Mild Microvascular Ischemic Disease - Captions Quotes
Cleve

Mild Microvascular Ischemic Disease - Captions Quotes

1693 × 1800 px January 15, 2025 Peter Cleve

Mild Microvascular Ischemic Disease - Captions Quotes is a high-quality image in the Cleve collection, available at 1693 × 1800 pixels resolution — ideal for both digital and print use.

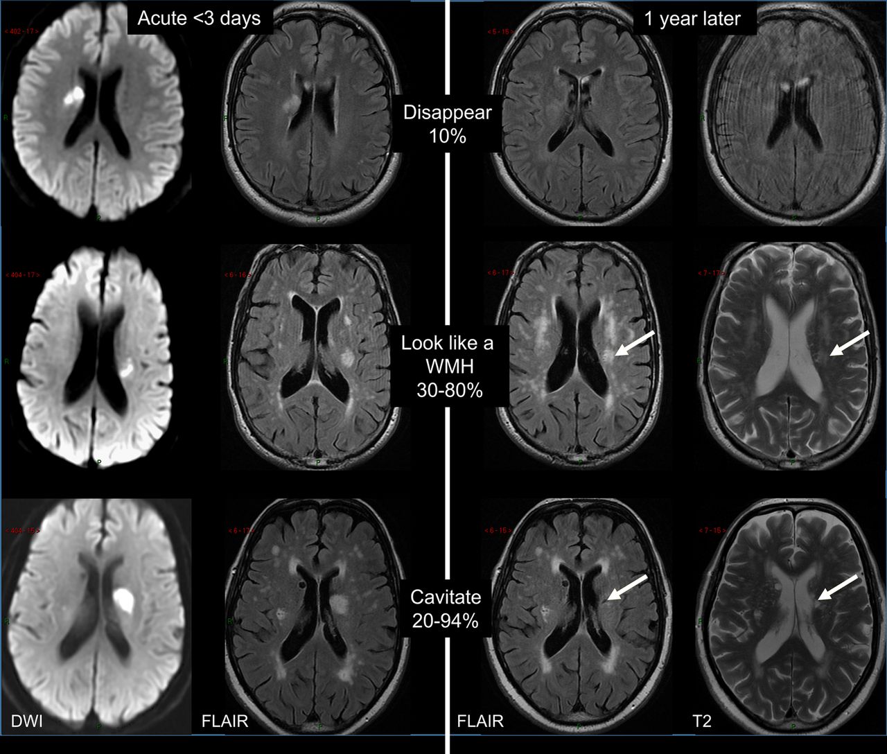
Understand the causes and symptoms of mild chronic microvascular ischemic changes. Learn how these small vessel disease patterns affect brain health, the risks of white matter lesions, and essential management strategies for preventing further cognitive decline and vascular damage. Discover why early detection and blood pressure control are vital for long-term neurological wellness.

Image Details

TitleMild Microvascular Ischemic Disease - Captions Quotes
Dimensions1693 × 1800 px
CategoryCleve
PublishedJanuary 15, 2025
AuthorZeus
Downloads2,125
Views2,494

Read full article: Mild Chronic Microvascular Ischemic Changes

// More Images