What Is Splint Therapy For Teeth Grinding at Steven Begay blog
Kaiser

What Is Splint Therapy For Teeth Grinding at Steven Begay blog

1900 × 1100 px March 21, 2025 Peter Kaiser

What Is Splint Therapy For Teeth Grinding at Steven Begay blog is a high-quality image in the Kaiser collection, available at 1900 × 1100 pixels resolution — ideal for both digital and print use.

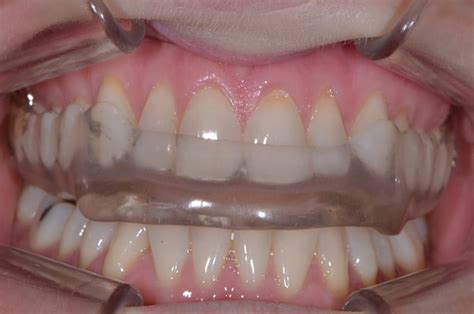
Stop waking up with jaw pain. Our custom-fitted mouth splint for grinding provides effective relief from bruxism by protecting your teeth and relaxing facial muscles. Discover how this comfortable night guard prevents enamel wear, reduces headaches, and improves your sleep quality. Invest in a durable dental appliance for long-term teeth grinding protection and a pain-free morning today.

Image Details

TitleWhat Is Splint Therapy For Teeth Grinding at Steven Begay blog
Dimensions1900 × 1100 px
CategoryKaiser
PublishedMarch 21, 2025
AuthorZeus
Downloads1,799
Views615

Read full article: Mouth Splint For Grinding

// More Images