Cleve

Nodule On Adrenal Gland

Nodule On Adrenal Gland

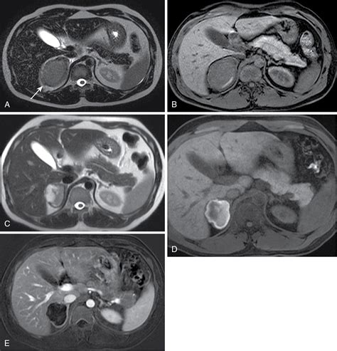
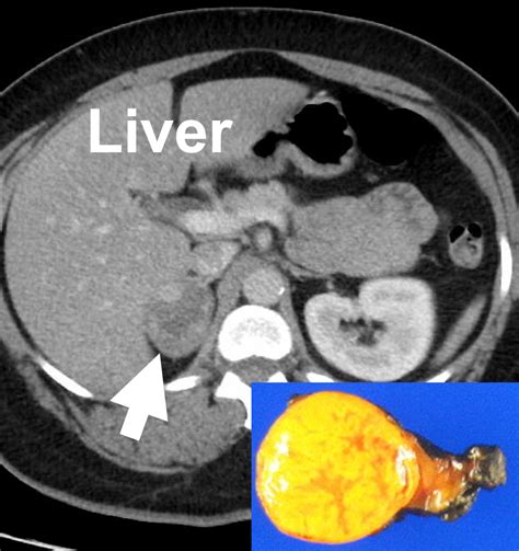
Discovering a nodule on adrenal gland during a medical imaging scan can be an unsettling experience for many patients. Often referred to as an "adrenal incidentaloma," these growths are surprisingly common, frequently appearing on CT scans or MRIs performed for reasons unrelated to the adrenal glands themselves. While the word "nodule" may sound alarming, it is important to understand that the vast majority of these findings are benign and do not pose an immediate threat to your long-term health. However, because the adrenal glands are essential organs responsible for producing hormones that regulate metabolism, blood pressure, and stress response, any discovery must be managed with clinical precision and appropriate diagnostic follow-up.

Understanding Adrenal Gland Anatomy and Function

The adrenal glands are small, triangular-shaped organs located on top of each kidney. Despite their size, they are powerhouses of the endocrine system. Each gland is composed of two distinct parts: the outer cortex and the inner medulla. The cortex produces vital hormones such as cortisol, aldosterone, and androgens, while the medulla secretes adrenaline and noradrenaline. When a nodule on adrenal gland develops, it can either be “non-functioning”—meaning it does not alter hormone production—or “functioning,” meaning it secretes hormones in excess, potentially leading to noticeable symptoms.

Why Are Adrenal Nodules Discovered?

In modern medicine, the rise in incidental findings is largely due to the increased frequency and improved quality of diagnostic imaging. When you undergo an scan for abdominal pain, kidney stones, or unrelated issues, a radiologist may spot a small growth that was previously unknown. Because these nodules are often asymptomatic, they are rarely found unless identified through these incidental imaging processes.

Characteristic Description
Commonality Found in approximately 3-10% of the adult population.
Benign Status Over 90% of incidental adrenal nodules are non-cancerous.
Functionality Most are "non-functioning," producing no excess hormones.
Risk Probability of malignancy increases with the size of the nodule.

Diagnostic Evaluation Steps

Once a nodule on adrenal gland is identified, your physician will typically follow a standardized diagnostic protocol to determine if the growth requires intervention. The goal is to rule out two main concerns: whether the nodule is hormonally active and whether it is malignant.

  • Hormonal Testing: This involves blood and urine tests to check for excess production of cortisol, aldosterone, and catecholamines.
  • Imaging Review: A radiologist will analyze the "washout" characteristics of the nodule on a CT scan to estimate the lipid content within the tissue.
  • Size Assessment: Nodules larger than 4 centimeters are often monitored more closely or surgically removed due to a statistically higher risk of malignancy.

💡 Note: Hormonal testing is critical even if you feel perfectly healthy, as "subclinical" hormone excess can contribute to long-term health issues like hypertension or bone density loss.

Differentiating Between Benign and Malignant Nodules

Differentiating between a harmless adenoma and a malignant tumor is the primary objective of your medical team. Benign adrenal adenomas are the most frequent finding. These are generally small, stable over time, and lipid-rich. Conversely, adrenocortical carcinoma is a rare form of cancer that usually presents as a larger, irregularly shaped mass. Imaging techniques such as contrast-enhanced CT scans, MRI, or even PET scans may be utilized if the initial findings are inconclusive or if the nodule demonstrates suspicious features.

When Is Surgical Intervention Necessary?

Surgery, known as an adrenalectomy, is typically reserved for specific clinical scenarios rather than as a default treatment. Because the goal is to preserve the function of the healthy adrenal tissue, doctors avoid unnecessary surgery. You may be a candidate for surgical removal if:

  • The nodule is proven to be secreting excess hormones that are causing physical symptoms or metabolic issues.
  • The nodule is large (generally >4–6 cm) and demonstrates growth over time.
  • The imaging features are highly suggestive of malignancy or metastasis from another cancer.

Living with an Adrenal Nodule

If your doctor determines that your nodule on adrenal gland is benign and non-functioning, you will likely be placed on a “watchful waiting” plan. This usually involves periodic imaging and occasional repeat blood work to ensure the status of the nodule has not changed. This approach is highly effective and safe, allowing you to live your life normally while ensuring that any potential changes are caught early. It is important to adhere to the follow-up schedule provided by your endocrinologist or primary care physician to maintain peace of mind.

⚠️ Note: Always keep a copy of your imaging reports and laboratory results in a personal health file. If you switch healthcare providers, sharing these historical results is essential for accurate long-term monitoring.

Psychological Impact and Patient Advocacy

It is perfectly normal to feel anxious when hearing the word “nodule” or “adrenal mass.” However, patient education plays a massive role in reducing that stress. Understanding that these growths are often incidental findings helps put the situation into perspective. Advocate for yourself by asking your physician specific questions: “Is this nodule producing hormones?” and “What is the likelihood of this changing over the next year?” Clear communication with your medical team is the best way to move forward with confidence and clarity.

The process of investigating a nodule on adrenal gland is a routine part of modern clinical practice. By focusing on biochemical testing to assess hormonal activity and using high-quality imaging to evaluate structural characteristics, doctors can successfully distinguish between benign findings that require only observation and those that necessitate more specialized medical intervention. While the presence of an adrenal mass requires professional evaluation, the majority of patients find that these nodules are manageable, low-risk, and have minimal impact on their overall quality of life. Consistent monitoring, following expert advice, and maintaining open communication with your healthcare provider will ensure the best possible long-term health outcomes.

Related Terms:

  • where is adrenal nodule located
  • adrenal gland tumor symptoms
  • nodules on adrenal glands kidneys
  • adrenal nodule symptoms
  • adrenal nodule location
  • adrenal nodule size chart