Rp

Mri For Prostate Cancer

Mri For Prostate Cancer

When it comes to the early detection and management of prostate health, the landscape of medical diagnostics has been revolutionized by advanced imaging technologies. Among these, the use of MRI for prostate cancer has emerged as a gold-standard tool, providing clinicians with unprecedented clarity and precision. Unlike traditional screening methods that rely heavily on blood tests and physical exams, a multi-parametric MRI (mpMRI) allows doctors to visualize the prostate gland in high definition. This shift in diagnostic protocol has significantly reduced the need for unnecessary biopsies and has improved the accuracy of locating suspicious lesions that require closer medical attention.

Understanding the Role of MRI in Prostate Diagnostics

The primary function of an MRI for prostate cancer is to provide a detailed anatomical map of the prostate gland. By utilizing strong magnetic fields and radio waves, the machine generates cross-sectional images that help radiologists identify areas of concern. This imaging technique is particularly adept at differentiating between benign conditions, such as benign prostatic hyperplasia (BPH) or inflammation, and potentially aggressive cancerous tumors.

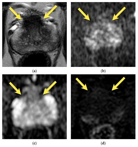
The diagnostic process typically involves three specific sequences that make up the "multi-parametric" aspect of the scan:

  • T2-Weighted Imaging: Provides high-resolution anatomical details of the prostate structure.
  • Diffusion-Weighted Imaging (DWI): Measures the movement of water molecules in the tissue, which is often restricted in malignant tumors.
  • Dynamic Contrast-Enhanced (DCE) Imaging: Monitors how a contrast agent flows into the tissue, helping to highlight areas with abnormal blood vessel growth typical of cancer.

Why Physicians Prefer MRI Over Traditional Biopsy

Historically, a prostate biopsy was the initial step following an elevated Prostate-Specific Antigen (PSA) test. However, "blind" biopsies can often miss tumors located in the anterior or harder-to-reach areas of the prostate. Incorporating an MRI for prostate cancer before a biopsy allows for a "targeted" approach. Known as an MRI-fusion biopsy, this technique overlays the MRI images onto real-time ultrasound guidance, ensuring that the needle is directed precisely at the suspicious tissue identified on the scan.

This approach offers several clinical benefits:

  • Reduced Risks: Fewer needles are inserted into the prostate, decreasing the risk of infection and bleeding.
  • Improved Accuracy: High-grade tumors are less likely to be missed compared to random sampling.
  • Active Surveillance: Patients with low-risk cancer can be monitored via MRI to see if the disease progresses before opting for aggressive treatment.

Comparison of Diagnostic Methods

To better understand the evolution of prostate health screening, it is helpful to compare the standard diagnostic tools available in modern urology clinics.

Diagnostic Method Purpose Accuracy Level
Digital Rectal Exam (DRE) Physical screening of the gland Subjective/Variable
PSA Blood Test Biomarker measurement Non-specific (Can be elevated by BPH)
MRI for Prostate Cancer High-resolution imaging Highly accurate for localization
Standard Biopsy Tissue sample retrieval Prone to sampling error

💡 Note: While MRI is a powerful diagnostic tool, it is generally used in conjunction with PSA levels and clinical assessments. Always consult with a urologist to discuss whether an MRI scan is necessary based on your unique health profile.

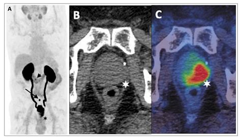
The PI-RADS Scoring System

To standardize the interpretation of MRI results, radiologists utilize the Prostate Imaging-Reporting and Data System (PI-RADS). This scoring system ranges from 1 to 5, helping urologists determine the likelihood of clinically significant cancer:

  • PI-RADS 1: Very low probability of significant cancer.
  • PI-RADS 2: Low probability of significant cancer.
  • PI-RADS 3: Intermediate probability; often requires further clinical correlation.
  • PI-RADS 4: High probability of significant cancer.
  • PI-RADS 5: Very high probability of significant cancer.

Understanding these scores is crucial for patients, as a PI-RADS 4 or 5 score will almost always lead to a recommendation for a biopsy to confirm the diagnosis and determine the appropriate course of treatment.

Preparing for Your Prostate MRI

Preparation for an MRI for prostate cancer is relatively straightforward, but there are a few important steps to ensure the highest image quality. Patients may be asked to follow specific dietary guidelines or empty their bladder shortly before the scan. Additionally, since the machine uses powerful magnets, you must inform your medical team of any metallic implants, pacemakers, or medical devices inside your body.

During the procedure, you will lie still in the scanner for approximately 30 to 45 minutes. The process is non-invasive and painless, though the machine can be quite loud, so most clinics provide ear protection. If you experience claustrophobia, it is recommended to speak with your physician beforehand, as they may be able to provide a mild sedative or suggest an "open MRI" facility.

💡 Note: Ensure that your facility uses a 3-Tesla (3T) MRI machine whenever possible. The higher magnetic field strength provides superior image resolution compared to standard 1.5-Tesla machines, which is vital for identifying small, early-stage tumors.

Long-Term Monitoring and Surveillance

One of the most significant advancements facilitated by MRI for prostate cancer is the shift toward "Active Surveillance." Many prostate cancers are slow-growing and may never cause symptoms or shorten a patient's life. Instead of jumping straight to surgery or radiation, which carry risks of erectile dysfunction and incontinence, many men choose to monitor their condition. Periodic MRI scans allow physicians to track the size and appearance of lesions over months or years, ensuring that if a tumor shows signs of aggressive growth, intervention can occur at the most effective time.

This patient-centered approach preserves quality of life while maintaining a vigilant watch over the prostate gland. By utilizing imaging technology to manage health rather than treating every finding as an emergency, men are finding more comfort in their recovery and monitoring journeys.

The integration of advanced imaging into the diagnostic journey has undeniably transformed how we detect and manage prostate health. By choosing MRI for prostate cancer, patients gain access to a precise, non-invasive, and highly reliable method for identifying potential risks. Whether utilized for initial diagnosis, guiding a biopsy, or facilitating long-term active surveillance, this technology minimizes unnecessary procedures and empowers both patients and doctors with the data needed to make informed, evidence-based decisions. Staying proactive through routine screenings and discussing the latest imaging advancements with a medical professional remains the best strategy for maintaining long-term wellness.

Related Terms:

  • mri for prostate cancer diagnosis
  • prostate mri preparation day before
  • mri for prostate cancer pictures
  • will mri detect prostate cancer
  • 3T MRI Prostate Cancer
  • Prostate Cancer MRI Images