Optic Disc Drusen — Ophthalmobytes
Cleve

Optic Disc Drusen — Ophthalmobytes

1080 × 1080 px May 24, 2025 Peter Cleve

Optic Disc Drusen — Ophthalmobytes is a high-quality image in the Cleve collection, available at 1080 × 1080 pixels resolution — ideal for both digital and print use.

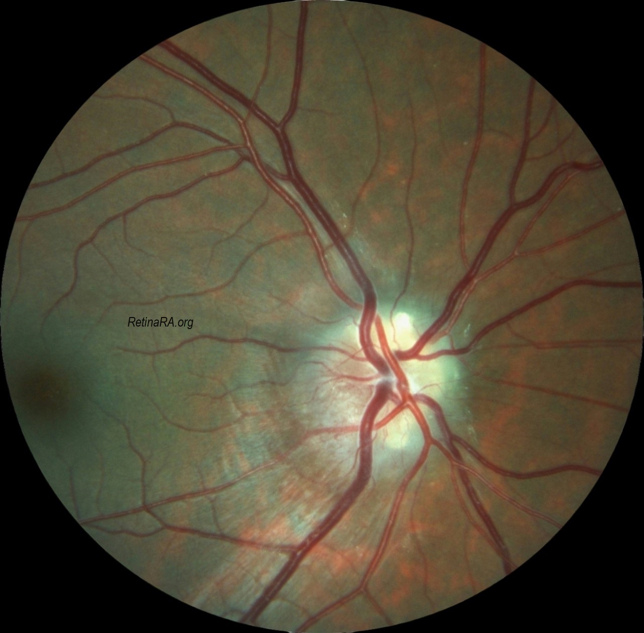
Learn about optic nerve drusen, a condition involving calcified deposits in the optic disc. Discover the common symptoms, diagnostic methods like ocular imaging, and potential vision implications. Understand how these buried or visible drusen are managed by eye care professionals to monitor retinal health and ensure long-term visual wellness. Expert insights on this optic nerve condition included.

Image Details

TitleOptic Disc Drusen — Ophthalmobytes
Dimensions1080 × 1080 px
CategoryCleve
PublishedMay 24, 2025
AuthorZeus
Downloads313
Views435

Read full article: Optic Nerve Drusen

// More Images