Cleve

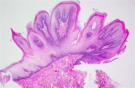
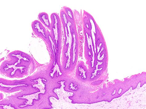
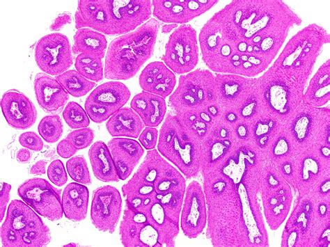
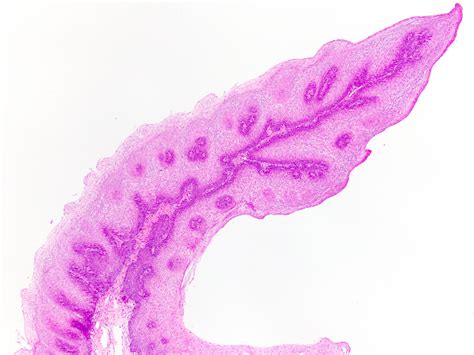
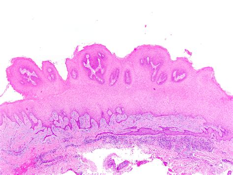
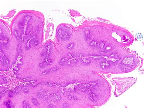
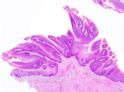
Oral Squamous Papilloma

Oral Squamous Papilloma

Discovering a small, wart-like growth inside your mouth can be an alarming experience, often triggering fears of serious disease. However, one of the most common benign lesions found in the oral cavity is the Oral Squamous Papilloma. This condition is essentially a localized proliferation of epithelial cells that results in a cauliflower-like or finger-like projection on the mucosal surface. Understanding what this lesion is, why it occurs, and when to seek medical advice is essential for maintaining oral health and peace of mind.

Understanding Oral Squamous Papilloma

An Oral Squamous Papilloma is a benign, exophytic growth resulting from an infection caused by the Human Papillomavirus (HPV), most commonly types 6 and 11. Unlike malignant tumors, these papillomas are non-cancerous and do not have the potential to spread to other parts of the body (metastasize). They typically appear as solitary, painless, white-to-pink lesions with a roughened, pebbly surface.

These lesions can develop in various locations within the mouth, but they show a strong predilection for certain areas. Common sites include:

  • The soft palate and uvula
  • The lateral borders of the tongue
  • The buccal mucosa (lining of the cheeks)
  • The gingiva (gums)

💡 Note: While these lesions are generally asymptomatic, they may become irritated or bleed if accidentally bitten or traumatized during chewing.

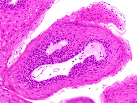
Clinical Characteristics and Appearance

Identifying an Oral Squamous Papilloma often involves observing its distinct morphology. Clinicians look for specific visual cues that differentiate this lesion from other oral pathologies like focal epithelial hyperplasia or squamous cell carcinoma. Because they are exophytic, they grow outward from the surface, often resembling a small cluster of grapes or a delicate cauliflower head.

Feature Typical Presentation
Color Pink, white (keratinized), or same as surrounding mucosa
Texture Rough, papillary, or cauliflower-like
Size Usually less than 1 cm
Growth Rate Slow-growing
Base Pedunculated (on a stalk) or sessile (flat-based)

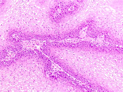
Diagnosis Procedures

Although the clinical appearance of an Oral Squamous Papilloma is often characteristic, a definitive diagnosis requires a professional assessment. Because many oral lesions can look similar, oral surgeons or dentists perform a clinical examination, often followed by a biopsy to confirm the histopathology.

The diagnostic process typically involves:

  • Visual Examination: A thorough review of the patient's medical history and current oral health.
  • Biopsy: The gold standard for diagnosis. A small sample of the tissue is removed and examined under a microscope to confirm the presence of koilocytes—cells characteristic of HPV infection.
  • Differential Diagnosis: Ruling out other conditions such as verruca vulgaris, condyloma acuminatum, or verruciform xanthoma.

💡 Note: Always consult a healthcare professional if you notice a persistent bump in your mouth that does not resolve within two weeks.

Management and Treatment Options

Since Oral Squamous Papilloma is a benign condition, the primary goal of treatment is the removal of the lesion to prevent irritation and to confirm the diagnosis. The prognosis for these lesions is excellent; they rarely recur once properly excised.

Common removal techniques include:

  • Surgical Excision: The most common method, where the base of the lesion is removed with a scalpel.
  • Laser Ablation: Using specialized dental lasers to vaporize the lesion, which often results in less bleeding and faster healing.
  • Cryotherapy: Freezing the lesion, though this is less common for oral mucosa than traditional excision.
  • Electrosurgery: Using electrical currents to remove the growth.

Risk Factors and Prevention

The Oral Squamous Papilloma is linked to HPV, a virus that is highly prevalent in the general population. While the exact mechanism of how the virus enters the oral mucosa is not always clear, minor trauma to the tissues may create an entry point for the virus. Practicing good oral hygiene and maintaining a healthy immune system are standard recommendations for general oral health.

To reduce your overall risk of oral health issues:

  • Maintain a consistent routine of brushing and flossing.
  • Schedule regular dental check-ups, which allow for early detection of any abnormalities.
  • Avoid habits that cause chronic irritation to the mouth, such as biting your cheeks or tongue.
  • Stay informed about HPV vaccinations, which can offer protection against high-risk HPV strains associated with other types of oropharyngeal concerns.

Living with the Condition

It is important to remember that receiving a diagnosis of Oral Squamous Papilloma is not a cause for panic. Because these lesions are benign, they do not pose a risk of developing into cancer. Once removed, most patients go on to live perfectly normal, healthy lives without any further complications. The most significant aspect of this condition is the emotional relief that comes with a professional diagnosis, which eliminates the "what if" anxiety associated with unknown mouth growths.

Focusing on oral wellness through consistent professional care ensures that if any lesion does appear, it can be managed quickly and effectively. By working with a dentist, you can ensure your oral cavity remains free of irritation and that your systemic health is supported by proactive monitoring. While the presence of a papilloma might be a nuisance, modern dental technology makes it a manageable and minor issue in the long run.

In summary, while the presence of an unexplained growth in the mouth can be concerning, the oral squamous papilloma is a common and typically harmless condition. Recognizing the visual signs, seeking a prompt professional diagnosis, and opting for simple surgical removal are the most effective ways to address the issue. By maintaining regular dental appointments and keeping an eye on your oral health, you can effectively manage these lesions and continue to lead a healthy lifestyle. Remember that most mouth growths are benign, but professional verification remains the best way to ensure peace of mind and optimal health outcomes.

Related Terms:

  • papillomatous oral lesions
  • oral squamous papilloma tongue
  • cauliflower like lesion in mouth
  • oral squamous papilloma pictures
  • what causes squamous papilloma
  • squamous papilloma treatment