MRCP) Non-invasive; highly detailed view of the pancreatic and bile ducts.
Endoscopic Ultrasound (EUS) Provides high-resolution images; allows for biopsy if a mass is suspected.
Computed Tomography (CT) Scan Useful for rapid assessment and identifying large masses or calcifications.
Endoscopic Retrograde Cholangiopancreatography (ERCP) Both diagnostic and therapeutic; allows for stone removal or stent placement.

⚠️ Note: Always consult with a gastroenterologist or pancreatic specialist if imaging results indicate ductal changes, as interpreting these findings requires clinical correlation with your specific symptoms and medical history.

Recognizing Symptoms

Sometimes, pancreatic duct dilation is discovered incidentally during an imaging scan for an unrelated issue. However, when it is symptomatic, patients often experience specific signs related to the disruption of normal pancreatic function:

  • Persistent or recurring upper abdominal pain that may radiate to the back.
  • Unexplained weight loss or loss of appetite.
  • Digestive issues, such as steatorrhea (oily, foul-smelling stools) due to poor fat absorption.
  • Jaundice (yellowing of the skin and eyes) if the dilation is associated with biliary obstruction.
  • Nausea and vomiting.

Treatment Options and Management

The approach to managing pancreatic duct dilation is entirely dependent on the underlying cause. There is no "one-size-fits-all" treatment; rather, the focus is on relieving the obstruction and preventing long-term pancreatic damage.

If the dilation is caused by a stone, the doctor may perform an ERCP to clear the obstruction. If a tumor or a suspicious cyst is identified, surgical intervention might be necessary to remove the growth and preserve pancreatic function. In cases of chronic pancreatitis, medical management often includes pain control, enzyme replacement therapy, and lifestyle modifications, such as strictly avoiding alcohol and maintaining a low-fat diet.

Patients are often monitored with periodic imaging to ensure that the dilation does not progress or that the treatment remains effective. Regular follow-ups are essential for those with conditions like IPMN, which have a potential for malignant transformation over time.

💡 Note: While diet changes cannot reverse structural damage or tumors, they can significantly reduce the burden on your pancreas and help manage symptoms of maldigestion.

The Importance of Early Detection

The significance of identifying pancreatic duct dilation early cannot be overstated. When caught in the early stages, obstructions caused by stones or benign strictures can often be managed with minimally invasive endoscopic procedures. Furthermore, if the dilation is caused by early-stage pancreatic lesions, surgical resection offers the best chance for a positive long-term outcome. Neglecting persistent abdominal symptoms or ignoring an incidental finding on a scan can lead to chronic complications, such as exocrine pancreatic insufficiency or the progression of underlying disease.

In summary, while the term pancreatic duct dilation might sound alarming, it is a clinical finding that acts as a signpost for further investigation. By understanding the common causes—ranging from simple blockages to more complex inflammatory or neoplastic conditions—patients can work more effectively with their healthcare teams. Utilizing diagnostic tools like MRCP and EUS provides a clear roadmap for treatment, ensuring that any obstruction is addressed before it leads to lasting damage. Prioritizing regular medical check-ups and being vigilant about symptoms like abdominal pain or digestive changes will help ensure that any issues with the pancreatic duct are managed with the best possible medical oversight, ultimately safeguarding your digestive health and overall well-being.

Related Terms:

  • pancreatic duct dilation 6mm
  • causes of pancreatic duct dilatation
  • dilated pancreatic duct prognosis
  • dilation of pancreatic duct means
  • mild pancreatic dilatation risk factors
  • normal dilation of pancreatic duct