Rp

Ovarian Cancer Ultrasound

Ovarian Cancer Ultrasound

Receiving a diagnosis or even facing the possibility of gynecological health issues can be an incredibly stressful experience. When doctors suspect problems within the reproductive system, an ovarian cancer ultrasound is often the first line of defense in the diagnostic process. This non-invasive imaging technique provides medical professionals with a window into the pelvic cavity, allowing them to visualize the ovaries, uterus, and surrounding tissues. Understanding what this procedure entails, why it is performed, and how to interpret the findings is essential for anyone navigating these health concerns.

Understanding the Role of Ovarian Cancer Ultrasound

An ultrasound, or sonogram, uses high-frequency sound waves to create images of the internal structures of the body. When specifically looking for markers associated with ovarian health, doctors utilize this technology to examine the size, shape, and structure of the ovaries. Because ovarian cancer is often asymptomatic in its early stages, imaging tools play a critical role in detecting abnormalities such as cysts, solid masses, or enlarged ovaries that may warrant further investigation.

It is important to understand that an ultrasound alone cannot definitively diagnose ovarian cancer. Instead, it serves as a screening and diagnostic tool that helps specialists categorize ovarian masses as either benign (non-cancerous) or suspicious. By analyzing the characteristics of a mass, such as its internal composition, blood flow, and the presence of irregular borders, radiologists can determine the likelihood of malignancy.

Types of Ultrasound Procedures

To get the clearest view of the pelvic organs, clinicians typically employ two specific methods during an ovarian cancer ultrasound:

  • Transabdominal Ultrasound: This involves moving a transducer over the lower abdomen. It provides a broad view of the pelvic area but may lack the high-resolution detail needed to see small abnormalities.
  • Transvaginal Ultrasound (TVUS): This is generally considered the gold standard for examining the ovaries. A slim, wand-like transducer is inserted into the vagina, placing it in closer proximity to the ovaries. This method offers much higher resolution, allowing doctors to identify subtle changes in ovarian tissue.

In many clinical settings, a combination of both methods is used to ensure a comprehensive evaluation of the entire pelvic region.

Feature Transabdominal Ultrasound Transvaginal Ultrasound
Imaging Quality Good for large structures Excellent for detailed examination
Invasiveness Non-invasive Minimally invasive
Patient Preparation Full bladder often required Empty bladder usually preferred

⚠️ Note: If you are scheduled for a transabdominal ultrasound, you will likely be instructed to drink a specific amount of water beforehand. A full bladder acts as an "acoustic window," pushing the uterus and ovaries into a better position for the sound waves to travel through.

What Doctors Look For During the Scan

When a radiologist or sonographer performs an ovarian cancer ultrasound, they are looking for specific morphological patterns. A normal ovary usually has a smooth, consistent texture. When potential malignancy is suspected, the following "red flags" may be noted:

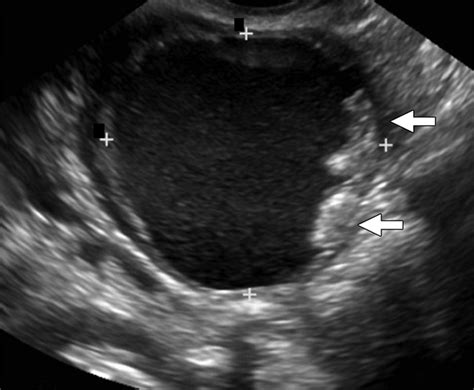
  • Solid Components: Fluid-filled cysts are often benign, but solid masses within an ovarian cyst can be more concerning.
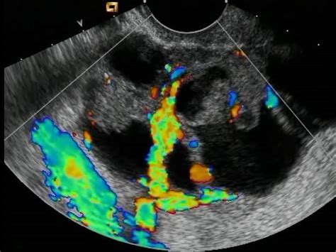
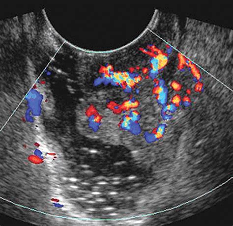
  • Increased Vascularity: Using Doppler ultrasound, doctors can assess blood flow. Cancerous tumors often create their own blood supply, leading to irregular or high-velocity blood flow patterns.
  • Irregular Borders: A mass with thick, irregular walls or "papillary projections" (small, finger-like growths inside or outside the cyst) is generally viewed with higher suspicion.
  • Ascites: The presence of free fluid in the abdomen can sometimes be associated with more advanced ovarian cancer.

Interpreting Results and Next Steps

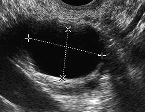
After the procedure, the images are analyzed, and a report is generated. You might see terms like "simple cyst," "complex mass," or an IOTA (International Ovarian Tumor Analysis) score. A simple cyst is usually a fluid-filled sac that is common and often harmless, while a "complex" mass refers to an area that contains both solid and fluid elements, requiring follow-up.

If the ultrasound results are inconclusive or indicate a risk, your doctor will not jump immediately to a cancer diagnosis. Instead, they will likely order one or more of the following:

  • CA-125 Blood Test: This measures a protein in the blood that is often elevated in women with ovarian cancer.
  • MRI or CT Scan: These provide more detailed cross-sectional imaging to see if the abnormality has spread to other organs.
  • Referral to a Gynecologic Oncologist: A specialist trained specifically in reproductive cancers is the best person to evaluate suspicious findings.

💡 Note: Do not panic if your report mentions a "mass" or "cyst." Many ovarian abnormalities turn out to be benign conditions like endometriosis, dermoid cysts, or fibroids. Diagnostic imaging is meant to be cautious, ensuring that nothing is overlooked.

Preparing for Your Appointment

To ensure the most accurate results, preparation is key. Wear comfortable, loose-fitting clothing that allows easy access to the abdominal area. If you are having a transvaginal ultrasound, you do not need to worry about a full bladder, as this can actually make the procedure uncomfortable. Be prepared to provide a complete medical history, including any previous surgeries, family history of cancer, and a list of any medications you are currently taking.

It is also helpful to bring a notepad or a digital device to take notes during your follow-up discussion with your physician. Ask questions such as, "What specifically did you see that concerns you?" and "What is the statistical likelihood that this is benign?" Having a clear understanding of the findings will help you feel more in control of your health journey.

Navigating the uncertainties of pelvic health can be overwhelming, but utilizing an ovarian cancer ultrasound provides the clarity needed to make informed decisions. By understanding the technology, recognizing the importance of expert interpretation, and knowing the follow-up procedures, you are better equipped to advocate for your own well-being. Always prioritize open communication with your healthcare team, and ensure that any suspicious findings are investigated with the necessary diagnostic rigor. Your proactive approach in seeking diagnostic imaging is a vital step in maintaining your gynecological health and ensuring that if a problem exists, it is identified and addressed as early as possible.

Related Terms:

  • ovarian neoplasm ultrasound
  • ovarian cancer ultrasound image
  • ovarian cancer mri
  • ovarian cancer ultrasound color doppler
  • ovarian cancer ultrasound results
  • ovarian cancer ultrasound appearance