Rp

Mri Of Prostate

Mri Of Prostate

The landscape of urological diagnostics has been fundamentally transformed by advancements in medical imaging, with the MRI of prostate standing out as a cornerstone technology. As prostate cancer remains one of the most prevalent health concerns for men globally, the ability to visualize the gland with high anatomical detail is paramount. Unlike traditional screening methods that may lead to unnecessary biopsies or missed diagnoses, multiparametric MRI (mpMRI) provides a non-invasive, highly accurate method to identify suspicious lesions and guide clinical decision-making. By leveraging magnetic fields and radio waves, this imaging technique offers a roadmap for urologists, allowing them to pinpoint areas of concern with remarkable precision.

Understanding the Role of Prostate MRI in Modern Medicine

An MRI of prostate is not merely a picture; it is a sophisticated diagnostic tool that evaluates the structure and tissue characteristics of the prostate gland. It is particularly effective because it can distinguish between healthy tissue, inflammation, and potential malignancies. When a patient presents with an elevated Prostate-Specific Antigen (PSA) level or abnormal findings during a digital rectal exam, the MRI becomes the next logical step before invasive procedures are considered.

The primary advantage of this scan is its ability to reduce the "blindness" of traditional biopsy methods. Historically, biopsies were taken randomly across the gland, which often resulted in false negatives or the detection of clinically insignificant tumors. With modern imaging, physicians can perform targeted biopsies, focusing specifically on the areas identified as suspicious by the radiologist.

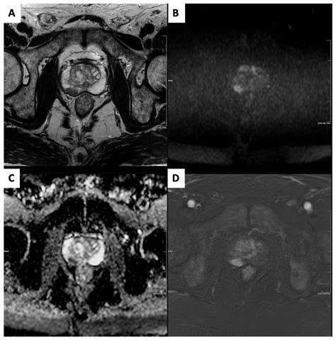
The Multiparametric Approach: How It Works

When you undergo an MRI of prostate, you are likely receiving a multiparametric examination. This means the scan captures data using several different sequences, each providing a unique perspective on the prostate’s health:

  • T2-weighted imaging: Provides high-resolution anatomical images, allowing the radiologist to see the shape and size of the prostate clearly.
  • Diffusion-weighted imaging (DWI): Measures the movement of water molecules within the tissue; cancerous cells, being more densely packed, restrict this movement, which shows up as a “bright spot” on the scan.
  • Dynamic Contrast-Enhanced (DCE) imaging: Involves the injection of a contrast dye to observe how blood flows into the tissue, as tumors often exhibit distinct blood vessel patterns compared to normal tissue.

The combination of these sequences creates a comprehensive view that significantly increases the sensitivity and specificity of the diagnosis.

Preparation and Procedure Expectations

Preparing for an MRI of prostate is relatively straightforward, but patients should be aware of the requirements to ensure the highest quality images. Because the prostate is located near the rectum and bladder, these organs can affect the quality of the scan if they are too full or active.

Action Purpose
Fasting Prevents bowel gas that can cause motion artifacts.
Emptying the bladder Reduces the need for movement or discomfort during the scan.
Medication review Ensures the safety of contrast dye injection.
Removal of metal Strict safety requirement for the MRI environment.

⚠️ Note: Always inform your radiologist if you have any metallic implants, such as pacemakers, shrapnel, or cochlear implants, as these can be hazardous or disrupt the magnetic field.

Interpreting Results with PI-RADS

After your MRI of prostate is completed, the images are analyzed by a specialized radiologist. They use a standardized reporting system known as PI-RADS (Prostate Imaging-Reporting and Data System). This system assigns a score from 1 to 5 to any suspicious areas identified:

  • PI-RADS 1: Clinically significant cancer is highly unlikely.
  • PI-RADS 2: Clinically significant cancer is unlikely.
  • PI-RADS 3: The presence of clinically significant cancer is equivocal or indeterminate.
  • PI-RADS 4: Clinically significant cancer is likely.
  • PI-RADS 5: Clinically significant cancer is highly likely.

This scoring system allows your urologist to determine the next steps, whether that means active surveillance, a targeted biopsy, or other therapeutic interventions. It takes the guesswork out of the process, providing a structured, evidence-based approach to patient care.

Benefits of Choosing MRI over Traditional Methods

The shift toward using an MRI of prostate as a first-line diagnostic tool is supported by numerous clinical studies. By avoiding unnecessary biopsies, patients are spared the risks of infection, bleeding, and anxiety associated with invasive testing. Furthermore, for those who do require a biopsy, the fusion of MRI images with ultrasound imaging during the procedure ensures that the most aggressive parts of the tumor are sampled, leading to more accurate grading and staging of the cancer.

Furthermore, the MRI is excellent for monitoring men on "active surveillance." Instead of undergoing repeated, painful biopsies to check for tumor progression, patients can rely on regular scans to detect significant changes in the prostate environment. This patient-centered approach preserves quality of life while maintaining rigorous clinical standards.

💡 Note: While highly accurate, an MRI is not always perfect. Small, low-grade tumors may sometimes remain invisible on scans, which is why your physician will integrate MRI findings with PSA levels and other clinical assessments.

Key Takeaways for Your Clinical Journey

Navigating prostate health requires a proactive approach and a clear understanding of the tools available. The MRI of prostate represents a major victory in diagnostic technology, offering clarity where there was once only uncertainty. By identifying high-risk areas before they progress, this imaging technique empowers patients and doctors to act decisively. As medical technology continues to evolve, the integration of artificial intelligence and faster, higher-resolution scanning will likely continue to improve the efficacy of this diagnostic standard. If you are experiencing symptoms or have concerns regarding your PSA levels, discussing the potential benefits of a prostate MRI with your healthcare provider is a vital step toward safeguarding your long-term health and well-being.

Related Terms:

  • mri of the prostate procedure
  • prostate mri preparation day before
  • mri of the prostate cpt
  • mri for prostate cancer screening
  • prostate mri preparation
  • MRI Scan of Prostate