Cleve

Node In Lung Ct Scan

Node In Lung Ct Scan

Receiving news that a Node In Lung Ct Scan has been identified can be an anxiety-inducing experience for many patients. Whether the discovery occurred during a routine health screening or an evaluation for persistent symptoms, understanding what these findings mean is the first step toward clarity. In medical imaging, a lung nodule—often referred to as a "spot on the lung"—is a small, typically circular mass of tissue that appears differently than the surrounding air-filled lung structure. While the word "nodule" may sound alarming, it is critical to understand that most lung nodules identified on modern diagnostic imaging are benign and pose no immediate threat to long-term health.

What Exactly Is a Lung Nodule?

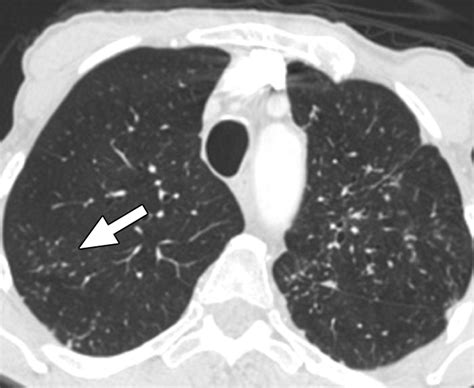
A Node In Lung Ct Scan is defined as a growth or spot measuring less than 3 centimeters in diameter. If the spot is larger than 3 centimeters, it is typically referred to as a lung mass. These structures are relatively common, often appearing as incidental findings on CT scans performed for unrelated reasons, such as a checkup after a minor injury or during a cardiac evaluation. Because these nodules are small, they are frequently invisible on standard chest X-rays, making high-resolution CT scans the gold standard for detection and monitoring.

Most nodules are the result of past exposure to environmental factors or previous infections that have healed, leaving behind a small patch of scar tissue. Other common causes include granulomas—small areas of inflammation often caused by fungal infections—or benign tumors. Because the lung acts as a filter for the body, it is a frequent site for these harmless deposits to accumulate over time.

Characteristics Analyzed by Radiologists

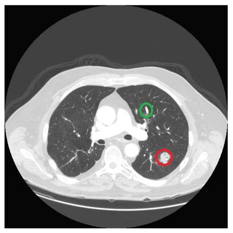
When a radiologist reviews a Node In Lung Ct Scan, they look for specific physical characteristics to determine the likelihood of the nodule being benign or requiring further investigation. By evaluating the size, shape, and internal density of the spot, doctors can categorize the risk level. The following table illustrates how different features are generally interpreted during a clinical assessment:

Characteristic Favorable (Low Risk) Concerning (High Risk)
Size Small (< 8mm) Large (> 8mm)
Margins Smooth, sharp borders Irregular, "spiculated" borders
Calcification Central, popcorn, or dense Stippled or absent
Growth Rate Stable over years Rapid doubling time

Steps Taken After a Lung Nodule Is Found

If a doctor identifies a nodule, the management strategy depends heavily on your medical history, age, and smoking status. Generally, the physician will perform a risk stratification process to decide the next best course of action. This often includes:

  • Watchful Waiting: This is the most common approach for small, low-risk nodules. The patient will undergo a "follow-up" CT scan at specific intervals (often 3, 6, or 12 months) to see if the nodule has changed in size or shape.
  • Comparison with Old Scans: If previous imaging is available, radiologists will compare the new scan to older ones. If the nodule has remained stable for two or more years, it is almost certainly benign.
  • PET Scans or Biopsies: If a nodule appears suspicious or grows during the observation period, the physician may order a PET scan to check for metabolic activity or a biopsy to extract a small sample of tissue for laboratory testing.

⚠️ Note: Always keep a digital or physical copy of your previous imaging reports. Having a historical baseline is the most effective way to avoid unnecessary diagnostic procedures or repeat scans.

Factors That Influence Risk

Your lifestyle and environmental background play a significant role in how a Node In Lung Ct Scan is managed. Doctors will typically look at:

  • Smoking History: Long-term tobacco use significantly increases the probability that a nodule may be malignant.
  • Age: The risk of a nodule being problematic generally increases as patients get older.
  • Family History: A history of lung cancer in immediate family members may prompt a more cautious approach.
  • Occupational Exposure: Exposure to asbestos, radon, or certain industrial chemicals can alter the clinical interpretation of lung findings.

Reducing Anxiety Through Understanding

It is perfectly normal to feel uneasy when the word "nodule" is used, but it is important to remember that the vast majority of these findings do not progress to cancer. Technology has advanced significantly, allowing us to detect tiny spots that would have been missed decades ago. This "over-detection" is actually a testament to the sensitivity of modern CT technology. By adhering to a monitoring schedule prescribed by a pulmonologist or primary care physician, you ensure that you are taking a proactive stance toward your respiratory health. Staying consistent with follow-up appointments is the single most important action you can take to ensure peace of mind and long-term wellness.

Ultimately, a nodule found on a CT scan is a starting point for clinical observation rather than a definitive diagnosis. By working closely with your healthcare team to compare the current findings with your individual risk factors and past medical records, you can determine if further action is needed or if the nodule is simply an incidental scar from years past. Prioritizing follow-up screenings and maintaining an open line of communication with your physician are the best strategies for managing these findings. With consistent monitoring, most patients find that their nodules remain stable and require no intervention, allowing them to move forward with confidence in their continued lung health.

Related Terms:

  • lung nodules ct scan images
  • ct without contrast lung nodule
  • nodules on chest ct scan
  • lung nodules after ct scan
  • 10mm lung nodule ct scan
  • nodules found lungs cat scan